Skip to main content

Glutathione Peroxidase 2/GPX2 Antibody (HL125) - Azide and BSA Free

Novus Biologicals, part of Bio-Techne | Catalog # NBP3-13662

Recombinant Monoclonal Antibody
Novus Biologicals, part of Bio-Techne
Catalog #
Availability
Size / Price
Qty
Loading...
NBP3-13662

Key Product Details

Validated by

Knockout/Knockdown

Species Reactivity

Human, Mouse, Rat

Applications

Immunohistochemistry, Immunohistochemistry-Paraffin, Western Blot

Label

Unconjugated

Antibody Source

Recombinant Monoclonal Rabbit IgG Clone # HL125 expressed in HEK293

Format

Azide and BSA Free

Concentration

Concentrations vary lot to lot. See vial label for concentration. If unlisted please contact technical services.

Product Specifications

Immunogen

Carrier-protein conjugated synthetic peptide encompassing a sequence within the C-terminus region of human Glutathione Peroxidase 2/GPX2. The exact sequence is proprietary.

Clonality

Monoclonal

Host

Rabbit

Isotype

IgG

Description

Centrifuge briefly prior to opening.

Scientific Data Images for Glutathione Peroxidase 2/GPX2 Antibody (HL125) - Azide and BSA Free

Western Blot: Glutathione Peroxidase 2/GPX2 Antibody (HL125) [NBP3-13662]

Western Blot: Glutathione Peroxidase 2/GPX2 Antibody (HL125) [NBP3-13662]

Western Blot: Glutathione Peroxidase 2/GPX2 Antibody (HL125) [NBP3-13662] - Various tissue extracts (50 ug) were separated by 12% SDS-PAGE, and the membrane was blotted with Glutathione Peroxidase 2/GPX2 antibody [HL125] (NBP3-13662) diluted at 1:1000. The HRP-conjugated anti-rabbit IgG antibody (NBP2-19301) was used to detect the primary antibody.
Immunohistochemistry-Paraffin: Glutathione Peroxidase 2/GPX2 Antibody (HL125) [NBP3-13662]

Immunohistochemistry-Paraffin: Glutathione Peroxidase 2/GPX2 Antibody (HL125) [NBP3-13662]

Immunohistochemistry-Paraffin: Glutathione Peroxidase 2/GPX2 Antibody (HL125) [NBP3-13662] - Glutathione Peroxidase 2/GPX2 antibody [HL125] detects Glutathione Peroxidase 2/GPX2 protein at cytoplasm by immunohistochemical analysis. Sample: Paraffin-embedded mouse colon. Glutathione Peroxidase 2/GPX2 stained by Glutathione Peroxidase 2/GPX2 antibody [HL125] (NBP3-13662) diluted at 1:200. Antigen Retrieval: Citrate buffer, pH 6.0, 15 min
Glutathione Peroxidase 2/GPX2 Antibody (HL125)

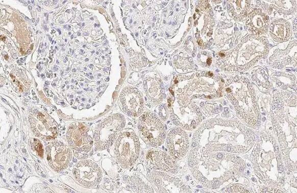
Immunohistochemistry-Paraffin: Glutathione Peroxidase 2/GPX2 Antibody (HL125) [NBP3-13662] -

Immunohistochemistry-Paraffin: Glutathione Peroxidase 2/GPX2 Antibody (HL125) [NBP3-13662] - Glutathione Peroxidase 2/GPX2 antibody [HL125] detects Glutathione Peroxidase 2/GPX2 protein at cytoplasm by immunohistochemical analysis.
Sample: Paraffin-embedded dog kidney.
Glutathione Peroxidase 2/GPX2 stained by Glutathione Peroxidase 2/GPX2 antibody [HL125] (NBP3-13662) diluted at 1:100.
Antigen Retrieval: Citrate buffer, pH 6.0, 15 min

Applications for Glutathione Peroxidase 2/GPX2 Antibody (HL125) - Azide and BSA Free

Application
Recommended Usage

Immunohistochemistry

Optimal dilutions of this antibody should be experimentally determined.

Immunohistochemistry-Paraffin

Optimal dilutions of this antibody should be experimentally determined.

Western Blot

Optimal dilutions of this antibody should be experimentally determined.

Formulation, Preparation, and Storage

Purification

Protein A purified

Formulation

PBS

Format

Azide and BSA Free

Preservative

No Preservative

Concentration

Concentrations vary lot to lot. See vial label for concentration. If unlisted please contact technical services.

Shipping

The product is shipped with polar packs. Upon receipt, store it immediately at the temperature recommended below.

Stability & Storage

Store at 4C short term. Aliquot and store at -20C long term. Avoid freeze-thaw cycles.

Background: Glutathione Peroxidase 2/GPX2

Glutathione Peroxidase 2 is a member of the glutathione peroxidase family and encodes a selenium-dependent glutathione peroxidase that is one of two isoenzymes responsible for the majority of the glutathione-dependent hydrogen peroxide-reducing activity in the epithelium of the gastrointestinal tract. Studies in knockout mice indicate that mRNA expression levels respond to luminal microflora, suggesting a role of the ileal glutathione peroxidases in preventing inflammation in the GI tract.

Alternate Names

GIGPX, GPRP, GPX2

Gene Symbol

GPX2

Additional Glutathione Peroxidase 2/GPX2 Products

Product Documents for Glutathione Peroxidase 2/GPX2 Antibody (HL125) - Azide and BSA Free

Certificate of Analysis

To download a Certificate of Analysis, please enter a lot number in the search box below.

Product Specific Notices for Glutathione Peroxidase 2/GPX2 Antibody (HL125) - Azide and BSA Free

This product is for research use only and is not approved for use in humans or in clinical diagnosis. Primary Antibodies are guaranteed for 1 year from date of receipt.

Loading...
Loading...
Loading...
Loading...