Skip to main content

GnRHR Antibody (HL2638)

Novus Biologicals, part of Bio-Techne | Catalog # NBP3-48712

Recombinant Monoclonal Antibody
Novus Biologicals, part of Bio-Techne
Catalog #
Availability
Size / Price
Qty
Loading...
NBP3-48712

Key Product Details

Validated by

Knockout/Knockdown, Orthogonal Validation, Independent Antibodies

Species Reactivity

Human, Mouse

Applications

Immunohistochemistry, Immunohistochemistry-Paraffin, Western Blot

Label

Unconjugated

Antibody Source

Recombinant Monoclonal Rabbit IgG Clone # HL2638

Concentration

Concentrations vary lot to lot. See vial label for concentration. If unlisted please contact technical services.

Product Specifications

Immunogen

Synthetic peptide encompassing a sequence within the Extracellular domain of human GnRHR. The exact sequence is proprietary.

Clonality

Monoclonal

Host

Rabbit

Isotype

IgG

Description

Novus Biologicals Rabbit GnRHR Antibody (HL2638) (NBP3-48712) is a recombinant monoclonal antibody validated for use in IHC and WB. All Novus Biologicals antibodies are covered by our 100% guarantee.

Scientific Data Images for GnRHR Antibody (HL2638)

GnRHR Antibody (HL2638)

Immunohistochemistry-Paraffin: GnRHR Antibody (HL2638) [NBP3-48712] -

GnRHR antibody [HL2638] detects GnRHR protein by immunohistochemical analysis.
Sample: Paraffin-embedded mouse kidney.
GnRHR stained by GnRHR antibody [HL2638] (NBP3-48712) diluted at 1:100.
Antigen Retrieval: Citrate buffer, pH 6.0, 15 min
GnRHR Antibody (HL2638)

Western Blot: GnRHR Antibody (HL2638) [NBP3-48712] -

Boiled and unboiled PC-3 whole cell and membrane extracts (30 ug) were separated by 10% SDS-PAGE, and the membrane was blotted with GnRHR antibody [HL2638] (NBP3-48712) diluted at 1:1000. The HRP-conjugated anti-rabbit IgG antibody
GnRHR Antibody (HL2638)

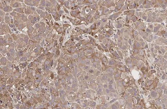
Immunohistochemistry-Paraffin: GnRHR Antibody (HL2638) [NBP3-48712] -

GnRHR antibody [HL2638] detects GnRHR protein at cell membrane by immunohistochemical analysis.
Sample: Paraffin-embedded human PC-3 xenograft.
GnRHR stained by GnRHR antibody [HL2638] (NBP3-48712) diluted at 1:100.
Antigen Retrieval: Citrate buffer, pH 6.0, 15 min

Applications for GnRHR Antibody (HL2638)

Application
Recommended Usage

Western Blot

1:500-1:10000

Formulation, Preparation, and Storage

Purification

Protein A purified

Formulation

PBS

Preservative

No Preservative

Concentration

Concentrations vary lot to lot. See vial label for concentration. If unlisted please contact technical services.

Shipping

The product is shipped with polar packs. Upon receipt, store it immediately at the temperature recommended below.

Stability & Storage

Store at 4C short term. Aliquot and store at -20C long term. Avoid freeze-thaw cycles.

Background: GnRHR

GnRHR encodes the receptor for type 1 gonadotropin-releasing hormone. This receptor is a member of the seven-transmembrane, G-protein coupled receptor (GPCR) family. It is expressed on the surface of pituitary gonadotrope cells as well as lymphocytes, breast, ovary, and prostate. Following binding of gonadotropin-releasing hormone, the receptor associates with G-proteins that activate a phosphatidylinositol-calcium second messenger system. Activation of the receptor ultimately causes the release of gonadotropic luteinizing hormone (LH) and follicle stimulating hormone (FSH). Defects in this gene are a cause of hypogonadotropic hypogonadism (HH). Alternative splicing results in multiple transcript variants encoding different isoforms. More than 18 transcription initiation sites in the 5' region and multiple polyA signals in the 3' region have been identified for this gene.

Long Name

Gonadotropin-releasing Hormone Receptor

Alternate Names

GNRHR1, GRHR, HH7, LHRHR, LRHR, Luliberin

Gene Symbol

GNRHR

Additional GnRHR Products

Product Documents for GnRHR Antibody (HL2638)

Certificate of Analysis

To download a Certificate of Analysis, please enter a lot number in the search box below.

Product Specific Notices for GnRHR Antibody (HL2638)

This product is for research use only and is not approved for use in humans or in clinical diagnosis. Primary Antibodies are guaranteed for 1 year from date of receipt.

Loading...
Loading...
Loading...
Loading...