Skip to main content

GOLPH4 Antibody - BSA Free

Novus Biologicals, part of Bio-Techne | Catalog # NBP1-91955

Novus Biologicals, part of Bio-Techne
Catalog #
Availability
Size / Price
Qty
Loading...
NBP1-91955-25ul
NBP1-91955

Key Product Details

Validated by

Orthogonal Validation, Independent Antibodies

Species Reactivity

Human

Applications

Immunohistochemistry, Immunohistochemistry-Paraffin

Label

Unconjugated

Antibody Source

Polyclonal Rabbit IgG

Format

BSA Free

Concentration

Concentrations vary lot to lot. See vial label for concentration. If unlisted please contact technical services.

Product Specifications

Immunogen

This antibody was developed against Recombinant Protein corresponding to amino acids: ENRQLRKAHQDIHTQLQDVKQQHKNLLSEHEQLVVTLEDHKSALAAAQTQVAEYKQLKDTLNRIPSLRKPDPAEQQNVTQVAHSPQGYNTAREKPTREVQEVSRNNDVWQ

Reactivity Notes

Immunogen displays the following percentage of sequence identity for non-tested species: Mouse (81%), Rat (82%).

Marker

Golgi Apparatus Marker

Clonality

Polyclonal

Host

Rabbit

Isotype

IgG

Scientific Data Images for GOLPH4 Antibody - BSA Free

Immunohistochemistry-Paraffin: GOLPH4 Antibody [NBP1-91955]

Immunohistochemistry-Paraffin: GOLPH4 Antibody [NBP1-91955]

Immunohistochemistry-Paraffin: GOLPH4 Antibody [NBP1-91955] - Staining of human liver shows strong granular cytoplasmic positivity in hepatocytes.
Immunohistochemistry-Paraffin: GOLPH4 Antibody [NBP1-91955]

Immunohistochemistry-Paraffin: GOLPH4 Antibody [NBP1-91955]

Immunohistochemistry-Paraffin: GOLPH4 Antibody [NBP1-91955] - Staining of human liver shows strong cytoplasmic positivity with granular pattern in hepatocytes.
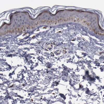
Immunohistochemistry-Paraffin: GOLPH4 Antibody [NBP1-91955]

Immunohistochemistry-Paraffin: GOLPH4 Antibody [NBP1-91955]

Immunohistochemistry-Paraffin: GOLPH4 Antibody [NBP1-91955] - Staining of human skin shows low expression as expected.

Applications for GOLPH4 Antibody - BSA Free

Application
Recommended Usage

Immunohistochemistry

1:50 - 1:200

Immunohistochemistry-Paraffin

1:50 - 1:200
Application Notes
For IHC-Paraffin, HIER pH 6 retrieval is recommended.

Formulation, Preparation, and Storage

Purification

Affinity purified

Formulation

PBS (pH 7.2) and 40% Glycerol

Format

BSA Free

Preservative

0.02% Sodium Azide

Concentration

Concentrations vary lot to lot. See vial label for concentration. If unlisted please contact technical services.

Shipping

The product is shipped with polar packs. Upon receipt, store it immediately at the temperature recommended below.

Stability & Storage

Store at 4C short term. Aliquot and store at -20C long term. Avoid freeze-thaw cycles.

Background: GOLPH4

The Golgi complex plays a key role in the sorting and modification of proteins exported from the endoplasmic reticulum. The protein encoded by this gene is a type II Golgi-resident protein. It may process proteins synthesized in the rough endoplasmic reticulum and assist in the transport of protein cargo through the Golgi apparatus.

Alternate Names

GIMPc, GIMPCcis, golgi integral membrane protein 4, Golgi phosphoprotein 4130 kDa golgi-localized phosphoprotein, Golgi phosphoprotein of 130 kDa, GPP130Golgi-localized phosphoprotein of 130 kDa

Gene Symbol

GOLIM4

Additional GOLPH4 Products

Product Documents for GOLPH4 Antibody - BSA Free

Certificate of Analysis

To download a Certificate of Analysis, please enter a lot number in the search box below.

Product Specific Notices for GOLPH4 Antibody - BSA Free

This product is for research use only and is not approved for use in humans or in clinical diagnosis. Primary Antibodies are guaranteed for 1 year from date of receipt.

Loading...
Loading...
Loading...
Loading...