Skip to main content

Glypican 3 Antibody (rGPC3/863) - Azide and BSA Free

Novus Biologicals, part of Bio-Techne | Catalog # NBP2-54304

Novus Biologicals, part of Bio-Techne

Key Product Details

Species Reactivity

Human, Rat

Applications

Immunohistochemistry, Immunohistochemistry-Paraffin, Flow Cytometry, Immunocytochemistry/ Immunofluorescence, Protein Array, CyTOF-ready

Label

Unconjugated

Antibody Source

Monoclonal Mouse IgG1 kappa Clone # rGPC3/863

Format

Azide and BSA Free

Concentration

1 mg/ml

Product Specifications

Immunogen

Recombinant full-length human Glypican 3 protein (Uniprot: P51654 )

Localization

Cytoplasmic

Specificity

Glypican-3 (GPC3) is a glycosylphospatidyl inositol-anchored membrane protein, which may also be found in a secreted form. Anti-GPC3 has been identified as a useful tumor marker for the diagnosis of hepatocellular carcinoma (HCC), hepatoblastoma, melanoma, testicular germ cell tumors, and Wilm s tumor. In patients with HCC, GPC3 is overexpressed in neoplastic liver tissue and elevated in serum, but is undetectable in normal liver, benign liver, and the serum of healthy donors. GPC3 expression is also found to be higher in HCC liver tissue than in cirrhotic liver or liver with focal lesions such as dysplastic nodules and areas of hepatic adenoma (HA) with malignant transformation. In the context of testicular germ cell tumors, GPC3 expression is up regulated in certain histologic subtypes, specifically yolk sac tumors and choriocarcinoma. A high level of GPC3 expression is also found in some types of embryonal tumors, such as Wilm s tumor and hepatoblastoma, with a low or undetectable expression in normal adjacent tissue. In patients with thyroid cancer, expression of GPC3 is dramatically enhanced in certain types of cancers: 100% in follicular carcinoma and 70% in papillary carcinoma. Expression of GPC3 in follicular carcinoma is significantly higher than that of follicular adenoma. In contrast, GPC3 is not expressed in anaplastic carcinoma.

Marker

Hepatocellular Carcinoma Marker

Clonality

Monoclonal

Host

Mouse

Isotype

IgG1 kappa

Theoretical MW

67 kDa.
Disclaimer note: The observed molecular weight of the protein may vary from the listed predicted molecular weight due to post translational modifications, post translation cleavages, relative charges, and other experimental factors.

Description

1.0 mg/ml of antibody purified by Protein A Column. Prepared in 10mM PBS WITHOUT BSA & azide. Also available at 200 ug/ml WITH BSA & azide (NBP2-53141).

Antibody with azide - store at 2 to 8C. Antibody without azide - store at -20 to -80C.

Scientific Data Images for Glypican 3 Antibody (rGPC3/863) - Azide and BSA Free

Immunocytochemistry/ Immunofluorescence: Glypican 3 Antibody (rGPC3/863) - Azide and BSA Free [NBP2-54304]

Immunocytochemistry/ Immunofluorescence: Glypican 3 Antibody (rGPC3/863) - Azide and BSA Free [NBP2-54304]

Immunocytochemistry/Immunofluorescence: Glypican 3 Antibody (rGPC3/863) - Azide and BSA Free [NBP2-54304] - Immunofluorescence Analysis of MeOH-fixed HepG2 cells labeling Glypican-3 with followed by Goat anti-Mouse IgG-CF488 (Green). The nuclear counterstain is Red Dot (Red).
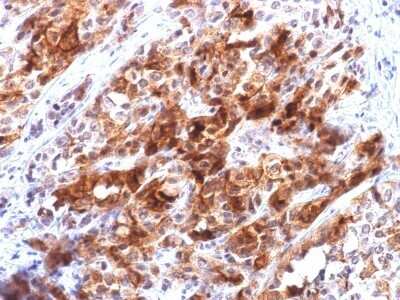
Immunohistochemistry-Paraffin: Glypican 3 Antibody (rGPC3/863) - Azide and BSA Free [NBP2-54304]

Immunohistochemistry-Paraffin: Glypican 3 Antibody (rGPC3/863) - Azide and BSA Free [NBP2-54304]

Immunohistochemistry-Paraffin: Glypican 3 Antibody (rGPC3/863) - Azide and BSA Free [NBP2-54304] - Formalin-fixed, paraffin-embedded human Hepatocellular Carcinoma stained with Glypican-3 Recombinant Mouse Monoclonal Antibody (rGPC3/863).
Flow Cytometry: Glypican 3 Antibody (rGPC3/863) - Azide and BSA Free [NBP2-54304]

Flow Cytometry: Glypican 3 Antibody (rGPC3/863) - Azide and BSA Free [NBP2-54304]

Flow Cytometry: Glypican 3 Antibody (rGPC3/863) - Azide and BSA Free [NBP2-54304] - Flow Cytometric Analysis of MeOH-fixed HepG2 cells using Glypican 3 Antibody (rGPC3/863).followed by Goat anti- Mouse- IgG-CF488 (Blue); Isotype Control (Red).

Applications for Glypican 3 Antibody (rGPC3/863) - Azide and BSA Free

Application
Recommended Usage

Flow Cytometry

0.5 - 1 ug/million cells

Immunocytochemistry/ Immunofluorescence

0.5 - 1 ug/ml

Immunohistochemistry-Paraffin

0.5 - 1.0 ug/ml
Application Notes
Immunohistochemistry (Formalin-fixed): 1-2ug/ml for 30 minutes at RT. Staining of formalin-fixed tissues requires heating tissue sections in 10mM Tris with 1mM EDTA, pH 9.0, for 45 min at 95C followed by cooling at RT for 20 minutes.
Optimal dilution for a specific application should be determined.

Formulation, Preparation, and Storage

Purification

Protein A purified

Formulation

10 mM PBS

Format

Azide and BSA Free

Preservative

No Preservative

Concentration

1 mg/ml

Shipping

The product is shipped with polar packs. Upon receipt, store it immediately at the temperature recommended below.

Stability & Storage

Store at -20 to -80C. Avoid freeze-thaw cycles.

Background: Glypican 3

The Glypican 3 (GPC3) gene encodes for a member of the glypican-related integral membrane proteoglycan family (GRIPS). Two isoforms of the protein exist, isoform 1 at a length of 580 amino acids long and 65 kDA while isoform 2 is 526 amino acids long at 59 kDA. The protein encoded by GPC3 is thought to prevent the dipeptidyl peptidase activity of DPP4 and may participate in the suppression and regulation of growth in the predominately mesodermal tissues and organs. The GPC3 gene participates in the Wnt signaling pathway, metabolism, and visual phototransduction through interactions with genes FGF2, WNT3A, WNT7B, BCAN, and BGN. GPC3 has been researched in various diseases such as paine syndrome, horner's sundrome, liver cirrhosis, simpson-golabi-behmel syndrome, germ cell tumors, wilms tumors, complex regional pain syndrome, and hepatocellulcar carcinoma.

Alternate Names

GPC3

Gene Symbol

GPC3

Additional Glypican 3 Products

Product Documents for Glypican 3 Antibody (rGPC3/863) - Azide and BSA Free

Certificate of Analysis

To download a Certificate of Analysis, please enter a lot number in the search box below.

Product Specific Notices for Glypican 3 Antibody (rGPC3/863) - Azide and BSA Free

This product is for research use only and is not approved for use in humans or in clinical diagnosis. Primary Antibodies are guaranteed for 1 year from date of receipt.

Loading...
Loading...
Loading...
Loading...
Loading...