Glutathione Peroxidase 7 Antibody - BSA Free
Novus Biologicals, part of Bio-Techne | Catalog # NBP1-31474
Key Product Details
Species Reactivity
Validated:
Human, Mouse
Predicted:
Bovine (96%), Primate (100%), Rabbit (91%), Rat (92%), Rhesus Macaque (99%). Backed by our 100% Guarantee.
Applications
Immunohistochemistry, Immunohistochemistry-Paraffin, Western Blot
Label
Unconjugated
Antibody Source
Polyclonal Rabbit IgG
Format
BSA Free
Concentration
Concentrations vary lot to lot. See vial label for concentration. If unlisted please contact technical services.
Product Specifications
Immunogen
Recombinant protein encompassing a sequence within the center region of human Glutathione Peroxidase 7. The exact sequence is proprietary.
Reactivity Notes
Chimpanzee (100%), Chicken (80%).
Localization
Secreted
Clonality
Polyclonal
Host
Rabbit
Isotype
IgG
Theoretical MW
21 kDa.
Disclaimer note: The observed molecular weight of the protein may vary from the listed predicted molecular weight due to post translational modifications, post translation cleavages, relative charges, and other experimental factors.
Disclaimer note: The observed molecular weight of the protein may vary from the listed predicted molecular weight due to post translational modifications, post translation cleavages, relative charges, and other experimental factors.
Scientific Data Images for Glutathione Peroxidase 7 Antibody - BSA Free
Western Blot: Glutathione Peroxidase 7 Antibody [NBP1-31474]
Western Blot: Glutathione Peroxidase 7 Antibody [NBP1-31474] - Analysis of GPX7 expression in transfected 293T cell line by GPX7 polyclonal antibody. A: Non-transfected lysate. B: GPX7 transfected lysate. 12% SDS PAGE, antibody diluted at 1:500.Immunohistochemistry-Paraffin: Glutathione Peroxidase 7 Antibody [NBP1-31474]
Immunohistochemistry-Paraffin: Glutathione Peroxidase 7 Antibody [NBP1-31474] - Mouse esophagus. GPX7 antibody [N1C3] diluted at 1:500. Antigen Retrieval: Trilogy™ (EDTA based, pH 8.0) buffer, 15minImmunohistochemistry-Paraffin: Glutathione Peroxidase 7 Antibody [NBP1-31474]
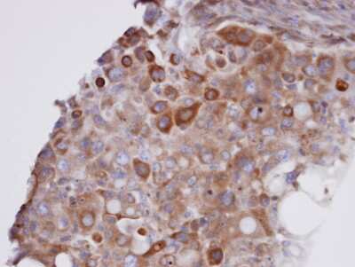
Immunohistochemistry-Paraffin: Glutathione Peroxidase 7 Antibody [NBP1-31474] - H441 xenograft, using GPX7 antibody at 1:100 dilution. Antigen Retrieval: Trilogy™ (EDTA based, pH 8.0) buffer, 15minApplications for Glutathione Peroxidase 7 Antibody - BSA Free
Application
Recommended Usage
Immunohistochemistry
1:100-1:1000
Immunohistochemistry-Paraffin
1:100-1:1000
Western Blot
1:500-1:3000
Formulation, Preparation, and Storage
Purification
Antigen Affinity-purified
Formulation
0.1M Tris, 0.1M Glycine, 10% Glycerol
Format
BSA Free
Preservative
0.01% Thimerosal
Concentration
Concentrations vary lot to lot. See vial label for concentration. If unlisted please contact technical services.
Shipping
The product is shipped with polar packs. Upon receipt, store it immediately at the temperature recommended below.
Stability & Storage
Aliquot and store at -20C or -80C. Avoid freeze-thaw cycles.
Background: Glutathione Peroxidase 7
Alternate Names
CL683, EC 1.11.1, FLJ14777, glutathione peroxidase 6, glutathione peroxidase 7, GPX6EC 1.11.1.9, GPx-7, GSHPx-7, non-selenocysteine containing phospholipid hydroperoxide glutathione peroxidase, NPGPx
Gene Symbol
GPX7
Additional Glutathione Peroxidase 7 Products
Product Documents for Glutathione Peroxidase 7 Antibody - BSA Free
Product Specific Notices for Glutathione Peroxidase 7 Antibody - BSA Free
This product is for research use only and is not approved for use in humans or in clinical diagnosis. Primary Antibodies are guaranteed for 1 year from date of receipt.
Loading...
Loading...
Loading...
Loading...
⚠ WARNING: This product can expose you to chemicals including mercury, which is known to the State of California to cause reproductive toxicity with developmental effects. For more information go to www.P65Warnings.ca.gov.