Skip to main content

GPR137B Antibody - BSA Free

Novus Biologicals, part of Bio-Techne | Catalog # NLS792

Novus Biologicals, part of Bio-Techne
Catalog #
Availability
Size / Price
Qty
Loading...
NLS792

Key Product Details

Species Reactivity

Validated:

Human, Mouse, Rat, Porcine, Equine, Monkey, Primate, Rabbit

Predicted:

Hamster (94%). Backed by our 100% Guarantee.

Applications

Immunocytochemistry/ Immunofluorescence, Immunohistochemistry, Immunohistochemistry-Paraffin

Label

Unconjugated

Antibody Source

Polyclonal Rabbit IgG

Format

BSA Free

Concentration

1.0 mg/ml

Product Specifications

Immunogen

Synthetic 16 amino acid peptide from C-terminus of human GPR137B.

Epitope

C-terminal domain of human

Reactivity Notes

Predicted cross-reactivity based on sequence identity: Gibbon (100%), Marmoset (100%), Goat (88%), Chicken (88%), Canine (81%), Bat (81%), Turkey (81%).

Specificity

Human GPR137B. BLAST analysis of the peptide immunogen showed no homology with other human proteins.

Clonality

Polyclonal

Host

Rabbit

Isotype

IgG

Description

Product can be stored undiluted at 4C for up to 1 month.

Scientific Data Images for GPR137B Antibody - BSA Free

Immunocytochemistry/ Immunofluorescence: GPR137B Antibody - BSA Free [NLS792]

Immunocytochemistry/ Immunofluorescence: GPR137B Antibody - BSA Free [NLS792]

Immunocytochemistry/Immunofluorescence: GPR137B Antibody [NLS792] - Analysis of anti-GPR137B antibody with transfection positive.
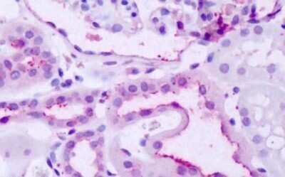
Immunohistochemistry-Paraffin: GPR137B Antibody - BSA Free [NLS792]

Immunohistochemistry-Paraffin: GPR137B Antibody - BSA Free [NLS792]

Immunohistochemistry-Paraffin: GPR137B Antibody [NLS792] - Anti-GPR137B antibody IHC of human kidney. Immunohistochemistry of formalin-fixed, paraffin-embedded tissue after heat-induced antigen retrieval. Antibody dilution 5-12 ug/ml.
Immunocytochemistry/ Immunofluorescence: GPR137B Antibody - BSA Free [NLS792]

Immunocytochemistry/ Immunofluorescence: GPR137B Antibody - BSA Free [NLS792]

Immunocytochemistry/Immunofluorescence: GPR137B Antibody [NLS792] - Analysis of anti-GPR137B antibody with cells expressing vector only using at 5 ug/ml.

Applications for GPR137B Antibody - BSA Free

Application
Recommended Usage

Immunohistochemistry-Paraffin

5-12 ug/ml
Application Notes
.

Formulation, Preparation, and Storage

Purification

Immunogen affinity purified

Formulation

PBS

Format

BSA Free

Preservative

0.1% Sodium Azide

Concentration

1.0 mg/ml

Shipping

The product is shipped with polar packs. Upon receipt, store it immediately at the temperature recommended below.

Stability & Storage

Keep as concentrated solution. Aliquot and store at -20C or below. Avoid multiple freeze-thaw cycles.

Background: GPR137B

TM7SF1 is an Orphan-U GPCR with an unknown ligand. This receptor has been shown to be upregulated during kidney development. TM7SF1 has been reported to be expressed in adult kidney and heart, but not in fetal kidney. ESTs have been isolated from a wide variety of tissues, including B-cell/lung/testis, brain, connective tissue, ear, embryo, eye, gall bladder, kidney, liver/spleen, lung, melanocyte/uterus/fetal heart, nerve, pineal, placenta, skin, spleen, testis, tonsil, and vessel libraries.

Alternate Names

G protein-coupled receptor 137B, TM7SF1, transmembrane 7 superfamily member 1 (upregulated in kidney)

Entrez Gene IDs

7107 (Human)

Gene Symbol

GPR137B

Additional GPR137B Products

Product Documents for GPR137B Antibody - BSA Free

Certificate of Analysis

To download a Certificate of Analysis, please enter a lot number in the search box below.

Product Specific Notices for GPR137B Antibody - BSA Free

This product is for research use only and is not approved for use in humans or in clinical diagnosis. Primary Antibodies are guaranteed for 1 year from date of receipt.

Loading...
Loading...
Loading...
Loading...