Skip to main content

GFPT2 Antibody - BSA Free

Novus Biologicals, part of Bio-Techne | Catalog # NBP3-35537

Novus Biologicals, part of Bio-Techne
Catalog #
Availability
Size / Price
Qty
Loading...
NBP3-35537-100ul
NBP3-35537-20ul

Key Product Details

Species Reactivity

Human, Mouse, Rat

Applications

Western Blot, ELISA, Immunocytochemistry/ Immunofluorescence

Label

Unconjugated

Antibody Source

Polyclonal Rabbit IgG

Format

BSA Free

Concentration

Please see the vial label for concentration. If unlisted please contact technical services.

Product Specifications

Immunogen

Recombinant fusion protein containing a sequence corresponding to amino acids 200-260 of human GFPT2 (NP_005101.1).

Sequence:
RGSPLLIGVRSKYKLSTEQIPILYRTCTLENVKNICKTRMKRLDSSACLHAVGDKAVEFFF

Clonality

Polyclonal

Host

Rabbit

Isotype

IgG

Theoretical MW

77 kDa.
Disclaimer note: The observed molecular weight of the protein may vary from the listed predicted molecular weight due to post translational modifications, post translation cleavages, relative charges, and other experimental factors.

Description

Novus Biologicals Rabbit GFPT2 Antibody - BSA Free (NBP3-35537) is a polyclonal antibody validated for use in WB, ELISA and ICC/IF. All Novus Biologicals antibodies are covered by our 100% guarantee.

Scientific Data Images for GFPT2 Antibody - BSA Free

GFPT2 Antibody

Immunocytochemistry/ Immunofluorescence: GFPT2 Antibody [NBP3-35537] -

Immunocytochemistry/ Immunofluorescence: GFPT2 Antibody [NBP3-35537] - Immunofluorescence analysis of L929 cells using GFPT2 Rabbit pAb at dilution of 1:100. Secondary antibody: Cy3-conjugated Goat anti-Rabbit IgG (H+L) at 1:500 dilution. Blue: DAPI for nuclear staining.
GFPT2 Antibody

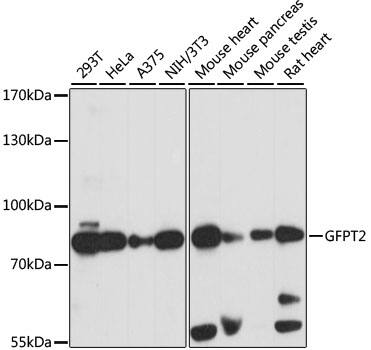
Western Blot: GFPT2 Antibody [NBP3-35537] -

Western Blot: GFPT2 Antibody [NBP3-35537] - Western blot analysis of various lysates using GFPT2 Rabbit pAb at 1:1000 dilution.
Secondary antibody: HRP-conjugated Goat anti-Rabbit IgG (H+L) at 1:10000 dilution.
Lysates/proteins: 25ug per lane.
Blocking buffer: 3% nonfat dry milk in TBST.
Detection: ECL Basic Kit.
Exposure time: 3s.

Applications for GFPT2 Antibody - BSA Free

Application
Recommended Usage

Immunocytochemistry/ Immunofluorescence

1:50 - 1:200

Western Blot

1:200 - 1:2000

Formulation, Preparation, and Storage

Purification

Affinity purified

Formulation

PBS (pH 7.3), 50% glycerol

Format

BSA Free

Preservative

0.01% Thimerosal

Concentration

Please see the vial label for concentration. If unlisted please contact technical services.

Shipping

The product is shipped with polar packs. Upon receipt, store it immediately at the temperature recommended below.

Stability & Storage

Store at -20C. Avoid freeze-thaw cycles.

Background: GFPT2

Controls the flux of glucose into the hexosamine pathway. Most likely involved in regulating the availability of precursors for N- and O-linked glycosylation of proteins

Alternate Names

D-fructose-6-phosphate amidotransferase 2, FLJ10380, GFAT 2, GFAT2EC 2.6.1.16, glucosamine--fructose-6-phosphate aminotransferase [isomerizing] 2, glutamine: fructose-6-phosphate aminotransferase 2, Glutamine:fructose 6 phosphate amidotransferase 2, glutamine-fructose-6-phosphate transaminase 2, Hexosephosphate aminotransferase 2

Gene Symbol

GFPT2

Additional GFPT2 Products

Product Documents for GFPT2 Antibody - BSA Free

Certificate of Analysis

To download a Certificate of Analysis, please enter a lot number in the search box below.

Product Specific Notices for GFPT2 Antibody - BSA Free

This product is for research use only and is not approved for use in humans or in clinical diagnosis. Primary Antibodies are guaranteed for 1 year from date of receipt.

Loading...
Loading...
Loading...
Loading...