GPR151 Antibody - BSA Free
Novus Biologicals, part of Bio-Techne | Catalog # NLS418
Key Product Details
Species Reactivity
Validated:
Human
Predicted:
Primate (100%). Backed by our 100% Guarantee.
Applications
Immunohistochemistry, Immunohistochemistry-Paraffin
Label
Unconjugated
Antibody Source
Polyclonal Rabbit IgG
Format
BSA Free
Concentration
1.0 mg/ml
Product Specifications
Immunogen
Synthetic 17 amino acid peptide from C-terminus of human GPR151.
Epitope
C-terminal domain of human
Reactivity Notes
Predicted cross-reactivity based on sequence identity: Gorilla (100%), Gibbon (100%), Marmoset (94%).
Specificity
Human GPR151. BLAST analysis of the peptide immunogen showed no homology with other human proteins.
Clonality
Polyclonal
Host
Rabbit
Isotype
IgG
Description
Product can be stored undiluted at 4C for up to 1 month.
Scientific Data Images for GPR151 Antibody - BSA Free
Immunohistochemistry-Paraffin: GPR151 Antibody - BSA Free [NLS418]
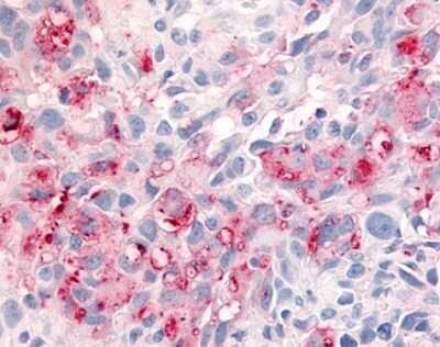
Immunohistochemistry-Paraffin: GPR151 Antibody [NLS418] - Anti-GPR151 antibody IHC of human Skin, Melanoma. Immunohistochemistry of formalin-fixed, paraffin-embedded tissue after heat-induced antigen retrieval.Immunohistochemistry-Paraffin: GPR151 Antibody - BSA Free [NLS418]
Immunohistochemistry-Paraffin: GPR151 Antibody [NLS418] - Analysis of anti-GPR151 antibody with brain, thalamus at 2 ug/ ml.Immunohistochemistry-Paraffin: GPR151 Antibody - BSA Free [NLS418]
Immunohistochemistry-Paraffin: GPR151 Antibody [NLS418] - Analysis of anti-GPR151 antibody with human brain, glioblastoma.Applications for GPR151 Antibody - BSA Free
Application
Recommended Usage
Immunohistochemistry-Paraffin
2 - 5 ug/ml
Application Notes
.
Formulation, Preparation, and Storage
Purification
Immunogen affinity purified
Formulation
PBS
Format
BSA Free
Preservative
0.1% Sodium Azide
Concentration
1.0 mg/ml
Shipping
The product is shipped with polar packs. Upon receipt, store it immediately at the temperature recommended below.
Stability & Storage
Keep as concentrated solution. Aliquot and store at -20C or below. Avoid multiple freeze-thaw cycles.
Background: GPR151
Alternate Names
GALR4, GALRL, Gpcr 2037, nGPCR-2037, PGR7
Entrez Gene IDs
134391 (Human)
Gene Symbol
GPR151
Additional GPR151 Products
Product Documents for GPR151 Antibody - BSA Free
Product Specific Notices for GPR151 Antibody - BSA Free
This product is for research use only and is not approved for use in humans or in clinical diagnosis. Primary Antibodies are guaranteed for 1 year from date of receipt.
Loading...
Loading...
Loading...
Loading...