Glutathione S-Transferase pi 1/GSTP1 Antibody - BSA Free
Novus Biologicals, part of Bio-Techne | Catalog # NBP1-76857
Conjugate
Catalog #
Key Product Details
Species Reactivity
Validated:
Human, Mouse, Rat
Predicted:
Bovine (93%). Backed by our 100% Guarantee.
Applications
Immunohistochemistry, Immunohistochemistry-Paraffin, Western Blot, ELISA, Immunocytochemistry/ Immunofluorescence
Label
Unconjugated
Antibody Source
Polyclonal Rabbit IgG
Format
BSA Free
Concentration
1 mg/ml
Product Specifications
Immunogen
Antibody was raised against a 14 amino acid synthetic peptide from near the center of human GSTP1. The immunogen is located within amino acids 90 - 140 of GSTP1. Amino Acid Squence: YTNYEAGKDDYVKA
Reactivity Notes
Immunogen displays the following percentage of sequence identity for non-tested species: Goat (86%), Pig (85%)
Clonality
Polyclonal
Host
Rabbit
Isotype
IgG
Description
Novus Biologicals Rabbit Glutathione S-Transferase pi 1/GSTP1 Antibody - BSA Free (NBP1-76857) is a polyclonal antibody validated for use in IHC, WB, ELISA and ICC/IF. All Novus Biologicals antibodies are covered by our 100% guarantee.
Scientific Data Images for Glutathione S-Transferase pi 1/GSTP1 Antibody - BSA Free
Western Blot: Glutathione S-Transferase pi 1/GSTP1 AntibodyBSA Free [NBP1-76857]
Western Blot: Glutathione S-Transferase pi 1/GSTP1 Antibody [NBP1-76857] - Jurkat cell lysate with GSTP1 antibody at (A) 0.5 and (B) 1 ug/mL.Immunohistochemistry: Glutathione S-Transferase pi 1/GSTP1 Antibody - BSA Free [NBP1-76857] -
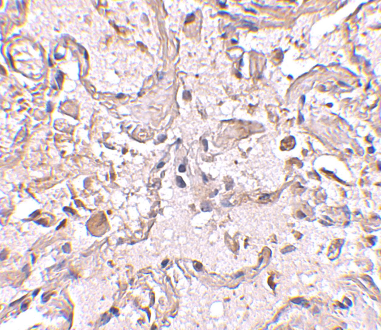
Immunohistochemistry: Glutathione S-Transferase pi 1/GSTP1 Antibody - BSA Free [NBP1-76857] - Immunohistochemical staining of human lung tissue using Glutathione S-Transferase pi 1/GSTP1 antibody at 2.5 ug/mL.Immunocytochemistry/ Immunofluorescence: Glutathione S-Transferase pi 1/GSTP1 Antibody - BSA Free [NBP1-76857] -
Immunocytochemistry/ Immunofluorescence: Glutathione S-Transferase pi 1/GSTP1 Antibody - BSA Free [NBP1-76857] - Immunofluorescence of Glutathione S-Transferase pi 1/GSTP1 in Human Lung cells with Glutathione S-Transferase pi 1/GSTP1 antibody at 20 ug/mL.Applications for Glutathione S-Transferase pi 1/GSTP1 Antibody - BSA Free
Application
Recommended Usage
ELISA
1:100-1:2000
Immunocytochemistry/ Immunofluorescence
20 ug/ml
Immunohistochemistry
2.5 ug/ml
Immunohistochemistry-Paraffin
2.5 ug/ml
Western Blot
0.5-1 ug/ml
Formulation, Preparation, and Storage
Purification
Peptide affinity purified
Formulation
PBS
Format
BSA Free
Preservative
0.02% Sodium Azide
Concentration
1 mg/ml
Shipping
The product is shipped with polar packs. Upon receipt, store it immediately at the temperature recommended below.
Stability & Storage
Store at 4C short term. Aliquot and store at -20C long term. Avoid freeze-thaw cycles.
Background: Glutathione S-Transferase pi 1/GSTP1
Alternate Names
DFN7, FAEES3, Glutathione STransferase pi 1, GSTP1
Gene Symbol
GSTP1
UniProt
Additional Glutathione S-Transferase pi 1/GSTP1 Products
Product Documents for Glutathione S-Transferase pi 1/GSTP1 Antibody - BSA Free
Product Specific Notices for Glutathione S-Transferase pi 1/GSTP1 Antibody - BSA Free
This product is for research use only and is not approved for use in humans or in clinical diagnosis. Primary Antibodies are guaranteed for 1 year from date of receipt.
Loading...
Loading...
Loading...
Loading...