Skip to main content

Granzyme B Antibody - BSA Free

Novus Biologicals, part of Bio-Techne | Catalog # NBP1-88151

Novus Biologicals, part of Bio-Techne
Catalog #
Availability
Size / Price
Qty
Loading...
NBP1-88151
NBP1-88151-25ul

Key Product Details

Validated by

Orthogonal Validation

Species Reactivity

Validated:

Human

Cited:

Human

Applications

Validated:

Immunohistochemistry, Immunohistochemistry-Paraffin, Western Blot, Immunocytochemistry/ Immunofluorescence

Cited:

Immunohistochemistry-Paraffin, Immunocytochemistry/ Immunofluorescence

Label

Unconjugated

Antibody Source

Polyclonal Rabbit IgG

Format

BSA Free

Concentration

Concentrations vary lot to lot. See vial label for concentration. If unlisted please contact technical services.

Product Specifications

Immunogen

This antibody was developed against Recombinant Protein corresponding to amino acids: TRAVQPLRLPSNKAQVKPGQTCSVAGWGQTAPLGKHSHTLQEVKMTVQEDRKCESDLRHYYDSTIELCVGDPEIKKTSFKGDSGGPLVCNKVAQGIVSYGRNNGMPPRACTKVSS

Clonality

Polyclonal

Host

Rabbit

Isotype

IgG

Scientific Data Images for Granzyme B Antibody - BSA Free

Immunohistochemistry-Paraffin: Granzyme B Antibody [NBP1-88151]

Immunohistochemistry-Paraffin: Granzyme B Antibody [NBP1-88151]

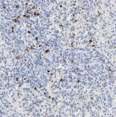
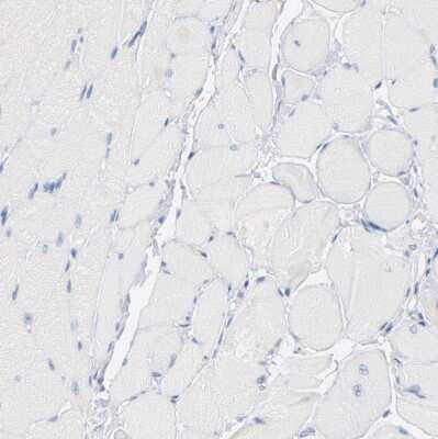
Immunohistochemistry-Paraffin: Granzyme B Antibody [NBP1-88151] - Staining in human lymph node and skeletal muscle tissues using NBP1-88151 antibody. Corresponding GZMB RNA-seq data are presented for the same tissues.
Immunohistochemistry-Paraffin: Granzyme B Antibody [NBP1-88151]

Immunohistochemistry-Paraffin: Granzyme B Antibody [NBP1-88151]

Immunohistochemistry-Paraffin: Granzyme B Antibody [NBP1-88151] - Staining of human lymph node shows strong cytoplasmic positivity in non-germinal center cells.
Immunohistochemistry-Paraffin: Granzyme B Antibody [NBP1-88151]

Immunohistochemistry-Paraffin: Granzyme B Antibody [NBP1-88151]

Immunohistochemistry-Paraffin: Granzyme B Antibody [NBP1-88151] - Staining of human liver shows no positivity in hepatocytes as expected.

Applications for Granzyme B Antibody - BSA Free

Application
Recommended Usage

Immunocytochemistry/ Immunofluorescence

0.25-2 ug/ml

Immunohistochemistry

1:50 - 1:200

Immunohistochemistry-Paraffin

1:50 - 1:200

Western Blot

0.04-0.4 ug/ml
Application Notes
For IHC-Paraffin, HIER pH 6 retrieval is recommended. ICC/IF Fixation Permeabilization: Use PFA/Triton X-100. ICC/IF reactivity reported in scientific literature (PMID: 22198309).

Formulation, Preparation, and Storage

Purification

Affinity purified

Formulation

PBS (pH 7.2) and 40% Glycerol

Format

BSA Free

Preservative

0.02% Sodium Azide

Concentration

Concentrations vary lot to lot. See vial label for concentration. If unlisted please contact technical services.

Shipping

The product is shipped with polar packs. Upon receipt, store it immediately at the temperature recommended below.

Stability & Storage

Store at 4C short term. Aliquot and store at -20C long term. Avoid freeze-thaw cycles.

Background: Granzyme B

Granzyme family serine proteases are stored in the granules of cytotoxic T lymphocytes and natural killer cells. Granzymes contain one S1 protease domain and are synthesized as preproproteins. Granzymes are released toward pathogen infected or transformed target cells during cellular immune reactions. Target cell entry by granzymes is through perforin channels. Granzymes trigger apoptosis by caspase-dependent and -independent mechanisms. There are five granzymes (A, B, G, H and K) in human and many more in mouse and rat.

Alternate Names

CGL-1, CGL1, CSPB, CTLA-1, CTLA1, CTSGL1, Fragmentin-2, Granzyme-2, GRB, GrzB, GZMB, HLP, SECT

Gene Symbol

GZMB

Additional Granzyme B Products

Product Documents for Granzyme B Antibody - BSA Free

Certificate of Analysis

To download a Certificate of Analysis, please enter a lot number in the search box below.

Product Specific Notices for Granzyme B Antibody - BSA Free

This product is for research use only and is not approved for use in humans or in clinical diagnosis. Primary Antibodies are guaranteed for 1 year from date of receipt.

Loading...
Loading...
Loading...
Loading...