Skip to main content

Glutamate Receptor 6 Antibody (4B4L9)

Novus Biologicals, part of Bio-Techne | Catalog # NBP3-16867

Recombinant Monoclonal Antibody
Novus Biologicals, part of Bio-Techne
Catalog #
Availability
Size / Price
Qty
Loading...
NBP3-16867-100ul
NBP3-16867-20ul

Key Product Details

Species Reactivity

Human, Mouse, Rat

Applications

Immunohistochemistry, Immunohistochemistry-Paraffin, Western Blot, ELISA

Label

Unconjugated

Antibody Source

Recombinant Monoclonal Rabbit IgG Clone # 4B4L9 expressed in HEK293

Concentration

Please see the vial label for concentration. If unlisted please contact technical services.

Product Specifications

Immunogen

A synthetic peptide corresponding to a sequence within amino acids 50-150 of human Glutamate Receptor 6 (Q13002). MGAEELAFRFAVNTINRNRTLLPNTTLTYDTQKINLYDSFEASKKACDQLSLGVAAIFGPSHSSSANAVQSICNALGVPHIQTRWKHQVSDNKDSFYVSLY

Clonality

Monoclonal

Host

Rabbit

Isotype

IgG

Theoretical MW

103 kDa.
Disclaimer note: The observed molecular weight of the protein may vary from the listed predicted molecular weight due to post translational modifications, post translation cleavages, relative charges, and other experimental factors.

Description

Novus Biologicals Rabbit Glutamate Receptor 6 Antibody (4B4L9) (NBP3-16867) is a recombinant monoclonal antibody validated for use in IHC, WB and ELISA. All Novus Biologicals antibodies are covered by our 100% guarantee.

Scientific Data Images for Glutamate Receptor 6 Antibody (4B4L9)

Western Blot: Glutamate Receptor 6 Antibody (4B4L9) [NBP3-16867]

Western Blot: Glutamate Receptor 6 Antibody (4B4L9) [NBP3-16867]

Western Blot: Glutamate Receptor 6 Antibody (4B4L9) [NBP3-16867] - Western blot analysis of extracts of Mouse brain, using Glutamate Receptor 6 Rabbit mAb (NBP3-16867) at 1:1000 dilution. Secondary antibody: HRP Goat Anti-Rabbit IgG (H+L) at 1:10000 dilution. Lysates/proteins: 25ug per lane. Blocking buffer: 3% nonfat dry milk in TBST. Detection: ECL Basic Kit. Exposure time: 10s.
Western Blot: Glutamate Receptor 6 Antibody (4B4L9) [NBP3-16867]

Western Blot: Glutamate Receptor 6 Antibody (4B4L9) [NBP3-16867]

Western Blot: Glutamate Receptor 6 Antibody (4B4L9) [NBP3-16867] - Western blot analysis of extracts of 293T cells, using Glutamate Receptor 6 Rabbit mAb (NBP3-16867) at 1:1000 dilution. Secondary antibody: HRP Goat Anti-Rabbit IgG (H+L) at 1:10000 dilution. Lysates/proteins: 25ug per lane. Blocking buffer: 3% nonfat dry milk in TBST. Detection: ECL Basic Kit. Exposure time: 30s.
Glutamate Receptor 6 Antibody (4B4L9)

