Skip to main content

GPRC6A Antibody - BSA Free

Novus Biologicals, part of Bio-Techne | Catalog # NLS2576

Novus Biologicals, part of Bio-Techne
Catalog #
Availability
Size / Price
Qty
Loading...
NLS2576

Key Product Details

Species Reactivity

Validated:

Human, Rat, Monkey

Cited:

Rat

Predicted:

Canine (94%), Equine (94%), Primate (100%), Rabbit (94%). Backed by our 100% Guarantee.

Applications

Validated:

Immunohistochemistry, Immunohistochemistry-Paraffin

Cited:

Immunohistochemistry-Paraffin, IF/IHC

Label

Unconjugated

Antibody Source

Polyclonal Rabbit IgG

Format

BSA Free

Concentration

1.0 mg/ml

Product Specifications

Immunogen

Synthetic 17 amino acid peptide from N-terminal extracellular domain of human GPRC6A.

Epitope

N-Terminus extracellular domain

Reactivity Notes

Rat reactivity reported in scientific literature (PMID: 18221783). Predicted cross-reactivity based on sequence identity: Gorilla (100%), Marmoset (82%), Mouse (82%), Rat (82%), Bovine (82%), Hamster (82%).

Localization

Cell Membrane

Specificity

Human GPRC6A. BLAST analysis of the peptide immunogen showed no homology with other human proteins, except NBPF3 (59%).

Clonality

Polyclonal

Host

Rabbit

Isotype

IgG

Description

Product can be stored undiluted at 4C for up to 1 month.

Scientific Data Images for GPRC6A Antibody - BSA Free

Immunohistochemistry-Paraffin: GPRC6A Antibody - BSA Free [NLS2576]

Immunohistochemistry-Paraffin: GPRC6A Antibody - BSA Free [NLS2576]

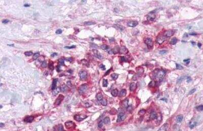
Immunohistochemistry-Paraffin: GPRC6A Antibody [NLS2576] - Brain, Glioblastoma
Immunohistochemistry-Paraffin: GPRC6A Antibody - BSA Free [NLS2576]

Immunohistochemistry-Paraffin: GPRC6A Antibody - BSA Free [NLS2576]

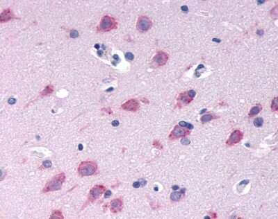
Immunohistochemistry-Paraffin: GPRC6A Antibody [NLS2576] - Analysis of anti-GPRC6A antibody with human brain, neurons and glia.
Immunohistochemistry-Paraffin: GPRC6A Antibody - BSA Free [NLS2576]

Immunohistochemistry-Paraffin: GPRC6A Antibody - BSA Free [NLS2576]

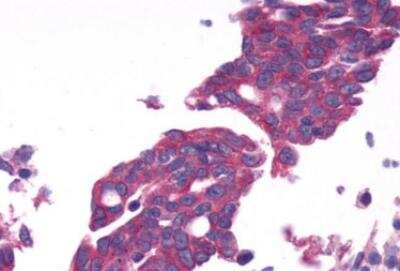
Immunohistochemistry-Paraffin: GPRC6A Antibody [NLS2576] - Human Ovary, Carcinoma formalin-fixed, paraffin-embedded tissue after heat-induced antigen retrieval.

Applications for GPRC6A Antibody - BSA Free

Application
Recommended Usage

Immunohistochemistry-Paraffin

11 ug/ml
Application Notes
.

Formulation, Preparation, and Storage

Purification

Immunogen affinity purified

Formulation

PBS

Format

BSA Free

Preservative

0.1% Sodium Azide

Concentration

1.0 mg/ml

Shipping

The product is shipped with polar packs. Upon receipt, store it immediately at the temperature recommended below.

Stability & Storage

Keep as concentrated solution. Aliquot and store at -20C or below. Avoid multiple freeze-thaw cycles.

Background: GPRC6A

GPRC6A has been shown to bind to L-alpha-amino acids

Long Name

G Protein-coupled Receptor, Family C, Group 6, Member A

Alternate Names

bA86F4.3, GPCR33

Entrez Gene IDs

222545 (Human)

Gene Symbol

GPRC6A

UniProt

Additional GPRC6A Products

Product Documents for GPRC6A Antibody - BSA Free

Certificate of Analysis

To download a Certificate of Analysis, please enter a lot number in the search box below.

Product Specific Notices for GPRC6A Antibody - BSA Free

This product is for research use only and is not approved for use in humans or in clinical diagnosis. Primary Antibodies are guaranteed for 1 year from date of receipt.

Loading...
Loading...
Loading...
Loading...