Skip to main content

Glutaminase Antibody (3211) - Azide and BSA Free

Novus Biologicals, part of Bio-Techne | Catalog # NBP2-43762

Novus Biologicals, part of Bio-Techne
Catalog #
Availability
Size / Price
Qty
Loading...
NBP2-43762

Key Product Details

Species Reactivity

Validated:

Human, Mouse

Cited:

Mouse, Rat, Porcine, Bovine, Ovine

Predicted:

Bovine (100%). Backed by our 100% Guarantee.

Applications

Validated:

Immunohistochemistry, Immunohistochemistry-Paraffin, Western Blot, Immunocytochemistry/ Immunofluorescence

Cited:

Western Blot, Immunocytochemistry/ Immunofluorescence

Label

Unconjugated

Antibody Source

Monoclonal Mouse IgG1 Clone # 3211

Format

Azide and BSA Free

Concentration

Concentrations vary lot to lot. See vial label for concentration. If unlisted please contact technical services.

Product Specifications

Immunogen

Carrier-protein conjugated synthetic peptide encompassing a sequence within the C-terminus region of human Glutaminase (GAC). The exact sequence is proprietary.

Specificity

Specific for GAC but not KGA isoform.

Clonality

Monoclonal

Host

Mouse

Isotype

IgG1

Theoretical MW

65 kDa.
Disclaimer note: The observed molecular weight of the protein may vary from the listed predicted molecular weight due to post translational modifications, post translation cleavages, relative charges, and other experimental factors.

Description

Novus Biologicals Mouse Glutaminase Antibody (3211) - Azide and BSA Free (NBP2-43762) is a monoclonal antibody validated for use in IHC, WB and ICC/IF. Anti-Glutaminase Antibody: Cited in 3 publications. All Novus Biologicals antibodies are covered by our 100% guarantee.

Scientific Data Images for Glutaminase Antibody (3211) - Azide and BSA Free

Western Blot: Glutaminase Antibody (3211) [NBP2-43762]

Western Blot: Glutaminase Antibody (3211) [NBP2-43762]

Western Blot: Glutaminase Antibody (3211) [NBP2-43762] - Analysis of various whole cell extracts (30 ug) were separated by 7.5% SDS-PAGE, and the membrane was blotted with Glutaminase C (GAC) antibody [3211] diluted at a dilution of 1:1000.
Glutaminase Antibody (3211) - Azide and BSA Free

Immunocytochemistry/ Immunofluorescence: Glutaminase Antibody (3211) [NBP2-43762] -

Glutaminase C antibody [GT3211] detects Glutaminase C protein at mitochondria by immunofluorescent analysis.
Sample: A549 cells were fixed in 4% paraformaldehyde at RT for 15 min.
Green: Glutaminase C protein stained by Glutaminase C antibody [GT3211] (NBP2-43762) diluted at 1:200.
Blue: Hoechst 33342 staining.
Scale bar = 10 um.
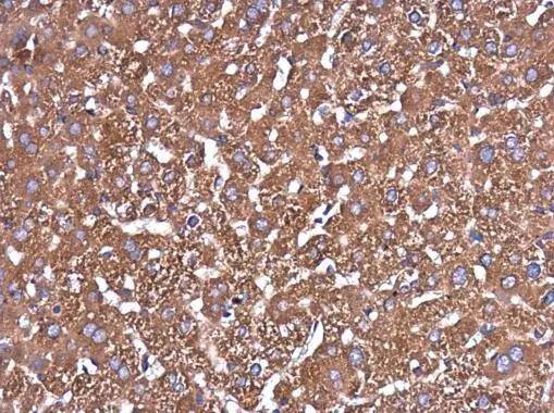
Glutaminase Antibody (3211) - Azide and BSA Free

Immunohistochemistry-Paraffin: Glutaminase Antibody (3211) [NBP2-43762] -

Glutaminase C antibody [GT3211] detects Glutaminase C protein at cytoplasm in mouse liver by immunohistochemical analysis.
Sample: Paraffin-embedded mouse liver.
Glutaminase C antibody [GT3211] (NBP2-43762) diluted at 1:250.

Antigen Retrieval: Citrate buffer, pH 6.0, 15 min

Applications for Glutaminase Antibody (3211) - Azide and BSA Free

Application
Recommended Usage

Immunocytochemistry/ Immunofluorescence

1:100-1:1000

Immunohistochemistry

1:100-1:1000

Immunohistochemistry-Paraffin

1:100-1:1000

Western Blot

1:500-1:3000

Formulation, Preparation, and Storage

Purification

Protein G purified

Formulation

PBS

Format

Azide and BSA Free

Preservative

No Preservative

Concentration

Concentrations vary lot to lot. See vial label for concentration. If unlisted please contact technical services.

Shipping

The product is shipped with polar packs. Upon receipt, store it immediately at the temperature recommended below.

Stability & Storage

Aliquot and store at -20C or -80C. Avoid freeze-thaw cycles.

Background: Glutaminase

Sahai (1983) [PubMed 6825316] demonstrated phosphate-activated glutaminase (EC 3.5.1.2) in human platelets. It is the major enzyme yielding glutamate from glutamine. Significance of the enzyme derives from its possible implication in behavior disturbances in which glutamate acts as a neurotransmitter (Prusiner, 1981). High heritability of platelet glutaminase was indicated by studies of Sahai and Vogel (1983) [PubMed 6682827] who found an intraclass correlation coefficient of 0.96 for monozygotic twins and 0.53 for dizygotic twins.[supplied by OMIM]

Long Name

Glutaminase Kidney Isoform, Mitochondrial

Alternate Names

GLS, K-Glutaminase, L-Glutamine Amidohydrolase

Gene Symbol

GLS

Additional Glutaminase Products

Product Documents for Glutaminase Antibody (3211) - Azide and BSA Free

Certificate of Analysis

To download a Certificate of Analysis, please enter a lot number in the search box below.

Product Specific Notices for Glutaminase Antibody (3211) - Azide and BSA Free

This product is for research use only and is not approved for use in humans or in clinical diagnosis. Primary Antibodies are guaranteed for 1 year from date of receipt.

Loading...
Loading...
Loading...
Loading...
Loading...