Skip to main content

GHDC Antibody - BSA Free

Novus Biologicals, part of Bio-Techne | Catalog # NBP2-16654

Novus Biologicals, part of Bio-Techne
Catalog #
Availability
Size / Price
Qty
Loading...
NBP2-16654

Key Product Details

Species Reactivity

Human

Applications

Immunohistochemistry, Immunohistochemistry-Paraffin, Western Blot

Label

Unconjugated

Antibody Source

Polyclonal Rabbit IgG

Format

BSA Free

Concentration

Concentrations vary lot to lot. See vial label for concentration. If unlisted please contact technical services.

Product Specifications

Immunogen

Recombinant protein encompassing a sequence within the center region of human GHDC. The exact sequence is proprietary.

Reactivity Notes

Immunogen displays the following percentage of sequence identity for non-tested species: Porcine (85%), Bovine (84%).

Localization

Endoplasmic reticulum; Nucleus envelope

Clonality

Polyclonal

Host

Rabbit

Isotype

IgG

Theoretical MW

58 kDa.
Disclaimer note: The observed molecular weight of the protein may vary from the listed predicted molecular weight due to post translational modifications, post translation cleavages, relative charges, and other experimental factors.

Description

Novus Biologicals Rabbit GHDC Antibody - BSA Free (NBP2-16654) is a polyclonal antibody validated for use in IHC and WB. All Novus Biologicals antibodies are covered by our 100% guarantee.

Scientific Data Images for GHDC Antibody - BSA Free

Western Blot: GHDC Antibody [NBP2-16654]

Western Blot: GHDC Antibody [NBP2-16654]

Western Blot: GHDC Antibody [NBP2-16654] - Sample (30 ug of whole cell lysate) A: Hep G2 7. 5% SDS PAGE gel, diluted at 1:3000.
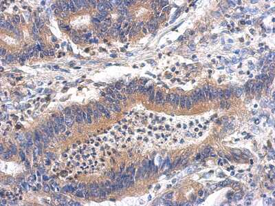
Immunohistochemistry-Paraffin: GHDC Antibody [NBP2-16654]

Immunohistochemistry-Paraffin: GHDC Antibody [NBP2-16654]

Immunohistochemistry-Paraffin: GHDC Antibody [NBP2-16654] - Immunohistochemical analysis of paraffin-embedded colon ca, using antibody at 1:500 dilution.

Applications for GHDC Antibody - BSA Free

Application
Recommended Usage

Immunohistochemistry

1:100-1:1000

Immunohistochemistry-Paraffin

1:100-1:1000

Western Blot

1:500-1:3000

Formulation, Preparation, and Storage

Purification

Antigen Affinity-purified

Formulation

0.1M Tris, 0.1M Glycine, 20% Glycerol

Format

BSA Free

Preservative

0.01% Thimerosal

Concentration

Concentrations vary lot to lot. See vial label for concentration. If unlisted please contact technical services.

Shipping

The product is shipped with polar packs. Upon receipt, store it immediately at the temperature recommended below.

Stability & Storage

Aliquot and store at -20C or -80C. Avoid freeze-thaw cycles.

Background: GHDC

Alternate Names

D11LGP1E, GH3 domain containing, GH3 domain-containing protein, homolog of mouse LGP1, LGP1D11LGP1

Gene Symbol

GHDC

UniProt

Additional GHDC Products

Product Documents for GHDC Antibody - BSA Free

Certificate of Analysis

To download a Certificate of Analysis, please enter a lot number in the search box below.

Product Specific Notices for GHDC Antibody - BSA Free

This product is for research use only and is not approved for use in humans or in clinical diagnosis. Primary Antibodies are guaranteed for 1 year from date of receipt.

Loading...
Loading...
Loading...
Loading...

⚠ WARNING: This product can expose you to chemicals including mercury, which is known to the State of California to cause reproductive toxicity with developmental effects.  For more information go to www.P65Warnings.ca.gov.