Skip to main content

GPR115 Antibody - BSA Free

Novus Biologicals, part of Bio-Techne | Catalog # NLS2723

Novus Biologicals, part of Bio-Techne
Catalog #
Availability
Size / Price
Qty
Loading...
NLS2723

Key Product Details

Species Reactivity

Validated:

Human, Mouse, Bovine, Monkey, Primate

Cited:

Mouse

Predicted:

Canine (94%), Equine (94%), Porcine (94%), Rabbit (94%). Backed by our 100% Guarantee.

Applications

Validated:

Immunohistochemistry, Immunohistochemistry-Paraffin

Cited:

Immunocytochemistry/ Immunofluorescence

Label

Unconjugated

Antibody Source

Polyclonal Rabbit IgG

Format

BSA Free

Concentration

1.0 mg/ml

Product Specifications

Immunogen

Synthetic 16 amino acid peptide from C-terminus of human GPR115.

Epitope

C-terminal domain of human

Reactivity Notes

Predicted cross-reactivity based on sequence identity: Gorilla (100%), Gibbon (100%), Marmoset (100%).

Specificity

Human GPR115. BLAST analysis of the peptide immunogen showed no homology with other human proteins, except GPR113 (69%).

Clonality

Polyclonal

Host

Rabbit

Isotype

IgG

Description

Product can be stored undiluted at 4C for up to 1 month.

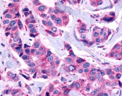
Scientific Data Images for GPR115 Antibody - BSA Free

Immunohistochemistry-Paraffin: GPR115 Antibody - BSA Free [NLS2723]

Immunohistochemistry-Paraffin: GPR115 Antibody - BSA Free [NLS2723]

Immunohistochemistry-Paraffin: GPR115 Antibody [NLS2723] - Analysis of anti-GPR115 antibody with breast, epithelium.
Immunohistochemistry-Paraffin: GPR115 Antibody - BSA Free [NLS2723]

Immunohistochemistry-Paraffin: GPR115 Antibody - BSA Free [NLS2723]

Immunohistochemistry-Paraffin: GPR115 Antibody [NLS2723] - Analysis of anti-GPR115 antibody with human breast, carcinoma.

Applications for GPR115 Antibody - BSA Free

Application
Recommended Usage

Immunohistochemistry-Paraffin

4 - 10 ug/ml
Application Notes
.

Formulation, Preparation, and Storage

Purification

Immunogen affinity purified

Formulation

PBS

Format

BSA Free

Preservative

0.1% Sodium Azide

Concentration

1.0 mg/ml

Shipping

The product is shipped with polar packs. Upon receipt, store it immediately at the temperature recommended below.

Stability & Storage

Keep as concentrated solution. Aliquot and store at -20C or below. Avoid multiple freeze-thaw cycles.

Background: GPR115

G-protein coupled receptor GPR115 is an Orphan-B GPCR with an unknown ligand. ESTs have been isolated from breast, heart, and placenta libraries.

Long Name

G Protein-coupled Receptor 115

Alternate Names

PGR18

Entrez Gene IDs

221393 (Human)

Gene Symbol

ADGRF4

Additional GPR115 Products

Product Documents for GPR115 Antibody - BSA Free

Certificate of Analysis

To download a Certificate of Analysis, please enter a lot number in the search box below.

Product Specific Notices for GPR115 Antibody - BSA Free

This product is for research use only and is not approved for use in humans or in clinical diagnosis. Primary Antibodies are guaranteed for 1 year from date of receipt.

Loading...
Loading...
Loading...
Loading...