Skip to main content

GPER/GPR30 Antibody - BSA Free

Novus Biologicals, part of Bio-Techne | Catalog # NBP1-31258

Novus Biologicals, part of Bio-Techne
Catalog #
Availability
Size / Price
Qty
Loading...
NBP1-31258

Key Product Details

Validated by

Orthogonal Validation

Species Reactivity

Human, Mouse, Rat

Applications

Immunohistochemistry, Immunohistochemistry-Paraffin, Immunohistochemistry-Frozen, Western Blot, Immunocytochemistry/ Immunofluorescence, Knockdown Validated

Label

Unconjugated

Antibody Source

Polyclonal Rabbit IgG

Format

BSA Free

Concentration

Concentrations vary lot to lot. See vial label for concentration. If unlisted please contact technical services.

Product Specifications

Immunogen

Carrier-protein conjugated synthetic peptide encompassing a sequence within the C-terminus region of human GPER/GPR30. The exact sequence is proprietary.

Localization

Cell membrane, Multi-pass membrane protein, Endoplasmic reticulum membrane, Multi-pass membrane protein, Golgi apparatus membrane, Multi-pass membrane protein

Clonality

Polyclonal

Host

Rabbit

Isotype

IgG

Theoretical MW

42 kDa.
Disclaimer note: The observed molecular weight of the protein may vary from the listed predicted molecular weight due to post translational modifications, post translation cleavages, relative charges, and other experimental factors.

Description

Novus Biologicals Rabbit GPER/GPR30 Antibody - BSA Free (NBP1-31258) is a polyclonal antibody validated for use in IHC, WB and ICC/IF. All Novus Biologicals antibodies are covered by our 100% guarantee.

Scientific Data Images for GPER/GPR30 Antibody - BSA Free

Immunohistochemistry-Paraffin: GPER/GPR30 Antibody [NBP1-31258]

Immunohistochemistry-Paraffin: GPER/GPR30 Antibody [NBP1-31258]

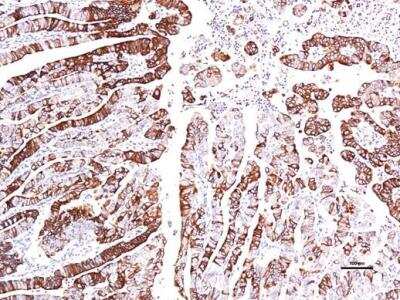
Immunohistochemistry-Paraffin: GPER/GPR30 Antibody [NBP1-31258] - Paraffin-embedded endometrial, using antibody at 1:150 dilution.
Immunohistochemistry-Paraffin: GPER/GPR30 Antibody [NBP1-31258]

Immunohistochemistry-Paraffin: GPER/GPR30 Antibody [NBP1-31258]

Immunohistochemistry-Paraffin: GPER/GPR30 Antibody [NBP1-31258] - Paraffin-embedded endometrial, using antibody at 1:150 dilution.
GPER/GPR30 Antibody

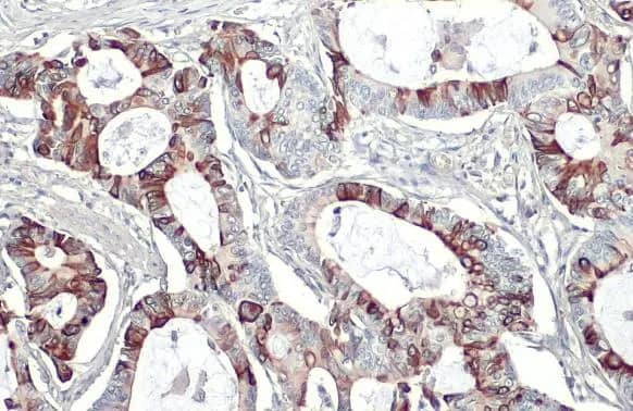
Immunohistochemistry-Paraffin: GPER/GPR30 Antibody [NBP1-31258] -

Immunohistochemistry-Paraffin: GPER/GPR30 Antibody [NBP1-31258] - GPER/GPR30 antibody [C2C3], C-term detects GPER/GPR30 protein at cell membrane and cytoplasm by immunohistochemical analysis.
Sample: Paraffin-embedded human colon cancer.
GPER/GPR30 stained by GPER/GPR30 antibody [C2C3], C-term (NBP1-31258) diluted at 1:500.
Antigen Retrieval: Citrate buffer, pH 6.0, 15 min

Applications for GPER/GPR30 Antibody - BSA Free

Application
Recommended Usage

Immunocytochemistry/ Immunofluorescence

1:100-1:1000

Immunohistochemistry

1:100-1:1000

Immunohistochemistry-Frozen

Assay dependent

Immunohistochemistry-Paraffin

1:100-1:1000

Western Blot

1:500-1:3000
Application Notes
WB-As is commonly seen with membrane proteins, significant hydrophobicity can lead to aggregation following boiling of samples prior to SDS-PAGE and subsequent western blotting. We recommend to avoid boiling in this case.

Formulation, Preparation, and Storage

Purification

Antigen Affinity-purified

Formulation

PBS, 20% Glycerol

Format

BSA Free

Preservative

0.025% Proclin 300

Concentration

Concentrations vary lot to lot. See vial label for concentration. If unlisted please contact technical services.

Shipping

The product is shipped with polar packs. Upon receipt, store it immediately at the temperature recommended below.

Stability & Storage

Aliquot and store at -20C or -80C. Avoid freeze-thaw cycles.

Background: GPER/GPR30

GPR30 a former orphan receptor has been linked to estrogen-mediated activation of adenylyl cyclase, release of epidermal growth factor (EGF)-related ligands, and specific estrogen binding.1 GPR30 acts independently of estrogen receptors, ERalpha and ERbeta, to release of heparin-binding EGF and may play a role in breast cancer tumorogenesis.

Long Name

G Protein-coupled Estrogen Receptor 1

Alternate Names

CEPR, CMKRL2, DRY12, FEG-1, GPCR-BR, GPR30, LERGU2, LyGPR

Entrez Gene IDs

2852 (Human)

Gene Symbol

GPER1

UniProt

Additional GPER/GPR30 Products

Product Documents for GPER/GPR30 Antibody - BSA Free

Certificate of Analysis

To download a Certificate of Analysis, please enter a lot number in the search box below.

Product Specific Notices for GPER/GPR30 Antibody - BSA Free

This product is for research use only and is not approved for use in humans or in clinical diagnosis. Primary Antibodies are guaranteed for 1 year from date of receipt.

Loading...
Loading...
Loading...
Loading...