Skip to main content

GPR19 Antibody - BSA Free

Novus Biologicals, part of Bio-Techne | Catalog # NLS98

Novus Biologicals, part of Bio-Techne
Catalog #
Availability
Size / Price
Qty
Loading...
NLS98

Key Product Details

Species Reactivity

Validated:

Human, Bat, Bovine, Equine, Monkey, Primate, Rabbit

Predicted:

Avian (100%), Hamster (94%), Mouse (94%), Rat (94%), Xenopus (94%). Backed by our 100% Guarantee.

Applications

Immunohistochemistry, Immunohistochemistry-Paraffin

Label

Unconjugated

Antibody Source

Polyclonal Rabbit IgG

Format

BSA Free

Concentration

1.0 mg/ml

Product Specifications

Immunogen

Synthetic 18 amino acid peptide from 3rd cytoplasmic domain of human GPR19.

Epitope

3rd cytoplasmic domain

Reactivity Notes

Predicted cross-reactivity based on sequence identity: Gorilla (100%), Marmoset (100%).

Localization

Cell Membrane

Specificity

Human GPR19. BLAST analysis of the peptide immunogen showed no homology with other human proteins.

Clonality

Polyclonal

Host

Rabbit

Isotype

IgG

Description

Product can be stored undiluted at 4C for up to 1 month.

Scientific Data Images for GPR19 Antibody - BSA Free

Immunohistochemistry: GPR19 Antibody - BSA Free [NLS98]

Immunohistochemistry: GPR19 Antibody - BSA Free [NLS98]

Immunohistochemistry: GPR19 Antibody [NLS98] - IHC analysis of Brain, Neurons and Glia using this antibody at 13 ug/ ml.
Immunohistochemistry-Paraffin: GPR19 Antibody - BSA Free [NLS98]

Immunohistochemistry-Paraffin: GPR19 Antibody - BSA Free [NLS98]

Immunohistochemistry-Paraffin: GPR19 Antibody [NLS98] - Brain, Astrocyte
GPR19 Antibody - BSA Free

Immunohistochemistry: GPR19 Antibody - BSA Free [NLS98] -

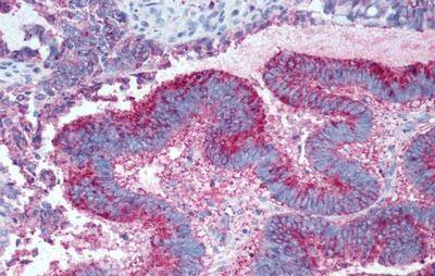
Immunohistochemistry: GPR19 Antibody - BSA Free [NLS98] - Immunohistochemistry of Colon, adenocarcinoma

Applications for GPR19 Antibody - BSA Free

Application
Recommended Usage

Immunohistochemistry-Paraffin

13 - 17 ug/ml
Application Notes
.

Formulation, Preparation, and Storage

Purification

Immunogen affinity purified

Formulation

PBS

Format

BSA Free

Preservative

0.1% Sodium Azide

Concentration

1.0 mg/ml

Shipping

The product is shipped with polar packs. Upon receipt, store it immediately at the temperature recommended below.

Stability & Storage

Keep as concentrated solution. Aliquot and store at -20C or below. Avoid multiple freeze-thaw cycles.

Background: GPR19

GPR19 is an Orphan-A GPCR with an unknown ligand. GPR19 has been reported in human in regions overlapping with the dopamine D2 receptor expression in the brain and peripheral nervous system. ESTs have been isolated from human brain, nerve, and germ-cell tumor libraries.

Long Name

G Protein-coupled Receptor 19

Alternate Names

GPR-NGA

Entrez Gene IDs

2842 (Human)

Gene Symbol

GPR19

Additional GPR19 Products

Product Documents for GPR19 Antibody - BSA Free

Certificate of Analysis

To download a Certificate of Analysis, please enter a lot number in the search box below.

Product Specific Notices for GPR19 Antibody - BSA Free

This product is for research use only and is not approved for use in humans or in clinical diagnosis. Primary Antibodies are guaranteed for 1 year from date of receipt.

Loading...
Loading...
Loading...
Loading...