Skip to main content

GIP Antibody - Azide and BSA Free

Novus Biologicals, part of Bio-Techne | Catalog # NBP3-04865

Novus Biologicals, part of Bio-Techne
Catalog #
Availability
Size / Price
Qty
Loading...
NBP3-04865-20ul
NBP3-04865-100ul

Key Product Details

Species Reactivity

Human, Mouse, Rat

Applications

Immunohistochemistry, Immunohistochemistry-Paraffin, Western Blot, ELISA

Label

Unconjugated

Antibody Source

Polyclonal Rabbit IgG

Format

Azide and BSA Free

Concentration

Please see the vial label for concentration. If unlisted please contact technical services.

Product Specifications

Immunogen

Recombinant fusion protein containing a sequence corresponding to amino acids 22-153 of human GIP (NP_004114.1). EKKEGHFSALPSLPVGSHAKVSSPQPRGPRYAEGTFISDYSIAMDKIHQQDFVNWLLAQKGKKNDWKHNITQREARALELASQANRKEEEAVEPQSSPAKNPSDEDLLRDLLIQELLACLLDQTNLCRLRSR

Clonality

Polyclonal

Host

Rabbit

Isotype

IgG

Theoretical MW

17 kDa.
Disclaimer note: The observed molecular weight of the protein may vary from the listed predicted molecular weight due to post translational modifications, post translation cleavages, relative charges, and other experimental factors.

Description

Novus Biologicals Rabbit GIP Antibody - Azide and BSA Free (NBP3-04865) is a polyclonal antibody validated for use in IHC, WB and ELISA. All Novus Biologicals antibodies are covered by our 100% guarantee.

Scientific Data Images for GIP Antibody - Azide and BSA Free

Western Blot: GIP AntibodyAzide and BSA Free [NBP3-04865]

Western Blot: GIP AntibodyAzide and BSA Free [NBP3-04865]

Western Blot: GIP Antibody [NBP3-04865] - Western blot analysis of extracts of Mouse small intestine, using GIP antibody (NBP3-04865) at 1:500 dilution. Secondary antibody: HRP Goat Anti-Rabbit IgG (H+L) at 1:10000 dilution. Lysates/proteins: 25ug per lane. Blocking buffer: 3% nonfat dry milk in TBST. Detection: ECL Basic Kit. Exposure time: 180s.
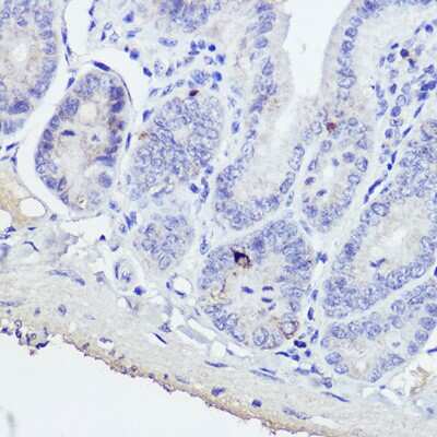
Immunohistochemistry-Paraffin: GIP Antibody - Azide and BSA Free [NBP3-04865]

Immunohistochemistry-Paraffin: GIP Antibody - Azide and BSA Free [NBP3-04865]

Immunohistochemistry-Paraffin: GIP Antibody [NBP3-04865] - Immunohistochemistry of paraffin-embedded mouse intestin using GIP Rabbit pAb (NBP3-04865) at dilution of 1:50 (40x lens). Perform high pressure antigen retrieval with 10 mM citrate buffer pH 6.0 before commencing with IHC staining protocol.

Applications for GIP Antibody - Azide and BSA Free

Application
Recommended Usage

Immunohistochemistry

1:50 - 1:200

Western Blot

1:100 - 1:500

Formulation, Preparation, and Storage

Purification

Affinity purified

Formulation

PBS (pH 7.3), 50% glycerol

Format

Azide and BSA Free

Preservative

0.02% Sodium Azide

Concentration

Please see the vial label for concentration. If unlisted please contact technical services.

Shipping

The product is shipped with polar packs. Upon receipt, store it immediately at the temperature recommended below.

Stability & Storage

Store at -20C. Avoid freeze-thaw cycles.

Background: GIP

The GIP gene encodes an incretin hormone and belongs to the glucagon superfamily. The encoded protein is important in maintaining glucose homeostasis as it is a potent stimulator of insulin secretion from pancreatic beta-cells following food ingestion and nu

Long Name

Gastric Inhibitory Polypeptide

Alternate Names

Glucose-dependent Insulinotropic Polypeptide, Incretin

Gene Symbol

GIP

Additional GIP Products

Product Documents for GIP Antibody - Azide and BSA Free

Certificate of Analysis

To download a Certificate of Analysis, please enter a lot number in the search box below.

Product Specific Notices for GIP Antibody - Azide and BSA Free

This product is for research use only and is not approved for use in humans or in clinical diagnosis. Primary Antibodies are guaranteed for 1 year from date of receipt.

Loading...
Loading...
Loading...
Loading...