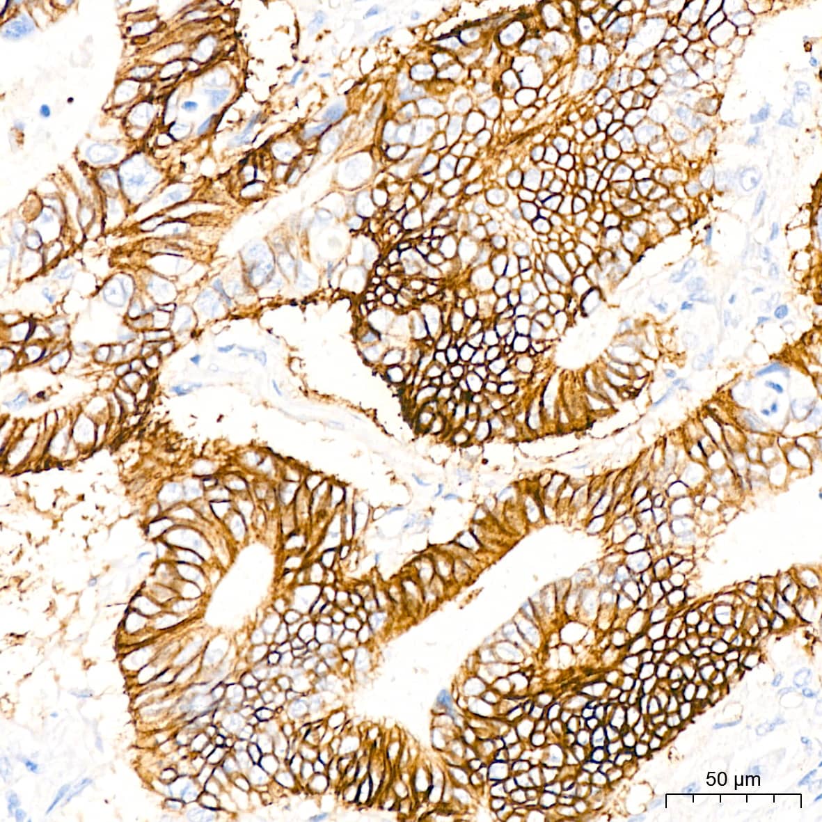
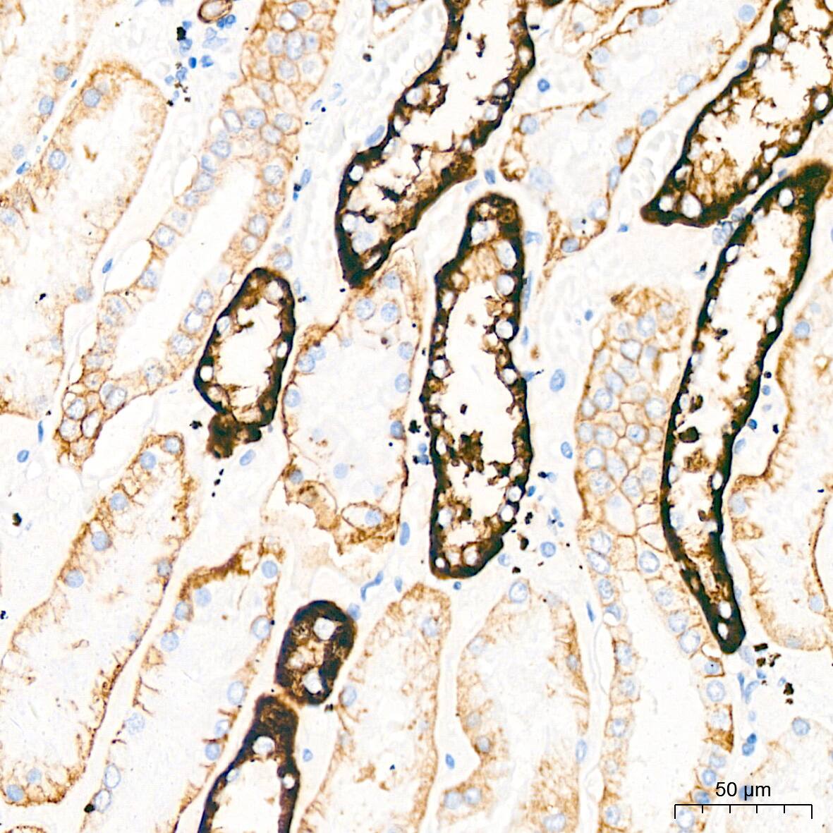
Immunohistochemistry: Glutamate Receptor 6 Antibody (4B4L9) [NBP3-16867] -

Immunohistochemistry: Glutamate Receptor 6 Antibody (4B4L9) [NBP3-16867] - Immunohistochemistry analysis of Glutamate Receptor 6 in paraffin-embedded human colon carcinoma tissue using Glutamate Receptor 6 Rabbit mAb at a dilution of 1:200 (40x lens).High pressure antigen retrieval was performed with 0.01 M citrate buffer (pH 6.0) prior to IHC staining.

Applications for Glutamate Receptor 6 Antibody (4B4L9)

Application
Recommended Usage

Immunohistochemistry

1:50 - 1:200

Western Blot

1:500 - 1:1000

Formulation, Preparation, and Storage

Purification

Affinity purified

Formulation

PBS (pH 7.3), 50% glycerol, 0.05% BSA

Preservative

0.02% Sodium Azide

Concentration

Please see the vial label for concentration. If unlisted please contact technical services.

Shipping

The product is shipped with polar packs. Upon receipt, store it immediately at the temperature recommended below.

Stability & Storage

Store at -20C. Avoid freeze-thaw cycles.

Background: GluR6/GRIK2

Glutamate receptors mediate most excitatory neurotransmission in the brain and play an important role in neural plasticity, neural development and neurodegeneration. Ionotropic glutamate receptors are categorized into NMDA receptors and kainate/AMPA receptors, both of which contain glutamategated, caution-specific ion channels. Kainate/AMPA receptors are co-localized with NMDA receptors in many synapses and consist of seven structurally related subunits designated GluR-1 to -7. The kainate/AMPA receptors are primarily responsible for the fast excitatory neuro-transmission by glutamate, whereas the NMDA receptors are functionally characterized by a slow kinetic and a high permeability for Ca2+ ions. The NMDA receptors consist of five subunits: epsilion 1, 2, 3, 4 and one zeta subunit. The zeta subunit is expressed throughout the brain stem, whereas the four epsilon subunits display limited distribution.

Long Name

Glutamate Receptor 6

Alternate Names

EAA4, GLR6, GluK2, GLUK6, MRT6

Gene Symbol

GRIK2

Additional GluR6/GRIK2 Products

Product Documents for Glutamate Receptor 6 Antibody (4B4L9)

Certificate of Analysis

To download a Certificate of Analysis, please enter a lot number in the search box below.

Product Specific Notices for Glutamate Receptor 6 Antibody (4B4L9)

This product is for research use only and is not approved for use in humans or in clinical diagnosis. Primary Antibodies are guaranteed for 1 year from date of receipt.

Loading...
Loading...
Loading...
Loading...