Skip to main content

GPD2 Antibody - BSA Free

Novus Biologicals, part of Bio-Techne | Catalog # NBP1-86121

Novus Biologicals, part of Bio-Techne
Catalog #
Availability
Size / Price
Qty
Loading...
NBP1-86121
NBP1-86121-25ul

Key Product Details

Validated by

Independent Antibodies

Species Reactivity

Human

Applications

Immunohistochemistry, Immunohistochemistry-Paraffin, Western Blot

Label

Unconjugated

Antibody Source

Polyclonal Rabbit IgG

Format

BSA Free

Concentration

Concentrations vary lot to lot. See vial label for concentration. If unlisted please contact technical services.

Product Specifications

Immunogen

This antibody was developed against Recombinant Protein corresponding to amino acids: RRKQMNLAYVKAADCISEPVNREPPSREAQLLTLQNTSEFDILVIGGGATGSG

Reactivity Notes

Immunogen displays the following percentage of sequence identity for non-tested species: Rat (87%)

Clonality

Polyclonal

Host

Rabbit

Isotype

IgG

Scientific Data Images for GPD2 Antibody - BSA Free

Western Blot: GPD2 Antibody [NBP1-86121]

Western Blot: GPD2 Antibody [NBP1-86121]

Western Blot: GPD2 Antibody [NBP1-86121] - Staining of human colon, liver, parathyroid gland and skin using Anti-GPD2 antibody NBP1-86121 (A) shows similar protein distribution across tissues to independent antibody NBP2-38542 (B).
Western Blot: GPD2 Antibody [NBP1-86121]

Western Blot: GPD2 Antibody [NBP1-86121]

Western Blot: GPD2 Antibody [NBP1-86121] - Analysis using Anti-GPD2 antibody NBP1-86121 (A) shows similar pattern to independent antibody NBP2-38542 (B).
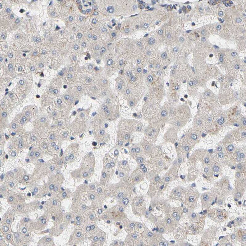
GPD2 Antibody - BSA Free Immunohistochemistry-Paraffin: GPD2 Antibody - BSA Free [NBP1-86121]

Immunohistochemistry-Paraffin: GPD2 Antibody - BSA Free [NBP1-86121]

Staining of human liver shows negative to very weak cytoplasmic granular positivity in hepatocytes.

Applications for GPD2 Antibody - BSA Free

Application
Recommended Usage

Immunohistochemistry

1:50 - 1:200

Immunohistochemistry-Paraffin

1:50 - 1:200

Western Blot

0.04-0.4 ug/ml
Application Notes
For IHC-Paraffin, HIER pH 6 retrieval is recommended.

Formulation, Preparation, and Storage

Purification

Affinity purified

Formulation

PBS (pH 7.2) and 40% Glycerol

Format

BSA Free

Preservative

0.02% Sodium Azide

Concentration

Concentrations vary lot to lot. See vial label for concentration. If unlisted please contact technical services.

Shipping

The product is shipped with polar packs. Upon receipt, store it immediately at the temperature recommended below.

Stability & Storage

Store at 4C short term. Aliquot and store at -20C long term. Avoid freeze-thaw cycles.

Background: GPD2

Mitochondrial glycerophosphate dehydrogenase (EC 1.1.99.5), or GPD2, is located on the outer surface of the inner mitochondrial membrane and catalyzes the unidirectional conversion of glycerol-3-phosphate (G-3-P) to dihydroxyacetone phosphate (DHAP) with concomitant reduction of the enzyme-bound FAD. Together with a cytosolic NAD-linked GPD (GPD1; MIM 138420), GPD2 forms the glycerol phosphate shuttle, which uses the interconversion of G-3-P and DHAP to transfer reducing equivalents into mitochondria, resulting in the reoxidation of NADH formed during glycolysis.[supplied by OMIM]

Long Name

Glycerol-3-phosphate dehydrogenase, mitochondrial

Alternate Names

EC 1.1.5.3, GPD-M, GPDH-M, mGDH, mtGPD

Gene Symbol

GPD2

Additional GPD2 Products

Product Documents for GPD2 Antibody - BSA Free

Certificate of Analysis

To download a Certificate of Analysis, please enter a lot number in the search box below.

Product Specific Notices for GPD2 Antibody - BSA Free

This product is for research use only and is not approved for use in humans or in clinical diagnosis. Primary Antibodies are guaranteed for 1 year from date of receipt.

Loading...
Loading...
Loading...
Loading...