GLUT9 Antibody - BSA Free
Novus Biologicals, part of Bio-Techne | Catalog # NBP1-06271
Conjugate
Catalog #
Key Product Details
Species Reactivity
Validated:
Human, Mouse
Cited:
Human, Mouse
Applications
Validated:
Immunohistochemistry, Immunohistochemistry-Paraffin, Western Blot
Cited:
Western Blot
Label
Unconjugated
Antibody Source
Polyclonal Rabbit IgG
Format
BSA Free
Concentration
1 mg/ml
Product Specifications
Immunogen
Synthetic peptide made to an internal portion of mouse GLUT9 (within residues 390-440). [Swiss-Prot# Q7TSK9]
Reactivity Notes
Human reactivity reported in scientific literature (PMID: 26626256)
Localization
Membrane; Multi-pass membrane protein.
Clonality
Polyclonal
Host
Rabbit
Isotype
IgG
Theoretical MW
55 kDa.
Disclaimer note: The observed molecular weight of the protein may vary from the listed predicted molecular weight due to post translational modifications, post translation cleavages, relative charges, and other experimental factors.
Disclaimer note: The observed molecular weight of the protein may vary from the listed predicted molecular weight due to post translational modifications, post translation cleavages, relative charges, and other experimental factors.
Scientific Data Images for GLUT9 Antibody - BSA Free
Western Blot: GLUT9 Antibody [NBP1-06271]
Western Blot: GLUT9 Antibody [NBP1-06271] - Detection of GLUT9 in mouse kidney membrane using NBP1-06271.Immunohistochemistry-Paraffin: GLUT9 Antibody [NBP1-06271]
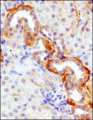
Immunohistochemistry-Paraffin: GLUT9 Antibody [NBP1-06271] - IHC-P analysis of a mouse kidney section with GLUT9 antibody at 1:200 dilution. The antibody generated an expected staining with more intensity towards the basolateral membranes of renal tubular epithelial cells.Western Blot: GLUT9 Antibody - BSA Free [NBP1-06271] -
Inhibition of PO-induced hyperuricemia by K-25. LLC-PK1 cells were stimulated with PO (0.25 mM) with or without pretreatment with K-25 (0.5 mg/mL). a After 24 h of incubation, OAT1, OAT3, URAT1, GLUT9, and XO were measured using an immunoblot assay. b LLC-PK1 cells were incubated with K-25 for 24 h, and the intracellular levels of OAT3 and GLUT9 transporters were analyzed using immunofluorescence analysis. Scale bar = 50 μm. c Effect of K-25 on XO inhibition activity. Values are represented as means +/- SEM, *p < 0.05, versus the allopurinol group. The statistical significance (*p < 0.05, **p < 0.01, ***p < 0.001) was determined using ANOVA with Bonferroni correction Image collected and cropped by CiteAb from the following open publication (https://pubmed.ncbi.nlm.nih.gov/30871515), licensed under a CC-BY license. Not internally tested by Novus Biologicals.Applications for GLUT9 Antibody - BSA Free
Application
Recommended Usage
Immunohistochemistry-Paraffin
1:200
Western Blot
0.5 ug/ml
Application Notes
In Western blot, this antibody generates a band at ~ 55 kDa. The observed molecular weight of the protein may vary from the listed predicted molecular weight due to post translational modifications, post translation cleavages, relative charges, and other experimental factors.
Formulation, Preparation, and Storage
Purification
Immunogen affinity purified
Formulation
Tris-Glycine and 0.15M NaCl
Format
BSA Free
Preservative
0.05% Sodium Azide
Concentration
1 mg/ml
Shipping
The product is shipped with polar packs. Upon receipt, store it immediately at the temperature recommended below.
Stability & Storage
Store at 4C short term. Aliquot and store at -20C long term. Avoid freeze-thaw cycles.
Background: GLUT9
Alternate Names
facilitated glucose transporter member 9, GLUT-9, GLUT9Glut9, GLUTX, solute carrier family 2 (facilitated glucose transporter), member 9, UAQTL2, urate voltage-driven efflux transporter 1
Gene Symbol
SLC2A9
Additional GLUT9 Products
Product Documents for GLUT9 Antibody - BSA Free
Product Specific Notices for GLUT9 Antibody - BSA Free
This product is for research use only and is not approved for use in humans or in clinical diagnosis. Primary Antibodies are guaranteed for 1 year from date of receipt.
Loading...
Loading...
Loading...
Loading...