Skip to main content

Glutathione S-Transferase pi 1/GSTP1 Antibody (11D5-R)

Novus Biologicals, part of Bio-Techne | Catalog # NBP3-32411

Recombinant Monoclonal Antibody
Novus Biologicals, part of Bio-Techne
Catalog #
Availability
Size / Price
Qty
Loading...
NBP3-32411

Key Product Details

Species Reactivity

Human

Applications

Immunohistochemistry, Immunohistochemistry-Paraffin, Western Blot, Immunocytochemistry/ Immunofluorescence

Label

Unconjugated

Antibody Source

Recombinant Monoclonal Mouse IgG1 Clone # 11D5-R expressed in HEK293

Concentration

1 mg/ml

Product Specifications

Immunogen

Recombinant protein within Human Glutathione S-Transferase pi 1/GSTP1 aa 1-183 / 210. (Uniprot: P09211)

Localization

Nucleus, Cytoplasm, Mitochondrion.

Clonality

Monoclonal

Host

Mouse

Isotype

IgG1

Theoretical MW

23 kDa.
Disclaimer note: The observed molecular weight of the protein may vary from the listed predicted molecular weight due to post translational modifications, post translation cleavages, relative charges, and other experimental factors.

Description

Novus Biologicals Mouse Glutathione S-Transferase pi 1/GSTP1 Antibody (11D5-R) (NBP3-32411) is a recombinant monoclonal antibody validated for use in IHC, WB and ICC/IF. All Novus Biologicals antibodies are covered by our 100% guarantee.

Scientific Data Images for Glutathione S-Transferase pi 1/GSTP1 Antibody (11D5-R)

Glutathione S-Transferase pi 1/GSTP1 Antibody (11D5-R)

Western Blot: Glutathione S-Transferase pi 1/GSTP1 Antibody (11D5-R) [NBP3-32411]

Western Blot: Glutathione S-Transferase pi 1/GSTP1 Antibody (11D5-R) [NBP3-32411] - Western blot analysis of Glutathione S-Transferase pi 1/GSTP1 on different lysates with Mouse anti-Glutathione S-Transferase pi 1/GSTP1 antibody (NBP3-32411) at 1/2,000 dilution.

Lane 1: HeLa cell lysate
Lane 2: HEK-293 cell lysate
Lane 3: MDA-MB-231 cell lysate
Lane 4: HT-29 cell lysate
Lane 5: Jurkat cell lysate
Lane 6: K-562 cell lysate
Lane 7: JAR cell lysate
Lane 8: Human brain tissue lysate
Lane 9: Human lung tissue lysate

Lysates/proteins at 20 ug/Lane.

Predicted band size: 23 kDa
Observed band size: 23 kDa

Exposure time: 1 minute 2 seconds;

4-20% SDS-PAGE gel.

Proteins were transferred to a PVDF membrane and blocked with 5% NFDM/TBST for 1 hour at room temperature. The primary antibody (NBP3-32411) at 1/2,000 dilution was used in 5% NFDM/TBST at 4 overnight. Anti-Mouse IgG for IP Nano-secondary antibody (NBI02H) at 1/5,000 dilution was used for 1 hour at room temperature.
Glutathione S-Transferase pi 1/GSTP1 Antibody (11D5-R)

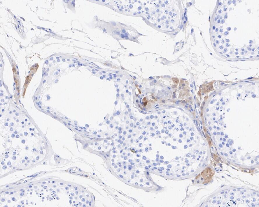
Immunohistochemistry: Glutathione S-Transferase pi 1/GSTP1 Antibody (11D5-R) [NBP3-32411]

Immunohistochemistry: Glutathione S-Transferase pi 1/GSTP1 Antibody (11D5-R) [NBP3-32411] - Immunohistochemical analysis of paraffin-embedded human testis tissue with Mouse anti-Glutathione S-Transferase pi 1/GSTP1 antibody (NBP3-32411) at 1/5,000 dilution.

