Skip to main content

GM130/GOLGA2 Antibody - BSA Free

Novus Biologicals, part of Bio-Techne | Catalog # NBP1-89758

Novus Biologicals, part of Bio-Techne
Catalog #
Availability
Size / Price
Qty
Loading...
NBP1-89758
NBP1-89758-25ul

Key Product Details

Validated by

Orthogonal Validation, Independent Antibodies

Species Reactivity

Human

Applications

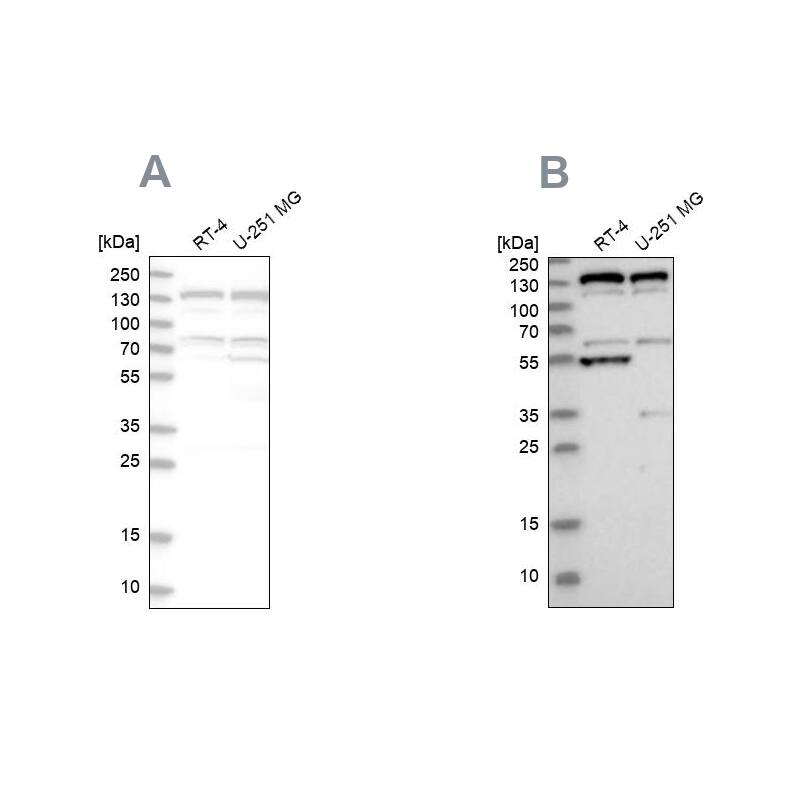
Immunohistochemistry, Immunohistochemistry-Paraffin, Western Blot

Label

Unconjugated

Antibody Source

Polyclonal Rabbit IgG

Format

BSA Free

Concentration

Concentrations vary lot to lot. See vial label for concentration. If unlisted please contact technical services.

Product Specifications

Immunogen

This antibody was developed against Recombinant Protein corresponding to amino acids: LQQYVAAYQQLTSEKEVLHNQLLLQTQLVDQLQQQEAQGKAVAEMARQELQETQERLEAATQQNQQLRAQLSLMAHPG

Marker

Golgi Apparatus Marker

Clonality

Polyclonal

Host

Rabbit

Isotype

IgG

Description

Novus Biologicals Rabbit GM130/GOLGA2 Antibody - BSA Free (NBP1-89758) is a polyclonal antibody validated for use in IHC and WB. All Novus Biologicals antibodies are covered by our 100% guarantee.

Scientific Data Images for GM130/GOLGA2 Antibody - BSA Free

Immunohistochemistry-Paraffin: GM130/GOLGA2 Antibody [NBP1-89758]

Immunohistochemistry-Paraffin: GM130/GOLGA2 Antibody [NBP1-89758]

Immunohistochemistry-Paraffin: GM130/GOLGA2 Antibody [NBP1-89758] - Staining of human cerebral cortex, colon, lymph node and testis using Anti-GOLGA2 antibody NBP1-89758 (A) shows similar protein distribution across tissues to independent antibody NBP1-89756 (B).
GM130/GOLGA2 Antibody - BSA Free Immunohistochemistry-Paraffin: GM130/GOLGA2 Antibody - BSA Free [NBP1-89758]

Immunohistochemistry-Paraffin: GM130/GOLGA2 Antibody - BSA Free [NBP1-89758]

