Skip to main content

Glutamate Dehydrogenase Antibody - BSA Free

Novus Biologicals, part of Bio-Techne | Catalog # NBP2-54715

Novus Biologicals, part of Bio-Techne
Catalog #
Availability
Size / Price
Qty
Loading...
NBP2-54715
NBP2-54715-25ul

Key Product Details

Species Reactivity

Validated:

Human

Predicted:

Mouse (96%), Rat (96%). Backed by our 100% Guarantee.

Applications

Immunocytochemistry/ Immunofluorescence, Immunohistochemistry, Immunohistochemistry-Paraffin, Western Blot

Label

Unconjugated

Antibody Source

Polyclonal Rabbit IgG

Format

BSA Free

Concentration

Concentrations vary lot to lot. See vial label for concentration. If unlisted please contact technical services.

Product Specifications

Immunogen

This antibody was developed against a Recombinant Protein corresponding to amino acids: TFVVQGFGNVGLHSMRYLHRFGAKCIAVGESDGSIWNPDGIDPKELEDFKLQHGSILGFPKAKPYEGSIL

Clonality

Polyclonal

Host

Rabbit

Isotype

IgG

Description

Novus Biologicals Rabbit Glutamate Dehydrogenase Antibody - BSA Free (NBP2-54715) is a polyclonal antibody validated for use in IHC, WB and ICC/IF. All Novus Biologicals antibodies are covered by our 100% guarantee.

Scientific Data Images for Glutamate Dehydrogenase Antibody - BSA Free

Western Blot: Glutamate Dehydrogenase Antibody [NBP2-54715]

Western Blot: Glutamate Dehydrogenase Antibody [NBP2-54715]

Western Blot: Glutamate Dehydrogenase Antibody [NBP2-54715] - Lane 1: Marker [kDa] 250, 130, 95, 72, 55, 36, 28, 17, 10 Lane 2: Human cell line RT-4 Lane 3: Human cell line U-251 MG Lane 4: Human plasma Lane 5: Human Liver tissue Lane 6: Human Tonsil tissue
Immunocytochemistry/ Immunofluorescence: Glutamate Dehydrogenase Antibody [NBP2-54715]

Immunocytochemistry/ Immunofluorescence: Glutamate Dehydrogenase Antibody [NBP2-54715]

Immunocytochemistry/Immunofluorescence: Glutamate Dehydrogenase Antibody [NBP2-54715] - Staining of human cell line A-431 shows localization to mitochondria.
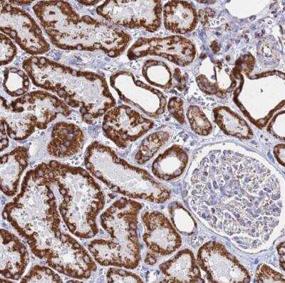
Immunohistochemistry-Paraffin: Glutamate Dehydrogenase Antibody [NBP2-54715]

Immunohistochemistry-Paraffin: Glutamate Dehydrogenase Antibody [NBP2-54715]

Immunohistochemistry-Paraffin: Glutamate Dehydrogenase Antibody [NBP2-54715] - Staining of human kidney shows strong granular cytoplasmic positivity in cells in tubules.

Applications for Glutamate Dehydrogenase Antibody - BSA Free

Application
Recommended Usage

Immunocytochemistry/ Immunofluorescence

0.25-2 ug/ml

Immunohistochemistry

1:1000 - 1:2500

Immunohistochemistry-Paraffin

1:1000 - 1:2500

Western Blot

0.04-0.4 ug/ml
Application Notes
For IHC-Paraffin, HIER pH 6 retrieval is recommended. Immunocytochemistry/Immunofluorescence Fixation Permeabilization: Use PFA/Triton X-100.

Formulation, Preparation, and Storage

Purification

Immunogen affinity purified

Formulation

PBS (pH 7.2) and 40% Glycerol

Format

BSA Free

Preservative

0.02% Sodium Azide

Concentration

Concentrations vary lot to lot. See vial label for concentration. If unlisted please contact technical services.

Shipping

The product is shipped with polar packs. Upon receipt, store it immediately at the temperature recommended below.

Stability & Storage

Store at 4C short term. Aliquot and store at -20C long term. Avoid freeze-thaw cycles.

Background: Glutamate Dehydrogenase 1/GLUD1

One enzyme central to the metabolism of glutamate is glutamate dehydrogenase (GDH1; EC 1.4.1.3), that catalyzes the reversible deamination of L-glutamate to 2-oxoglutarate using NAD+ or NADP+. Mammalian GDH is composed of six identical subunits, and the regulation of GDH is very complex. It has been a major goal to identify the substrate and regulatory binding sites of GDH. It is only in recent years that the three-dimensional structure of GDH from microorganisms is available. Very recently, crystallization of bovine liver GDH was reported for the first time from the mammalian sources. However, remarkably little is known about the detailed structure of mammalian GDH, especially the brain enzymes.

Alternate Names

GDH, GDH1

Gene Symbol

GLUD1

Additional Glutamate Dehydrogenase 1/GLUD1 Products

Product Documents for Glutamate Dehydrogenase Antibody - BSA Free

Certificate of Analysis

To download a Certificate of Analysis, please enter a lot number in the search box below.

Product Specific Notices for Glutamate Dehydrogenase Antibody - BSA Free

This product is for research use only and is not approved for use in humans or in clinical diagnosis. Primary Antibodies are guaranteed for 1 year from date of receipt.

Loading...
Loading...
Loading...
Loading...