GPR161 Antibody - BSA Free
Novus Biologicals, part of Bio-Techne | Catalog # NBP1-69244
Key Product Details
Species Reactivity
Human
Applications
Immunohistochemistry, Immunohistochemistry-Paraffin, Western Blot
Label
Unconjugated
Antibody Source
Polyclonal Rabbit IgG
Format
BSA Free
Concentration
1 mg/ml
Product Specifications
Immunogen
Synthetic peptides corresponding to GPR161(G protein-coupled receptor 161) The peptide sequence was selected from the N terminal of GPR161.
Peptide sequence MSLNSSLSCRKELSNLTEEEGGEGGVIITQFIAIIVITIFVCLGNLVIVV. The peptide sequence for this immunogen was taken from within the described region.
Clonality
Polyclonal
Host
Rabbit
Isotype
IgG
Theoretical MW
58 kDa.
Disclaimer note: The observed molecular weight of the protein may vary from the listed predicted molecular weight due to post translational modifications, post translation cleavages, relative charges, and other experimental factors.
Disclaimer note: The observed molecular weight of the protein may vary from the listed predicted molecular weight due to post translational modifications, post translation cleavages, relative charges, and other experimental factors.
Description
The addition of 50% glycerol is optional for those storing this antibody at -20C and not aliquoting smaller units. However, please note that glycerol may interrupt some downstream antibody applications and should be added with caution.
Scientific Data Images for GPR161 Antibody - BSA Free
Western Blot: GPR161 Antibody [NBP1-69244]
Western Blot: GPR161 Antibody [NBP1-69244] - This Anti-GPR161 antibody was used in Western Blot of HepG2 tissue lysate at a concentration of 2.5ug/ml.Immunohistochemistry-Paraffin: GPR161 Antibody [NBP1-69244]
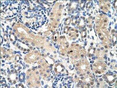
Immunohistochemistry-Paraffin: GPR161 Antibody [NBP1-69244] - Human kidney, epithelial cells of renal tubule (indicated with arrows), stained with GPR161 Antibody.Applications for GPR161 Antibody - BSA Free
Application
Recommended Usage
Immunohistochemistry
1:10-1:500
Immunohistochemistry-Paraffin
4-8 ug/ml
Western Blot
1.0 ug/ml
Formulation, Preparation, and Storage
Purification
Protein A purified
Formulation
PBS, 2% Sucrose
Format
BSA Free
Preservative
0.09% Sodium Azide
Concentration
1 mg/ml
Shipping
The product is shipped with polar packs. Upon receipt, store it immediately at the temperature recommended below.
Stability & Storage
Store at 4C short term. Aliquot and store at -20C long term. Avoid freeze-thaw cycles.
Background: GPR161
Alternate Names
Gm208, RE2
Gene Symbol
GPR161
UniProt
Additional GPR161 Products
Product Documents for GPR161 Antibody - BSA Free
Product Specific Notices for GPR161 Antibody - BSA Free
This product is for research use only and is not approved for use in humans or in clinical diagnosis. Primary Antibodies are guaranteed for 1 year from date of receipt.
Loading...
Loading...
Loading...
Loading...