Skip to main content

GPER/GPR30 Antibody - BSA Free

Novus Biologicals, part of Bio-Techne | Catalog # NLS1184

Novus Biologicals, part of Bio-Techne
Catalog #
Availability
Size / Price
Qty
Loading...
NLS1184

Key Product Details

Species Reactivity

Validated:

Human

Predicted:

Monkey (94%), Primate (100%). Backed by our 100% Guarantee.

Applications

Immunofluorescence, Immunohistochemistry, Immunohistochemistry-Paraffin

Label

Unconjugated

Antibody Source

Polyclonal Rabbit IgG

Format

BSA Free

Concentration

1.0 mg/ml

Product Specifications

Immunogen

Synthetic 16 aa peptide from 1st extracellular domain of human GPER/GPR30.

Reactivity Notes

Predicted cross-reactivity based on sequence identity: Gorilla (100%), Marmoset (94%), Mouse (88%), Rat (88%), Canine (88%), Bat (88%), Bovine (88%), Hamster (88%), Equine (88%), Opossum (88%), Turkey (88%), Chicken (88%), Xenopus (88%), Zebrafish (88%).

Localization

Endoplasmic reticulum - multi-pass membrane protein.

Specificity

Human GPR30. BLAST analysis of the peptide immunogen showed no homology with other human proteins.

Clonality

Polyclonal

Host

Rabbit

Isotype

IgG

Description

Product can be stored undiluted at 4C for up to 1 month.

Scientific Data Images for GPER/GPR30 Antibody - BSA Free

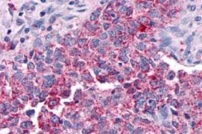
Immunohistochemistry-Paraffin: GPER/GPR30 Antibody - BSA Free [NLS1184]

Immunohistochemistry-Paraffin: GPER/GPR30 Antibody - BSA Free [NLS1184]

Immunohistochemistry-Paraffin: GPER/GPR30 Antibody [NLS1184] - Anti-GPER1 / GPR30 antibody IHC of human Colon, Carcinoma. Immunohistochemistry of formalin-fixed, paraffin-embedded tissue after heat-induced antigen retrieval.
Immunohistochemistry-Paraffin: GPER/GPR30 Antibody - BSA Free [NLS1184]

Immunohistochemistry-Paraffin: GPER/GPR30 Antibody - BSA Free [NLS1184]

Immunohistochemistry-Paraffin: GPER/GPR30 Antibody [NLS1184] - Analysis of anti-GPER1 / GPR30 antibody with human colon, carcinoma.
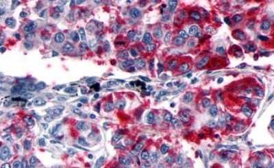
Immunohistochemistry-Paraffin: GPER/GPR30 Antibody - BSA Free [NLS1184]

Immunohistochemistry-Paraffin: GPER/GPR30 Antibody - BSA Free [NLS1184]

Immunohistochemistry-Paraffin: GPER/GPR30 Antibody [NLS1184] - Anti-GPER1 / GPR30 antibody IHC of human Lung, Non-Small Cell Carcinoma. Immunohistochemistry of formalin-fixed, paraffin-embedded tissue after heat-induced antigen retrieval.

Applications for GPER/GPR30 Antibody - BSA Free

Application
Recommended Usage

Immunofluorescence

1:10 - 1:500

Immunohistochemistry-Paraffin

41-62 ug/ml
Application Notes
.

Formulation, Preparation, and Storage

Purification

Immunogen affinity purified

Formulation

PBS

Format

BSA Free

Preservative

0.1% Sodium Azide

Concentration

1.0 mg/ml

Shipping

The product is shipped with polar packs. Upon receipt, store it immediately at the temperature recommended below.

Stability & Storage

Keep as concentrated solution. Aliquot and store at -20C or below. Avoid multiple freeze-thaw cycles.

Background: GPER/GPR30

GPR30 is an Orphan-A GPCR with an unknown ligand. Progestin inhibits growth in breast cancer cells through GPR30. GPR30 has been reported in brain, breast carcinoma, blood, bone marrow, CNS, heart, liver, lung, lymph node, placenta, and spleen. ESTs have been isolated from B-cell/lung/testis, brain, ganglion, heart/melanocyte/uterus, kidney, tonsil, liver/spleen, placenta, and prostate libraries. Caution: Rat GPR30 is also known as GPR41 and HIA-R.

Long Name

G Protein-coupled Estrogen Receptor 1

Alternate Names

CEPR, CMKRL2, DRY12, FEG-1, GPCR-BR, GPR30, LERGU2, LyGPR

Entrez Gene IDs

2852 (Human)

Gene Symbol

GPER1

Additional GPER/GPR30 Products

Product Documents for GPER/GPR30 Antibody - BSA Free

Certificate of Analysis

To download a Certificate of Analysis, please enter a lot number in the search box below.

Product Specific Notices for GPER/GPR30 Antibody - BSA Free

This product is for research use only and is not approved for use in humans or in clinical diagnosis. Primary Antibodies are guaranteed for 1 year from date of receipt.

Loading...
Loading...
Loading...
Loading...