Skip to main content

GM632 Antibody - BSA Free

Novus Biologicals, part of Bio-Techne | Catalog # NBP2-98091

Novus Biologicals, part of Bio-Techne
Catalog #
Availability
Size / Price
Qty
Loading...
NBP2-98091-100ul
NBP2-98091-50ul
Conjugate
Catalog #

Key Product Details

Species Reactivity

Human

Applications

Immunohistochemistry, Immunohistochemistry-Paraffin

Label

Unconjugated

Antibody Source

Polyclonal Rabbit IgG

Format

BSA Free

Concentration

Please see the vial label for concentration. If unlisted please contact technical services.

Product Specifications

Immunogen

Produced in rabbits immunized with E. coli-derived Human GM632 fragment.

Clonality

Polyclonal

Host

Rabbit

Isotype

IgG

Description

This antibody can be stored at 2C to 8C for one month without detectable loss of activity. Antibody products are stable for twelve months from date of receipt when stored at -20C to -80C. Avoid repeated freeze-thaw cycles.

Scientific Data Images for GM632 Antibody - BSA Free

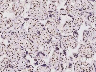
Immunohistochemistry: GM632 Antibody [NBP2-98091]

Immunohistochemistry: GM632 Antibody [NBP2-98091]

Immunohistochemistry: GM632 Antibody [NBP2-98091] - Immunochemical staining of human GM632 in human urinary bladder with rabbit polyclonal antibody at 1:500 dilution, formalin-fixed paraffin embedded sections.
Immunohistochemistry: GM632 Antibody [NBP2-98091]

Immunohistochemistry: GM632 Antibody [NBP2-98091]

Immunohistochemistry: GM632 Antibody [NBP2-98091] - Immunochemical staining of human GM632 in human placenta with rabbit polyclonal antibody at 1:500 dilution, formalin-fixed paraffin embedded sections.

Applications for GM632 Antibody - BSA Free

Application
Recommended Usage

Immunohistochemistry-Paraffin

1:200-1:1000

Formulation, Preparation, and Storage

Purification

Antigen and protein A Affinity-purified

Formulation

PBS

Format

BSA Free

Preservative

0.03% Proclin 300

Concentration

Please see the vial label for concentration. If unlisted please contact technical services.

Shipping

The product is shipped with polar packs. Upon receipt, store it immediately at the temperature recommended below.

Stability & Storage

Store at 4C short term. Aliquot and store at -20C long term. Avoid freeze-thaw cycles.

Background: GM632

GM632 may be involved in transcriptional regulation

Alternate Names

GM632, KIAA1196, MGC149845, MGC149846, zinc finger protein 512B

Gene Symbol

ZNF512B

Additional GM632 Products

Product Documents for GM632 Antibody - BSA Free

Certificate of Analysis

To download a Certificate of Analysis, please enter a lot number in the search box below.

Product Specific Notices for GM632 Antibody - BSA Free

This product is for research use only and is not approved for use in humans or in clinical diagnosis. Primary Antibodies are guaranteed for 1 year from date of receipt.

Loading...
Loading...
Loading...
Loading...