GLXR5 Antibody - BSA Free
Novus Biologicals, part of Bio-Techne | Catalog # NBP1-89897
Key Product Details
Species Reactivity
Validated:
Human
Predicted:
Mouse (100%), Rat (99%). Backed by our 100% Guarantee.
Applications
Immunohistochemistry, Immunohistochemistry-Paraffin, Western Blot
Label
Unconjugated
Antibody Source
Polyclonal Rabbit IgG
Format
BSA Free
Concentration
Concentrations vary lot to lot. See vial label for concentration. If unlisted please contact technical services.
Product Specifications
Immunogen
This antibody was developed against Recombinant Protein corresponding to amino acids: LVKKDKVVVFLKGTPEQPQCGFSNAVVQILRLHGVRDYAAYNVLDDPELRQGIKDYSNWPTIPQVYLNGEFVGGCDILLQMHQNGDLV
Clonality
Polyclonal
Host
Rabbit
Isotype
IgG
Description
Novus Biologicals Rabbit GLXR5 Antibody - BSA Free (NBP1-89897) is a polyclonal antibody validated for use in IHC and WB. All Novus Biologicals antibodies are covered by our 100% guarantee.
Scientific Data Images for GLXR5 Antibody - BSA Free
Immunohistochemistry-Paraffin: GLXR5 Antibody - BSA Free [NBP1-89897]
Staining of human cerebellum shows strong granular cytoplasmic positivity in Purkinje cells.Immunohistochemistry-Paraffin: GLXR5 Antibody - BSA Free [NBP1-89897]
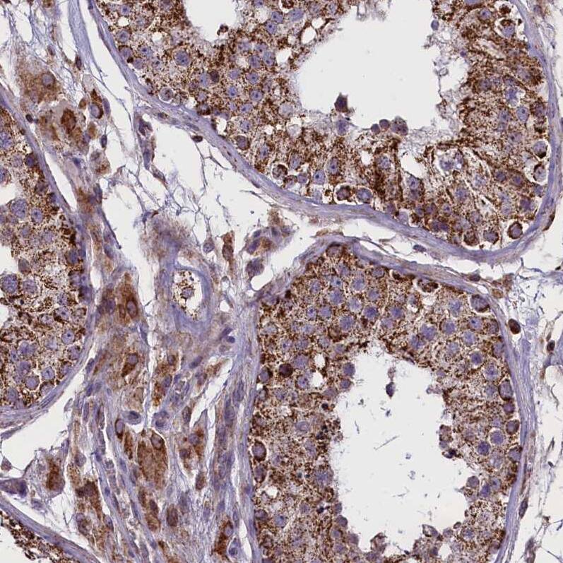
Staining of human testis shows strong granular cytoplasmic positivity in cells in seminiferous ducts and leydig cells.Immunohistochemistry-Paraffin: GLXR5 Antibody - BSA Free [NBP1-89897]
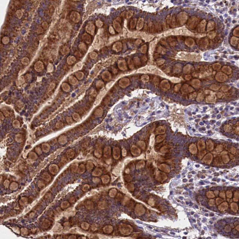
Staining of human colon shows strong granular cytoplasmic positivity in glandular cells.Applications for GLXR5 Antibody - BSA Free
Application
Recommended Usage
Immunohistochemistry
1:50 - 1:200
Immunohistochemistry-Paraffin
1:50 - 1:200
Western Blot
0.04-0.4 ug/ml
Application Notes
For IHC-Paraffin, HIER pH 6 retrieval is recommended.
Formulation, Preparation, and Storage
Purification
Immunogen affinity purified
Formulation
PBS (pH 7.2) and 40% Glycerol
Format
BSA Free
Preservative
0.02% Sodium Azide
Concentration
Concentrations vary lot to lot. See vial label for concentration. If unlisted please contact technical services.
Shipping
The product is shipped with polar packs. Upon receipt, store it immediately at the temperature recommended below.
Stability & Storage
Store at 4C short term. Aliquot and store at -20C long term. Avoid freeze-thaw cycles.
Background: GLXR5
Alternate Names
C14orf87chromosome 14 open reading frame 87, FLB4739, glutaredoxin 5, glutaredoxin 5 homolog, glutaredoxin 5 homolog (S. cerevisiae), glutaredoxin-related protein 5, mitochondrial, GRX5, MGC14129, Monothiol glutaredoxin-5, PR01238, PRO1238
Gene Symbol
GLRX5
Additional GLXR5 Products
Product Documents for GLXR5 Antibody - BSA Free
Product Specific Notices for GLXR5 Antibody - BSA Free
This product is for research use only and is not approved for use in humans or in clinical diagnosis. Primary Antibodies are guaranteed for 1 year from date of receipt.
Loading...
Loading...
Loading...
Loading...