GGT1 Antibody - Azide and BSA Free
Novus Biologicals, part of Bio-Techne | Catalog # NBP2-98975
Conjugate
Catalog #
Key Product Details
Species Reactivity
Human, Mouse
Applications
Immunohistochemistry, Immunohistochemistry-Paraffin
Label
Unconjugated
Antibody Source
Polyclonal Rabbit IgG
Format
Azide and BSA Free
Concentration
Please see the vial label for concentration. If unlisted please contact technical services.
Product Specifications
Immunogen
Produced in rabbits immunized with a synthetic peptide corresponding to the center region of the Human GGT1
Clonality
Polyclonal
Host
Rabbit
Isotype
IgG
Description
This antibody can be stored at 2C to 8C for one month without detectable loss of activity. Antibody products are stable for twelve months from date of receipt when stored at -20C to -80C. Avoid repeated freeze-thaw cycles.
Scientific Data Images for GGT1 Antibody - Azide and BSA Free
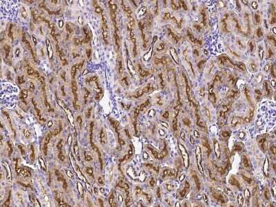
Immunohistochemistry-Paraffin: GGT1 Antibody [NBP2-98975]
Immunohistochemistry-Paraffin: GGT1 Antibody [NBP2-98975] - Immunochemical staining GGT1 in mouse kidney with rabbit polyclonal antibody (1:1000, formalin-fixed paraffin embedded sections).Immunohistochemistry-Paraffin: GGT1 Antibody [NBP2-98975]
Immunohistochemistry-Paraffin: GGT1 Antibody [NBP2-98975] - Immunochemical staining GGT1 in human kidney with rabbit polyclonal antibody (1:1000, formalin-fixed paraffin embedded sections).Applications for GGT1 Antibody - Azide and BSA Free
Application
Recommended Usage
Immunohistochemistry
1:500-1:2000
Immunohistochemistry-Paraffin
1:500-1:2000
Formulation, Preparation, and Storage
Purification
Antigen and protein A Affinity-purified
Formulation
0.2 um filtered solution in PBS
Format
Azide and BSA Free
Preservative
No Preservative
Concentration
Please see the vial label for concentration. If unlisted please contact technical services.
Shipping
The product is shipped with polar packs. Upon receipt, store it immediately at the temperature recommended below.
Stability & Storage
Store at 4C short term. Aliquot and store at -20C long term. Avoid freeze-thaw cycles.
Background: gamma-Glutamyltransferase 1/GGT1
Long Name
gamma-Glutamyltransferase 1
Alternate Names
CD224, D22S672, D22S73, GGT, GGT-1, GGTD
Gene Symbol
GGT1
Additional gamma-Glutamyltransferase 1/GGT1 Products
Product Documents for GGT1 Antibody - Azide and BSA Free
Product Specific Notices for GGT1 Antibody - Azide and BSA Free
This product is for research use only and is not approved for use in humans or in clinical diagnosis. Primary Antibodies are guaranteed for 1 year from date of receipt.
Loading...
Loading...
Loading...
Loading...