Skip to main content

GNPDA1 Antibody - BSA Free

Novus Biologicals, part of Bio-Techne | Catalog # NBP1-83355

Novus Biologicals, part of Bio-Techne
Catalog #
Availability
Size / Price
Qty
Loading...
NBP1-83355

Key Product Details

Species Reactivity

Validated:

Human

Predicted:

Mouse (96%). Backed by our 100% Guarantee.

Applications

Immunohistochemistry, Immunohistochemistry-Paraffin, Western Blot, Immunocytochemistry/ Immunofluorescence

Label

Unconjugated

Antibody Source

Polyclonal Rabbit IgG

Format

BSA Free

Concentration

Concentrations vary lot to lot. See vial label for concentration. If unlisted please contact technical services.

Product Specifications

Immunogen

This antibody was developed against Recombinant Protein corresponding to amino acids: EHYSQASEWAAKYIRNRIIQFNPGPEKYFTLGLPTGSTPLGCYKKLIEYYKNGDLSFKYVKTFNMDEYVGLPRDHPESYHSFMWNNFFKHIDIHPENTHILDGNAVDLQAECDAFEEKIKAA

Reactivity Notes

Immunogen displays the following percentage of sequence identity for non-tested species: Rat (83%)

Clonality

Polyclonal

Host

Rabbit

Isotype

IgG

Scientific Data Images for GNPDA1 Antibody - BSA Free

Western Blot: GNPDA1 Antibody [NBP1-83355]

Western Blot: GNPDA1 Antibody [NBP1-83355]

Western Blot: GNPDA1 Antibody [NBP1-83355] - Lane 1: Marker [kDa] 207, 110, 79, 49, 32, 25, 17, Lane 2: Human cell line RT-4
Immunocytochemistry/ Immunofluorescence: GNPDA1 Antibody [NBP1-83355]

Immunocytochemistry/ Immunofluorescence: GNPDA1 Antibody [NBP1-83355]

Immunocytochemistry/Immunofluorescence: GNPDA1 Antibody [NBP1-83355] - Staining of human cell line U-251 MG shows localization to vesicles.
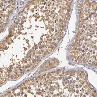
Immunohistochemistry-Paraffin: GNPDA1 Antibody [NBP1-83355]

Immunohistochemistry-Paraffin: GNPDA1 Antibody [NBP1-83355]

Immunohistochemistry-Paraffin: GNPDA1 Antibody [NBP1-83355] - Staining of human testis shows moderate cytoplasmic positivity in germ cells.

Applications for GNPDA1 Antibody - BSA Free

Application
Recommended Usage

Immunocytochemistry/ Immunofluorescence

0.25-2 ug/ml

Immunohistochemistry

1:200 - 1:500

Immunohistochemistry-Paraffin

1:200 - 1:500

Western Blot

0.04-0.4 ug/ml
Application Notes
For IHC-Paraffin, HIER pH 6 retrieval is recommended. Immunocytochemistry/Immunofluorescence Fixation Permeabilization: Use PFA/Triton X-100.

Formulation, Preparation, and Storage

Purification

Affinity purified

Formulation

PBS (pH 7.2) and 40% Glycerol

Format

BSA Free

Preservative

0.02% Sodium Azide

Concentration

Concentrations vary lot to lot. See vial label for concentration. If unlisted please contact technical services.

Shipping

The product is shipped with polar packs. Upon receipt, store it immediately at the temperature recommended below.

Stability & Storage

Store at 4C short term. Aliquot and store at -20C long term. Avoid freeze-thaw cycles.

Background: GNPDA1

GNPDA1, also known as Glucosamine-6-phosphate isomerase 1, is a 289 amino acid that is 33 kDa, with homohexamer subunit structure and cytoplasm location; is an allosteric enzyme that catalyzes the reversible conversion of D-glucosamine-6-phosphate into D-fructose-6-phosphate and ammonium; and appears to trigger calcium oscillations in mammalian eggs which operate as the basic trigger for egg activation and early development of the embryo. Disease research is currently being studied with relation to GNPDA1 and lipoid nephrosis, hepatocellular carcinoma, and acute interstitial pneumonia. The protein has been linked to the amino sugar and nucleotide sugar metabolism and metabolic pathways where it interacts with MCC, EWSR1, ILF2, AMDHD2, and GP1.

Alternate Names

EC 3.5.99.6, GlcN6P deaminase 1, glucosamine-6-phosphate deaminase 1KIAA0060HLNGNPIGNPDA, glucosamine-6-phosphate isomerase, glucosamine-6-phosphate isomerase 1, GNP1, GNPDA 1, GPI, oscillin

Gene Symbol

GNPDA1

Additional GNPDA1 Products

Product Documents for GNPDA1 Antibody - BSA Free

Certificate of Analysis

To download a Certificate of Analysis, please enter a lot number in the search box below.

Product Specific Notices for GNPDA1 Antibody - BSA Free

This product is for research use only and is not approved for use in humans or in clinical diagnosis. Primary Antibodies are guaranteed for 1 year from date of receipt.

Loading...
Loading...
Loading...
Loading...