Skip to main content

GMPR1 Antibody - BSA Free

Novus Biologicals, part of Bio-Techne | Catalog # NBP1-87459

Novus Biologicals, part of Bio-Techne
Catalog #
Availability
Size / Price
Qty
Loading...
NBP1-87459
NBP1-87459-25ul

Key Product Details

Species Reactivity

Validated:

Human

Cited:

Human

Predicted:

Rat (91%). Backed by our 100% Guarantee.

Applications

Validated:

Immunohistochemistry, Immunohistochemistry-Paraffin, Western Blot

Cited:

IF/IHC

Label

Unconjugated

Antibody Source

Polyclonal Rabbit IgG

Format

BSA Free

Concentration

Concentrations vary lot to lot. See vial label for concentration. If unlisted please contact technical services.

Product Specifications

Immunogen

This antibody was developed against Recombinant Protein corresponding to amino acids: DTVGTFEMAAVMSQHSMFTAIHKHYSLDDWKLFATNHPECLQNVAVSSGSGQNDLEKMTSILEAVPQVKFICLDVANGYS

Reactivity Notes

Immunogen displays the following percentage of sequence identity for non-tested species: Mouse (88%). Human reactivity reported in scientific literature (PMID: 24139804).

Clonality

Polyclonal

Host

Rabbit

Isotype

IgG

Description

Novus Biologicals Rabbit GMPR1 Antibody - BSA Free (NBP1-87459) is a polyclonal antibody validated for use in IHC and WB. Anti-GMPR1 Antibody: Cited in 1 publication. All Novus Biologicals antibodies are covered by our 100% guarantee.

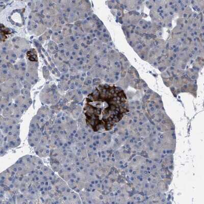
Scientific Data Images for GMPR1 Antibody - BSA Free

Western Blot: GMPR1 Antibody [NBP1-87459]

Western Blot: GMPR1 Antibody [NBP1-87459]

Western Blot: GMPR1 Antibody [NBP1-87459] - Analysis in control (vector only transfected HEK293T lysate) and GMPR over-expression lysate (Co-expressed with a C-terminal myc-DDK tag (3.1 kDa) in mammalian HEK293T cells).
Immunohistochemistry-Paraffin: GMPR1 Antibody [NBP1-87459]

Immunohistochemistry-Paraffin: GMPR1 Antibody [NBP1-87459]

Immunohistochemistry-Paraffin: GMPR1 Antibody [NBP1-87459] - Staining of human testis shows moderate to strong cytoplasmic positivity in cells in seminiferous ducts.
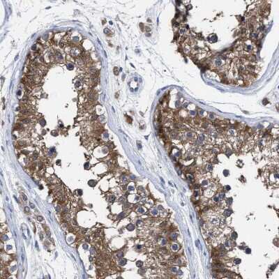
Immunohistochemistry-Paraffin: GMPR1 Antibody [NBP1-87459]

Immunohistochemistry-Paraffin: GMPR1 Antibody [NBP1-87459]

Immunohistochemistry-Paraffin: GMPR1 Antibody [NBP1-87459] - Staining of human testis shows moderate cytoplasmic positivity in cells in seminiferus ducts.

Applications for GMPR1 Antibody - BSA Free

Application
Recommended Usage

Immunohistochemistry

1:50 - 1:200

Immunohistochemistry-Paraffin

1:50 - 1:200

Western Blot

0.04-0.4 ug/ml
Application Notes
IHC reported in scientific literature (PMID: 24139804). For IHC-Paraffin, HIER pH 6 retrieval is recommended.

Formulation, Preparation, and Storage

Purification

Immunogen affinity purified

Formulation

PBS (pH 7.2) and 40% Glycerol

Format

BSA Free

Preservative

0.02% Sodium Azide

Concentration

Concentrations vary lot to lot. See vial label for concentration. If unlisted please contact technical services.

Shipping

The product is shipped with polar packs. Upon receipt, store it immediately at the temperature recommended below.

Stability & Storage

Store at 4C short term. Aliquot and store at -20C long term. Avoid freeze-thaw cycles.

Background: GMPR1

Guanosine monophosphate reductase (EC 1.7.1.7) catalyzes the irreversible NADPH-dependent reductive deamination of guanosine monophosphate (GMP) to inosine monophosphate (IMP). GMPR is able to convert guanosine nucleotides to the pivotal precursor of both guanine (G) and adenine (A) nucleotides. It plays an important role in maintaining the intracellular balance of A and G nucleotides.[supplied by OMIM]

Alternate Names

EC 1.7.1.7, GMPR1GMP reductase 1, guanine monophosphate reductase, Guanosine 5'-monophosphate oxidoreductase 1, guanosine monophosphate reductase, Guanosine monophosphate reductase 1

Gene Symbol

GMPR

Additional GMPR1 Products

Product Documents for GMPR1 Antibody - BSA Free

Certificate of Analysis

To download a Certificate of Analysis, please enter a lot number in the search box below.

Product Specific Notices for GMPR1 Antibody - BSA Free

This product is for research use only and is not approved for use in humans or in clinical diagnosis. Primary Antibodies are guaranteed for 1 year from date of receipt.

Loading...
Loading...
Loading...
Loading...