Skip to main content

Glut4 Antibody - BSA Free

Novus Biologicals, part of Bio-Techne | Catalog # NBP1-49533

Novus Biologicals, part of Bio-Techne
Catalog #
Availability
Size / Price
Qty
Loading...
NBP1-49533
NBP1-49533SS

Key Product Details

Validated by

Biological Validation

Species Reactivity

Validated:

Human, Mouse, Rat, Plant

Cited:

Human, Mouse, Rat, Fish, Plant

Applications

Validated:

Immunohistochemistry, Immunohistochemistry-Paraffin, Western Blot, Flow Cytometry, Flow (Intracellular), Immunocytochemistry/ Immunofluorescence, Knockdown Validated

Cited:

Immunohistochemistry-Paraffin, Western Blot, Flow Cytometry, Immunocytochemistry/ Immunofluorescence, IF/IHC, Knockdown Validated, SDS-Page

Label

Unconjugated

Antibody Source

Polyclonal Rabbit IgG

Format

BSA Free

Concentration

1.0 mg/ml

Product Specifications

Immunogen

A synthetic peptide from the human Glucose Transporter GLUT4 protein [UniProt P14672]

Reactivity Notes

Plant reactivity reported in scientific literature (PMID: 31555030).

Localization

Endomembrane system; Multi-pass membrane protein. Cytoplasm - perinuclear region. Note: Localizes primarily to the perinuclear region, undergoing continued recycling to the plasma membrane where it is rapidly reinternalized. The dileucine internalization

Clonality

Polyclonal

Host

Rabbit

Isotype

IgG

Scientific Data Images for Glut4 Antibody - BSA Free

Western Blot: Glut4 AntibodyBSA Free [NBP1-49533]

Western Blot: Glut4 AntibodyBSA Free [NBP1-49533]

Glut4-Antibody-Western-Blot-NBP1-49533-img0015.jpg
Immunocytochemistry/ Immunofluorescence: Glut4 Antibody - BSA Free [NBP1-49533]

Immunocytochemistry/ Immunofluorescence: Glut4 Antibody - BSA Free [NBP1-49533]

Immunocytochemistry/Immunofluorescence: Glut4 Antibody [NBP1-49533] - HeLa cells were fixed for 10 minutes using 10% formalin and then permeabilized for 5 minutes using 1X TBS + 0.5% Triton X-100. The cells were incubated with anti-GLUT4 [NBP1-49533] at a 1:200 dilution overnight at 4C and detected with an anti-rabbit DyLight 488 (Green) at a 1:500 dilution. Alpha tubulin (DM1A) NB100-690 was used as a co-stain at a 1:1000 dilution and detected with an anti-mouse DyLight 550 (Red) at a 1:500 dilution. Nuclei were counterstained with DAPI (Blue). Cells were imaged using a 40X objective.
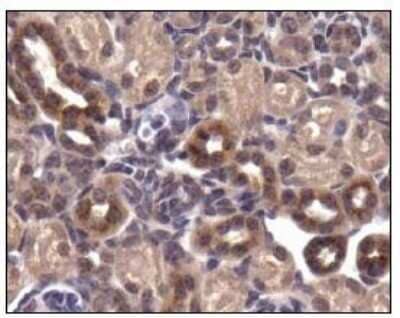
Immunohistochemistry: Glut4 Antibody - BSA Free [NBP1-49533]

Immunohistochemistry: Glut4 Antibody - BSA Free [NBP1-49533]

Immunohistochemistry: Glut4 Antibody [NBP1-49533] - Analysis of GLUT4 in mouse kidney

Applications for Glut4 Antibody - BSA Free

Application
Recommended Usage

Flow Cytometry

reported by customer review

Immunocytochemistry/ Immunofluorescence

1:100

Immunohistochemistry

1:200

Immunohistochemistry-Paraffin

reported in scientific literature (PMID 24339864)

Knockdown Validated

reported in scientific literature (PMID 31555030)

Western Blot

0.5ug/ml

Reviewed Applications

Read 4 reviews rated 4 using NBP1-49533 in the following applications:

Formulation, Preparation, and Storage

Purification

Immunogen affinity purified

Formulation

PBS

Format

BSA Free

Preservative

0.02% Sodium Azide

Concentration

1.0 mg/ml

Shipping

The product is shipped with polar packs. Upon receipt, store it immediately at the temperature recommended below.

Stability & Storage

Aliquot and store at -20C or -80C. Avoid freeze-thaw cycles.

Background: Glut4

Glucose Transporter GLUT4 (SLC2A4 or GLUT4) is an insulin-sensitive glucose transporter which facilitate insulin-stimulated glucose uptake in adipose tissue, skeletal muscle and cardiac tissues (that specifically express GLUT4). GLUT4 is a 12-transmembrane domain/ multi-pass membrane protein localized in endomembrane system as well as cytoplasm near perinuclear region, and facilitates glucose transport in the direction of glucose gradient. This transporter localizes to intracellular organelles (endosomes) in unstimulated cells and translocates to the cell surface following insulin stimulation via TBC1D4 phosphorylation. Transgenic mice lacking or overexpressing GLUT4 respectively decrease or increase whole-body insulin sensitivity, suggesting its role in maintenance of glucose homeostasis, and accordingly, under obesity conditions, reduction of GLUT4 gene expression is directly related to insulin resistance development. Inflammatory cytokines produced by the adipose tissue including TNF-alpha, IL-6 etc have been related to reduce GLUT4 expression and defective GLUT4 is an underlying cause of NIDDM.

Alternate Names

SLC2A4

Entrez Gene IDs

6517 (Human); 20528 (Mouse)

Gene Symbol

SLC2A4

Additional Glut4 Products

Product Documents for Glut4 Antibody - BSA Free

Certificate of Analysis

To download a Certificate of Analysis, please enter a lot number in the search box below.

Product Specific Notices for Glut4 Antibody - BSA Free

This product is for research use only and is not approved for use in humans or in clinical diagnosis. Primary Antibodies are guaranteed for 1 year from date of receipt.

Loading...
Loading...
Loading...
Loading...
Loading...
Loading...