Skip to main content

GPR18 Antibody - BSA Free

Novus Biologicals, part of Bio-Techne | Catalog # NBP2-24918

Novus Biologicals, part of Bio-Techne

Key Product Details

Species Reactivity

Validated:

Human, Mouse, Rat

Cited:

Human, Mouse

Applications

Validated:

Immunohistochemistry, Immunohistochemistry-Paraffin, Western Blot, Flow Cytometry, Immunocytochemistry/ Immunofluorescence

Cited:

Flow Cytometry, Immunocytochemistry/ Immunofluorescence

Label

Unconjugated

Antibody Source

Polyclonal Rabbit IgG

Format

BSA Free

Concentration

1.0 mg/ml

Product Specifications

Immunogen

Partial synthetic peptide made to an N-terminal portion of the human GPR18 protein (between amino acids 1-50) [UniProt Q14330]

Clonality

Polyclonal

Host

Rabbit

Isotype

IgG

Description

Novus Biologicals Rabbit GPR18 Antibody - BSA Free (NBP2-24918) is a polyclonal antibody validated for use in IHC, WB, Flow and ICC/IF. Anti-GPR18 Antibody: Cited in 6 publications. All Novus Biologicals antibodies are covered by our 100% guarantee.

Scientific Data Images for GPR18 Antibody - BSA Free

Western Blot: GPR18 AntibodyBSA Free [NBP2-24918]

Western Blot: GPR18 AntibodyBSA Free [NBP2-24918]

Western Blot: GPR18 Antibody [NBP2-24918] - Analysis of human spleen lysate (4 ug/mL) in the 1) absence and 2) presence of immunizing peptide 3) mouse spleen (6 ug/mL) and 4) rat spleen lysate (3 ug/mL) using GPR18 antibody.
Immunocytochemistry/ Immunofluorescence: GPR18 Antibody - BSA Free [NBP2-24918]

Immunocytochemistry/ Immunofluorescence: GPR18 Antibody - BSA Free [NBP2-24918]

Immunocytochemistry/Immunofluorescence: GPR18 Antibody [NBP2-24918] - Ntera2 cells were fixed in 4% paraformaldehyde for 10 minutes and permeabilized in 0.05% Triton X-100 in PBS for 5 minutes. The cells were incubated with anti-GPR18 Antibody NBP2-24918 at 2 ug/ml overnight at 4C and detected with an anti-rabbit Dylight 488 (Green) at a 1:1000 dilution for 60 minutes. Nuclei were counterstained with DAPI (Blue). Cells were imaged using a 100X objective and digitally deconvolved.
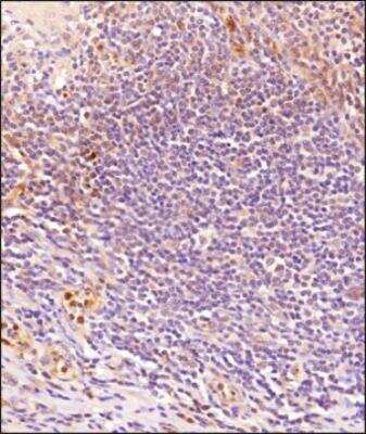
Immunohistochemistry-Paraffin: GPR18 Antibody - BSA Free [NBP2-24918]

Immunohistochemistry-Paraffin: GPR18 Antibody - BSA Free [NBP2-24918]

Immunohistochemistry-Paraffin: GPR18 Antibody [NBP2-24918] - Analysis of a FFPE tissue section of human tonsil using 1:200 dilution of GPR18 antibody. The staining was developed using HRP labeled anti-rabbit secondary antibody and DAB reagent, and nuclei of cells were counter-stained with hematoxylin.

Applications for GPR18 Antibody - BSA Free

Application
Recommended Usage

Flow Cytometry

reported in scientific literature (PMID 27256622)

Immunocytochemistry/ Immunofluorescence

2 - 10 ug/ml. Use reported in scientific literature (PMID 30894369)

Immunohistochemistry

1:200

Immunohistochemistry-Paraffin

1:200

Western Blot

2 ug/ml

Reviewed Applications

Read 1 review rated 3 using NBP2-24918 in the following applications:

Formulation, Preparation, and Storage

Purification

Immunogen affinity purified

Formulation

PBS

Format

BSA Free

Preservative

0.02% Sodium Azide

Concentration

1.0 mg/ml

Shipping

The product is shipped with polar packs. Upon receipt, store it immediately at the temperature recommended below.

Stability & Storage

Store at -20C. Avoid freeze-thaw cycles.

Background: GPR18

GPR18 is an Orphan-A GPCR with no known ligand. GPR18 has been reported to be expressed at high levels in testis and spleen and at lower levels in other tissues associated with endocrine and immunologic/hematologic functions. ESTs have been isolated from human blood, bone marrow, brain, colon, liver/spleen, lymph, lymph node, testis, and tonsil libraries.

Long Name

G Protein-coupled Receptor 18

Alternate Names

GPCRW, NAGly Receptor

Gene Symbol

GPR18

Additional GPR18 Products

Product Documents for GPR18 Antibody - BSA Free

Certificate of Analysis

To download a Certificate of Analysis, please enter a lot number in the search box below.

Product Specific Notices for GPR18 Antibody - BSA Free

This product is for research use only and is not approved for use in humans or in clinical diagnosis. Primary Antibodies are guaranteed for 1 year from date of receipt.

Loading...
Loading...
Loading...
Loading...
Loading...
Loading...