Skip to main content

GNPDA1 Antibody - BSA Free

Novus Biologicals, part of Bio-Techne | Catalog # NBP3-46201

Novus Biologicals, part of Bio-Techne
Catalog #
Availability
Size / Price
Qty
Loading...
NBP3-46201

Key Product Details

Species Reactivity

Human, Mouse, Rat

Applications

Immunohistochemistry, Western Blot, ELISA

Label

Unconjugated

Antibody Source

Polyclonal Rabbit IgG

Format

BSA Free

Concentration

Please see the vial label for concentration. If unlisted please contact technical services.

Product Specifications

Immunogen

glucosamine-6-phosphate deaminase 1. (Uniprot# P46926)

Clonality

Polyclonal

Host

Rabbit

Isotype

IgG

Theoretical MW

33 kDa.
Disclaimer note: The observed molecular weight of the protein may vary from the listed predicted molecular weight due to post translational modifications, post translation cleavages, relative charges, and other experimental factors.

Description

Novus Biologicals Rabbit GNPDA1 Antibody - BSA Free (NBP3-46201) is a polyclonal antibody validated for use in IHC, WB and ELISA. All Novus Biologicals antibodies are covered by our 100% guarantee.

Scientific Data Images for GNPDA1 Antibody - BSA Free

GNPDA1 Antibody - BSA Free

Western Blot: GNPDA1 Antibody - BSA Free [NBP3-46201] -

Western Blot: GNPDA1 Antibody - BSA Free [NBP3-46201] - K-562 cells were subjected to SDS PAGE followed by western blot with (GNPDA1 antibody) at dilution of 1:400
GNPDA1 Antibody - BSA Free

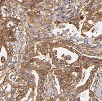
Immunohistochemistry: GNPDA1 Antibody - BSA Free [NBP3-46201] -

Immunohistochemistry: GNPDA1 Antibody - BSA Free [NBP3-46201] - Immunohistochemistry of paraffin-embedded human pancreas cancer using (GNPDA1 antibody) at dilution of 1:50

Applications for GNPDA1 Antibody - BSA Free

Application
Recommended Usage

Immunohistochemistry

1:20-1:200

Western Blot

1:500-1:2000

Formulation, Preparation, and Storage

Purification

Immunogen affinity purified

Formulation

PBS, 50% Glycerol, pH (7.3)

Format

BSA Free

Preservative

0.02% Sodium Azide

Concentration

Please see the vial label for concentration. If unlisted please contact technical services.

Shipping

The product is shipped with polar packs. Upon receipt, store it immediately at the temperature recommended below.

Stability & Storage

Store at -20C. Avoid freeze-thaw cycles.

Background: GNPDA1

GNPDA1, also known as Glucosamine-6-phosphate isomerase 1, is a 289 amino acid that is 33 kDa, with homohexamer subunit structure and cytoplasm location; is an allosteric enzyme that catalyzes the reversible conversion of D-glucosamine-6-phosphate into D-fructose-6-phosphate and ammonium; and appears to trigger calcium oscillations in mammalian eggs which operate as the basic trigger for egg activation and early development of the embryo. Disease research is currently being studied with relation to GNPDA1 and lipoid nephrosis, hepatocellular carcinoma, and acute interstitial pneumonia. The protein has been linked to the amino sugar and nucleotide sugar metabolism and metabolic pathways where it interacts with MCC, EWSR1, ILF2, AMDHD2, and GP1.

Alternate Names

EC 3.5.99.6, GlcN6P deaminase 1, glucosamine-6-phosphate deaminase 1KIAA0060HLNGNPIGNPDA, glucosamine-6-phosphate isomerase, glucosamine-6-phosphate isomerase 1, GNP1, GNPDA 1, GPI, oscillin

Gene Symbol

GNPDA1

Additional GNPDA1 Products

Product Documents for GNPDA1 Antibody - BSA Free

Certificate of Analysis

To download a Certificate of Analysis, please enter a lot number in the search box below.

Product Specific Notices for GNPDA1 Antibody - BSA Free

This product is for research use only and is not approved for use in humans or in clinical diagnosis. Primary Antibodies are guaranteed for 1 year from date of receipt.

Loading...
Loading...
Loading...
Loading...