Skip to main content

GOSR1 Antibody - BSA Free

Novus Biologicals, part of Bio-Techne | Catalog # NBP1-83351

Novus Biologicals, part of Bio-Techne
Catalog #
Availability
Size / Price
Qty
Loading...
NBP1-83351-25ul
NBP1-83351

Key Product Details

Species Reactivity

Validated:

Human

Predicted:

Mouse (99%), Rat (99%). Backed by our 100% Guarantee.

Applications

Immunohistochemistry, Immunohistochemistry-Paraffin, Western Blot

Label

Unconjugated

Antibody Source

Polyclonal Rabbit IgG

Format

BSA Free

Concentration

Concentrations vary lot to lot. See vial label for concentration. If unlisted please contact technical services.

Product Specifications

Immunogen

This antibody was developed against Recombinant Protein corresponding to amino acids: TGVNDKMAEYTNSAGVPSLNAALMHTLQRHRDILQDYTHEFHKTKANFMAIRERENLMGSVRKDIESYKSGSGVNNRRTELFLKEHDHLRNSDRLIEETISIAMATKENMTSQRGMLKSIHSKMNTLANRFPAVNSLIQRINLRKR

Clonality

Polyclonal

Host

Rabbit

Isotype

IgG

Description

Novus Biologicals Rabbit GOSR1 Antibody - BSA Free (NBP1-83351) is a polyclonal antibody validated for use in IHC and WB. All Novus Biologicals antibodies are covered by our 100% guarantee.

Scientific Data Images for GOSR1 Antibody - BSA Free

Western Blot: GOSR1 Antibody [NBP1-83351]

Western Blot: GOSR1 Antibody [NBP1-83351]

Western Blot: GOSR1 Antibody [NBP1-83351] - Analysis in control (vector only transfected HEK293T lysate) and GOSR1 over-expression lysate (Co-expressed with a C-terminal myc-DDK tag (3.1 kDa) in mammalian HEK293T cells).
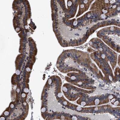
Immunohistochemistry-Paraffin: GOSR1 Antibody [NBP1-83351]

Immunohistochemistry-Paraffin: GOSR1 Antibody [NBP1-83351]

Immunohistochemistry-Paraffin: GOSR1 Antibody [NBP1-83351] - Staining of human duodenum shows strong cytoplasmic positivity in glandular cells.

Applications for GOSR1 Antibody - BSA Free

Application
Recommended Usage

Immunohistochemistry

1:50 - 1:200

Immunohistochemistry-Paraffin

1:50 - 1:200

Western Blot

0.04-0.4 ug/ml
Application Notes
For IHC-Paraffin, HIER pH 6 retrieval is recommended.

Formulation, Preparation, and Storage

Purification

Affinity purified

Formulation

PBS (pH 7.2) and 40% Glycerol

Format

BSA Free

Preservative

0.02% Sodium Azide

Concentration

Concentrations vary lot to lot. See vial label for concentration. If unlisted please contact technical services.

Shipping

The product is shipped with polar packs. Upon receipt, store it immediately at the temperature recommended below.

Stability & Storage

Store at 4C short term. Aliquot and store at -20C long term. Avoid freeze-thaw cycles.

Background: GOSR1/GS28

In eukaryotic cells, the Golgi apparatus receives newly synthesized proteins from the endoplasmic reticulum (ER) and delivers them after covalent modification to their destination in the cell. Although little is known about membrane-tubule-mediated transport, the molecular mechanism for vesicle-mediated transport is quite well understood, occurring through docking of SNAREs on the vesicle with those on the target membrane. (1). Transport of proteins along the exocytotic pathway is primarily achieved by vesicular intermediates. Two proteins, Golgi SNAREs of 27 kDa, GS27, and of 28 kDa, GS28 are important trafficking membrane proteins between the endoplasmic reticulum and the Golgi and between Golgi subcompartments (2). In vitro, GOS-28, A Golgi SNARE of 28 kD, is efficiently packaged into Golgi-derived vesicles, which are most likely COPI coated. Antibodies directed against GOS-28 block its ability to bind alpha-SNAP, partially inhibit transport from the cis to the medial cisternae, and do not inhibit budding of COP-coated vesicles, but do accumulate docked uncoated vesicles (3).

Long Name

Golgi SNAP Receptor Complex Member 1

Alternate Names

GOLIM2, GS28, p28

Gene Symbol

GOSR1

Additional GOSR1/GS28 Products

Product Documents for GOSR1 Antibody - BSA Free

Certificate of Analysis

To download a Certificate of Analysis, please enter a lot number in the search box below.

Product Specific Notices for GOSR1 Antibody - BSA Free

This product is for research use only and is not approved for use in humans or in clinical diagnosis. Primary Antibodies are guaranteed for 1 year from date of receipt.

Loading...
Loading...
Loading...
Loading...