Skip to main content

GRHL3 Antibody - BSA Free

Novus Biologicals, part of Bio-Techne | Catalog # NBP2-57087

Catalog #
Availability
Size / Price
Qty
Loading...
NBP2-57087
NBP2-57087-25ul

Key Product Details

Validated by

Orthogonal Validation

Species Reactivity

Human

Applications

Immunohistochemistry, Immunohistochemistry-Paraffin, Immunocytochemistry/ Immunofluorescence

Label

Unconjugated

Antibody Source

Polyclonal Rabbit IgG

Format

BSA Free

Concentration

Concentrations vary lot to lot. See vial label for concentration. If unlisted please contact technical services.

Product Specifications

Immunogen

This antibody was developed against a recombinant protein corresponding to the following amino acid sequence: VNGDDDSVAALSFLYDYYMGPKEKRILSSSTGGRNDQGKRYYHGMEYETDLTPLESPTHLMKFLTENVSGTPEYPDLLKKNNLMSL

Reactivity Notes

Mouse 84%, Rat 86%

Clonality

Polyclonal

Host

Rabbit

Isotype

IgG

Scientific Data Images for GRHL3 Antibody - BSA Free

Immunohistochemistry-Paraffin: GRHL3 Antibody [NBP2-57087]

Immunohistochemistry-Paraffin: GRHL3 Antibody [NBP2-57087]

Immunohistochemistry-Paraffin: GRHL3 Antibody [NBP2-57087] - Analysis in human urinary bladder and skeletal muscle tissues. Corresponding GRHL3 RNA-seq data are presented for the same tissues.
Immunocytochemistry/ Immunofluorescence: GRHL3 Antibody [NBP2-57087]

Immunocytochemistry/ Immunofluorescence: GRHL3 Antibody [NBP2-57087]

Immunocytochemistry/Immunofluorescence: GRHL3 Antibody [NBP2-57087] - Staining of human cell line MCF7 shows localization to nucleoplasm.
Immunohistochemistry-Paraffin: GRHL3 Antibody [NBP2-57087]

Immunohistochemistry-Paraffin: GRHL3 Antibody [NBP2-57087]

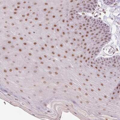
Immunohistochemistry-Paraffin: GRHL3 Antibody [NBP2-57087] - Staining of human urinary bladder shows strong nuclear positivity in squamous epithelial cells.

Applications for GRHL3 Antibody - BSA Free

Application
Recommended Usage

Immunocytochemistry/ Immunofluorescence

0.25-2 ug/ml

Immunohistochemistry

1:1000 - 1:2500

Immunohistochemistry-Paraffin

1:1000 - 1:2500
Application Notes
ICC/IF, Fixation Permeabilization: Use PFA/Triton X-100. IHC, Retrieval method: HIER pH6.

Formulation, Preparation, and Storage

Purification

Affinity purified

Formulation

PBS (pH 7.2) and 40% Glycerol

Format

BSA Free

Preservative

0.02% Sodium Azide

Concentration

Concentrations vary lot to lot. See vial label for concentration. If unlisted please contact technical services.

Shipping

The product is shipped with polar packs. Upon receipt, store it immediately at the temperature recommended below.

Stability & Storage

Store at 4C short term. Aliquot and store at -20C long term. Avoid freeze-thaw cycles.

Background: GRHL3

The protein encoded by the GRHL3 gene is part of the grainyhead family of transcription factors and exists in 5 isoforms: isoform 1: 626 AA long, 70 kDA; isoform 2: 607 AA long, 68 kDA; isoform 3: 555 AA long, 62 kDA; isoform 4: 509 AA long; 57 kDA; isoform 5: 602 AA long, 67 kDA. The coded protein works as a transcription factor during development and initiates migration of endothelial cells. GRHL3 frequently interacts with genes GRHL1 and GRHL2. It has been associated with diseases spina bifida, tonsillitis, and prostatitis.

Alternate Names

grainyhead-like 3 (Drosophila), MGC46624, Sister of mammalian grainyhead, sister-of-mammalian grainyhead, SOMTranscription factor CP2-like 4grainyhead-like protein 3 homolog, TFCP2L4, transcription factor hSOM1

Gene Symbol

GRHL3

Additional GRHL3 Products

Product Documents for GRHL3 Antibody - BSA Free

Certificate of Analysis

To download a Certificate of Analysis, please enter a lot number in the search box below.

Product Specific Notices for GRHL3 Antibody - BSA Free

This product is for research use only and is not approved for use in humans or in clinical diagnosis. Primary Antibodies are guaranteed for 1 year from date of receipt.

Loading...
Loading...
Loading...
Loading...