Skip to main content

Glutathione Peroxidase 2/GPX2 Antibody - BSA Free

Novus Biologicals, part of Bio-Techne | Catalog # NBP1-32002

Novus Biologicals, part of Bio-Techne
Catalog #
Availability
Size / Price
Qty
Loading...
NBP1-32002

Key Product Details

Validated by

Knockout/Knockdown, Orthogonal Validation

Species Reactivity

Validated:

Human, Mouse, Rat

Predicted:

Bovine (100%), Canine (100%), Chimpanzee (100%), Porcine (100%), Rhesus Macaque (100%). Backed by our 100% Guarantee.

Applications

Immunohistochemistry, Immunohistochemistry-Paraffin, Western Blot, Immunocytochemistry/ Immunofluorescence, Immunoprecipitation

Label

Unconjugated

Antibody Source

Polyclonal Rabbit IgG

Format

BSA Free

Concentration

Concentrations vary lot to lot. See vial label for concentration. If unlisted please contact technical services.

Product Specifications

Immunogen

Carrier-protein conjugated synthetic peptide encompassing a sequence within the C-terminus region of human Glutathione Peroxidase 2/GPX2. The exact sequence is proprietary.

Localization

Cytoplasm

Clonality

Polyclonal

Host

Rabbit

Isotype

IgG

Theoretical MW

22 kDa.
Disclaimer note: The observed molecular weight of the protein may vary from the listed predicted molecular weight due to post translational modifications, post translation cleavages, relative charges, and other experimental factors.

Scientific Data Images for Glutathione Peroxidase 2/GPX2 Antibody - BSA Free

Western Blot: Glutathione Peroxidase 2/GPX2 Antibody [NBP1-32002]

Western Blot: Glutathione Peroxidase 2/GPX2 Antibody [NBP1-32002]

Western Blot: Glutathione Peroxidase 2/GPX2 Antibody [NBP1-32002] - Glutathione Peroxidase 2/GPX2 antibody detects GPX2 protein by Western blot analysis. Mouse tissue extracts (50 ug) was separated by 12 % SDS-PAGE, and blotted with Glutathione Peroxidase 2/GPX2 antibody diluted by 1:500
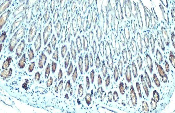
Immunohistochemistry-Paraffin: Glutathione Peroxidase 2/GPX2 Antibody [NBP1-32002]

Immunohistochemistry-Paraffin: Glutathione Peroxidase 2/GPX2 Antibody [NBP1-32002]

Immunohistochemistry-Paraffin: Glutathione Peroxidase 2/GPX2 Antibody [NBP1-32002] - Human gastric cancer, using antibody at 1:500 dilution. Antigen Retrieval: Trilogy™ (EDTA based, pH 8.0) buffer, 15min
Immunoprecipitation: Glutathione Peroxidase 2/GPX2 Antibody [NBP1-32002]

Immunoprecipitation: Glutathione Peroxidase 2/GPX2 Antibody [NBP1-32002]

Immunoprecipitation: Glutathione Peroxidase 2/GPX2 Antibody [NBP1-32002] - Immunoprecipitation of GPX2 protein from HepG2 whole cell extracts using 5 ug of GPX2 antibody [C1C3] . Western blot analysis was performed using GPX2 antibody [C1C3]. EasyBlot anti-Rabbit IgG was used as a secondary reagent.

Applications for Glutathione Peroxidase 2/GPX2 Antibody - BSA Free

Application
Recommended Usage

Immunocytochemistry/ Immunofluorescence

Assay dependent

Immunohistochemistry

1:100-1:1000

Immunohistochemistry-Paraffin

1:100-1:1000

Immunoprecipitation

1:100-1:500

Western Blot

1:500-1:10000

Formulation, Preparation, and Storage

Purification

Antigen Affinity-purified

Formulation

PBS, 20% Glycerol

Format

BSA Free

Preservative

0.025% Proclin 300

Concentration

Concentrations vary lot to lot. See vial label for concentration. If unlisted please contact technical services.

Shipping

The product is shipped with polar packs. Upon receipt, store it immediately at the temperature recommended below.

Stability & Storage

Aliquot and store at -20C or -80C. Avoid freeze-thaw cycles.

Background: Glutathione Peroxidase 2/GPX2

This gene is a member of the glutathione peroxidase family and encodes a selenium-dependent glutathione peroxidase that is one of two isoenzymes responsible for the majority of the glutathione-dependent hydrogen peroxide-reducing activity in the epithelium of the gastrointestinal tract. Studies in knockout mice indicate that mRNA expression levels respond to luminal microflora, suggesting a role of the ileal glutathione peroxidases in preventing inflammation in the GI tract.

Alternate Names

GIGPX, GPRP, GPX2

Gene Symbol

GPX2

Additional Glutathione Peroxidase 2/GPX2 Products

Product Documents for Glutathione Peroxidase 2/GPX2 Antibody - BSA Free

Certificate of Analysis

To download a Certificate of Analysis, please enter a lot number in the search box below.

Product Specific Notices for Glutathione Peroxidase 2/GPX2 Antibody - BSA Free

This product is for research use only and is not approved for use in humans or in clinical diagnosis. Primary Antibodies are guaranteed for 1 year from date of receipt.

Loading...
Loading...
Loading...
Loading...

⚠ WARNING: This product can expose you to chemicals including mercury, which is known to the State of California to cause reproductive toxicity with developmental effects.  For more information go to www.P65Warnings.ca.gov.