The section was pre-treated using heat mediated antigen retrieval with Tris-EDTA buffer (pH 9.0) for 20 minutes. The tissues were blocked in 1% BSA for 20 minutes at room temperature, washed with ddH2O and PBS, and then probed with the primary antibody (NBP3-32411) at 1/5,000 dilution for 1 hour at room temperature. The detection was performed using an HRP conjugated compact polymer system. DAB was used as the chromogen. Tissues were counterstained with hematoxylin and mounted with DPX.
Glutathione S-Transferase pi 1/GSTP1 Antibody (11D5-R)

Immunocytochemistry/ Immunofluorescence: Glutathione S-Transferase pi 1/GSTP1 Antibody (11D5-R) [NBP3-32411]

Immunocytochemistry/ Immunofluorescence: Glutathione S-Transferase pi 1/GSTP1 Antibody (11D5-R) [NBP3-32411] - Immunocytochemistry analysis of HT-29 cells labeling Glutathione S-Transferase pi 1/GSTP1 with Mouse anti-Glutathione S-Transferase pi 1/GSTP1 antibody (NBP3-32411) at 1/100 dilution.

Cells were fixed in 4% paraformaldehyde for 20 minutes at room temperature, permeabilized with 0.1% Triton X-100 in PBS for 5 minutes at room temperature, then blocked with 1% BSA in 10% negative goat serum for 1 hour at room temperature. Cells were then incubated with Mouse anti-Glutathione S-Transferase pi 1/GSTP1 antibody (NBP3-32411) at 1/100 dilution in 1% BSA in PBST overnight at 4 ℃. Goat Anti-Mouse IgG H&L (iFluor™ 488) was used as the secondary antibody at 1/1,000 dilution. PBS instead of the primary antibody was used as the secondary antibody only control. Nuclear DNA was labelled in blue with DAPI.

beta Tubulin (red) was stained at 1/100 dilution overnight at +4℃. Goat Anti-Rabbit IgG H&L (iFluor™ 594) were used as the secondary antibody at 1/1,000 dilution.

Applications for Glutathione S-Transferase pi 1/GSTP1 Antibody (11D5-R)

Application
Recommended Usage

Immunocytochemistry/ Immunofluorescence

1:100

Immunohistochemistry-Paraffin

1:5000

Western Blot

1:2000

Formulation, Preparation, and Storage

Purification

Protein A purified

Formulation

PBS (pH7.4), 0.1% BSA and 40% Glycerol

Preservative

0.05% Sodium Azide

Concentration

1 mg/ml

Shipping

The product is shipped with polar packs. Upon receipt, store it immediately at the temperature recommended below.

Stability & Storage

Store at 4C short term. Aliquot and store at -20C long term. Avoid freeze-thaw cycles.

Background: Glutathione S-Transferase pi 1/GSTP1

GSTP1 (glutathione-S-transferase, pi 1), also called GST3/DFN7, which is located on chromosome 11q13 , is a family of enzymes that play an important role in detoxification by catalyzing the conjugation of many hydrophobic and electrophilic compounds with reduced glutathione. GSTP1 act like a tumor suppressor gene, which when inactivated leads to tumor growth, and the -class glutathione S-transferase is commonly inactivated by somatic CpGisland hypermethylation in cancers of the prostate, liver, and breast. Methylation of regulatory sequences at the GSTP1 gene locus is found in the vast majority (>90%) of prostate carcinomas and is associated with transcriptional down-regulation.

Alternate Names

DFN7, FAEES3, Glutathione STransferase pi 1, GSTP1

Gene Symbol

GSTP1

Additional Glutathione S-Transferase pi 1/GSTP1 Products

Product Documents for Glutathione S-Transferase pi 1/GSTP1 Antibody (11D5-R)

Certificate of Analysis

To download a Certificate of Analysis, please enter a lot number in the search box below.

Product Specific Notices for Glutathione S-Transferase pi 1/GSTP1 Antibody (11D5-R)

This product is for research use only and is not approved for use in humans or in clinical diagnosis. Primary Antibodies are guaranteed for 1 year from date of receipt.

Loading...
Loading...
Loading...
Loading...