GPR115 Antibody - BSA Free
Novus Biologicals, part of Bio-Techne | Catalog # NBP2-58896
Key Product Details
Validated by
Orthogonal Validation
Species Reactivity
Human
Applications
Immunohistochemistry, Immunohistochemistry-Paraffin
Label
Unconjugated
Antibody Source
Polyclonal Rabbit IgG
Format
BSA Free
Concentration
Concentrations vary lot to lot. See vial label for concentration. If unlisted please contact technical services.
Product Specifications
Immunogen
This antibody was developed against a recombinant protein corresponding to the following amino acid sequence: QSPEGKPKTGRIQEKCEGPCISSSNCSQPCAKDFHGEIGFTCNQKKWQKSAETCTSLSVEKLFKDSTGASRLSVAAPSIPLHILDFRAPETIESVAQGIRKNCPFDYACITDMVKSSETTSGNIAFIVELLKNISTDLSDNVTR
Clonality
Polyclonal
Host
Rabbit
Isotype
IgG
Description
Novus Biologicals Rabbit GPR115 Antibody - BSA Free (NBP2-58896) is a polyclonal antibody validated for use in IHC. All Novus Biologicals antibodies are covered by our 100% guarantee.
Scientific Data Images for GPR115 Antibody - BSA Free
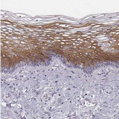
Immunohistochemistry-Paraffin: GPR115 Antibody [NBP2-58896]
Immunohistochemistry-Paraffin: GPR115 Antibody [NBP2-58896] - Staining of human skin shows strong cytoplasmic positivity in keratinocytes.Immunohistochemistry-Paraffin: GPR115 Antibody [NBP2-58896]
Immunohistochemistry-Paraffin: GPR115 Antibody [NBP2-58896] - Staining of human skeletal muscle shows no positivity in myocytes as expected.Applications for GPR115 Antibody - BSA Free
Application
Recommended Usage
Immunohistochemistry
1:1000 - 1:2500
Immunohistochemistry-Paraffin
1:1000 - 1:2500
Application Notes
For IHC-Paraffin, HIER pH 6 retrieval is recommended.
Formulation, Preparation, and Storage
Purification
Affinity purified
Formulation
PBS (pH 7.2) and 40% Glycerol
Format
BSA Free
Preservative
0.02% Sodium Azide
Concentration
Concentrations vary lot to lot. See vial label for concentration. If unlisted please contact technical services.
Shipping
The product is shipped with polar packs. Upon receipt, store it immediately at the temperature recommended below.
Stability & Storage
Store at 4C short term. Aliquot and store at -20C long term. Avoid freeze-thaw cycles.
Background: GPR115
Long Name
G Protein-coupled Receptor 115
Alternate Names
PGR18
Gene Symbol
ADGRF4
Additional GPR115 Products
Product Documents for GPR115 Antibody - BSA Free
Product Specific Notices for GPR115 Antibody - BSA Free
This product is for research use only and is not approved for use in humans or in clinical diagnosis. Primary Antibodies are guaranteed for 1 year from date of receipt.
Loading...
Loading...
Loading...
Loading...