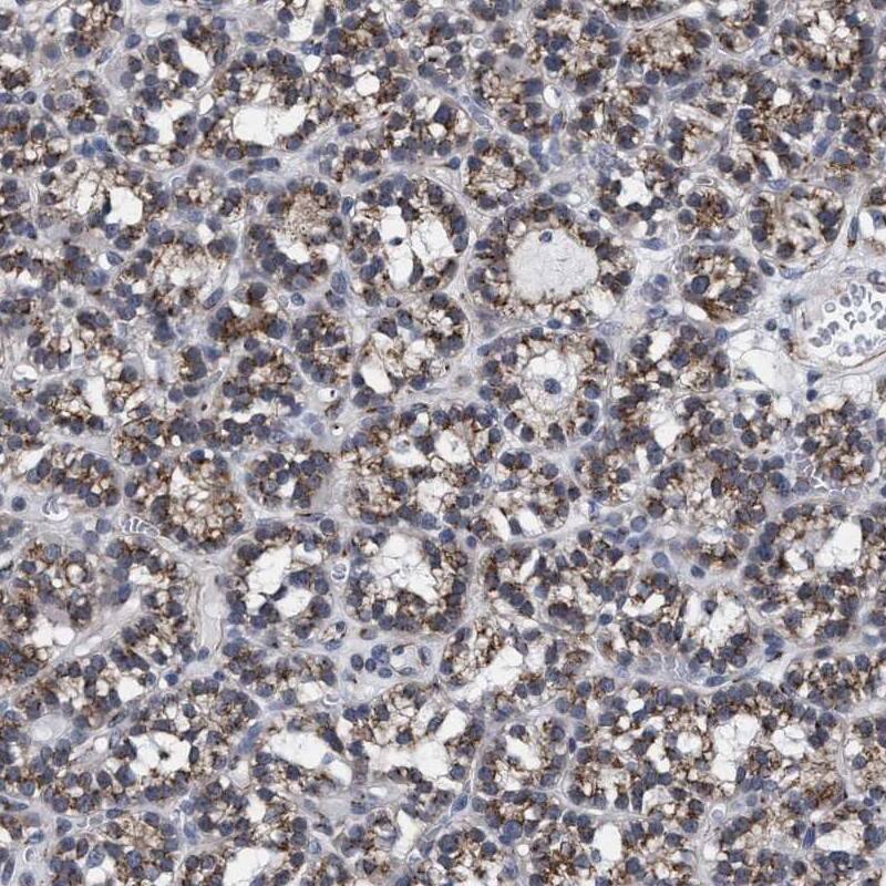
Analysis in human parathyroid gland and lymph node tissues using Anti-GOLGA2 antibody. Corresponding GOLGA2 RNA-seq data are presented for the same tissues.
GM130/GOLGA2 Antibody - BSA Free Immunohistochemistry-Paraffin: GM130/GOLGA2 Antibody - BSA Free [NBP1-89758]

Immunohistochemistry-Paraffin: GM130/GOLGA2 Antibody - BSA Free [NBP1-89758]

Staining of human lymph node shows low expression as expected.

Applications for GM130/GOLGA2 Antibody - BSA Free

Application
Recommended Usage

Immunohistochemistry

1:500 - 1:1000

Immunohistochemistry-Paraffin

1:500 - 1:1000

Western Blot

0.04-0.4 ug/ml
Application Notes
For IHC-Paraffin, HIER pH 6 retrieval is recommended.

Formulation, Preparation, and Storage

Purification

Immunogen affinity purified

Formulation

PBS (pH 7.2) and 40% Glycerol

Format

BSA Free

Preservative

0.02% Sodium Azide

Concentration

Concentrations vary lot to lot. See vial label for concentration. If unlisted please contact technical services.

Shipping

The product is shipped with polar packs. Upon receipt, store it immediately at the temperature recommended below.

Stability & Storage

Store at 4C short term. Aliquot and store at -20C long term. Avoid freeze-thaw cycles.

Background: GM130/GOLGA2

Golgi Matrix Protein (GM130) is peripheral cytoplamic protein that is bound to the Golgi membranes. It has been implicated as a maintainer of cis-Golgi structure (1). During mitosis, it regulates the disassembly and reassembly of the Golgi complex. It is also linked to docking and fusion of coatomer (COP I) coated vesicles to the Golgi membrane (2). The COOH-terminal domain of GM130 is highly homologous to Golgi human auto-antigen, golgin-95. GM130 interacts specifically and GTP-dependent manner with Rab1b protein, a regulator of anterograde traffic between ER and Golgi membranes (3). GM130 is also activator of YSK1, an essential player in cell migration.

Long Name

Golgin A2

Alternate Names

GOLGA2, Golgin-95, SY11 Protein

Gene Symbol

GOLGA2

Additional GM130/GOLGA2 Products

Product Documents for GM130/GOLGA2 Antibody - BSA Free

Certificate of Analysis

To download a Certificate of Analysis, please enter a lot number in the search box below.

Product Specific Notices for GM130/GOLGA2 Antibody - BSA Free

This product is for research use only and is not approved for use in humans or in clinical diagnosis. Primary Antibodies are guaranteed for 1 year from date of receipt.

Loading...
Loading...
Loading...
Loading...