Skip to main content

GNPDA1 Antibody

Novus Biologicals, part of Bio-Techne | Catalog # NBP2-24653

Novus Biologicals, part of Bio-Techne
Catalog #
Availability
Size / Price
Qty
Loading...
NBP2-24653
NBP2-24653SS

Key Product Details

Species Reactivity

Validated:

Human, Mouse, Rat

Predicted:

Bovine (94%). Backed by our 100% Guarantee.

Applications

Immunohistochemistry, Immunohistochemistry-Paraffin, Western Blot

Label

Unconjugated

Antibody Source

Polyclonal Rabbit IgG

Concentration

0.5 mg/ml

Product Specifications

Immunogen

A portion of amino acids 100-150 of human GNPDA1 was used as the immunogen for the antibody.

Reactivity Notes

The amino acid sequence used as immunogen for the antibody is 88% homologous in Chicken, Zebrafish, and Xenopus.

Clonality

Polyclonal

Host

Rabbit

Isotype

IgG

Description

Novus Biologicals Rabbit GNPDA1 Antibody (NBP2-24653) is a polyclonal antibody validated for use in IHC and WB. All Novus Biologicals antibodies are covered by our 100% guarantee.

Scientific Data Images for GNPDA1 Antibody

Western Blot: GNPDA1 Antibody [NBP2-24653]

Western Blot: GNPDA1 Antibody [NBP2-24653]

Western Blot: GNPDA1 Antibody [NBP2-24653] - analysis of GNPDA1 in human spleen lysate in the 1) absence and 2) presence of immunizing peptide 3) mouse spleen and 4) rat spleen using GNPDA1 antibody at 1.0 ug/ml, 0.5 ug/ml and 0.5 ug/ml, respectively.
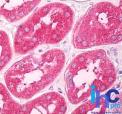
Immunohistochemistry-Paraffin: GNPDA1 Antibody [NBP2-24653]

Immunohistochemistry-Paraffin: GNPDA1 Antibody [NBP2-24653]

Immunohistochemistry-Paraffin: GNPDA1 Antibody [NBP2-24653] - Formalin-fixed paraffin-embedded human kidney tissue stained with GNPDA1 antibody at 10 ug/ml. Staining of formalin-fixed tissues is enhanced by boiling tissue sections in 10 mM sodium citrate buffer, pH 6.0 for 10-20 min followed by cooling at RT for 20 min.

Applications for GNPDA1 Antibody

Application
Recommended Usage

Immunohistochemistry-Paraffin

10 ug/ml

Western Blot

0.5-1.0 ug/ml

Formulation, Preparation, and Storage

Purification

Protein A purified

Formulation

PBS and 0.05% BSA

Preservative

0.05% Sodium Azide

Concentration

0.5 mg/ml

Shipping

The product is shipped with polar packs. Upon receipt, store it immediately at the temperature recommended below.

Stability & Storage

Store at 4C short term. Aliquot and store at -20C long term. Avoid freeze-thaw cycles.

Background: GNPDA1

GNPDA1, also known as Glucosamine-6-phosphate isomerase 1, is a 289 amino acid that is 33 kDa, with homohexamer subunit structure and cytoplasm location; is an allosteric enzyme that catalyzes the reversible conversion of D-glucosamine-6-phosphate into D-fructose-6-phosphate and ammonium; and appears to trigger calcium oscillations in mammalian eggs which operate as the basic trigger for egg activation and early development of the embryo. Disease research is currently being studied with relation to GNPDA1 and lipoid nephrosis, hepatocellular carcinoma, and acute interstitial pneumonia. The protein has been linked to the amino sugar and nucleotide sugar metabolism and metabolic pathways where it interacts with MCC, EWSR1, ILF2, AMDHD2, and GP1.

Alternate Names

EC 3.5.99.6, GlcN6P deaminase 1, glucosamine-6-phosphate deaminase 1KIAA0060HLNGNPIGNPDA, glucosamine-6-phosphate isomerase, glucosamine-6-phosphate isomerase 1, GNP1, GNPDA 1, GPI, oscillin

Gene Symbol

GNPDA1

UniProt

Additional GNPDA1 Products

Product Documents for GNPDA1 Antibody

Certificate of Analysis

To download a Certificate of Analysis, please enter a lot number in the search box below.

Product Specific Notices for GNPDA1 Antibody

This product is for research use only and is not approved for use in humans or in clinical diagnosis. Primary Antibodies are guaranteed for 1 year from date of receipt.

Loading...
Loading...
Loading...
Loading...