Skip to main content

GEMIN8 Antibody - BSA Free

Novus Biologicals, part of Bio-Techne | Catalog # NBP1-83925

Novus Biologicals, part of Bio-Techne
Catalog #
Availability
Size / Price
Qty
Loading...
NBP1-83925

Key Product Details

Species Reactivity

Human

Applications

Immunohistochemistry, Immunohistochemistry-Paraffin, Western Blot, Immunocytochemistry/ Immunofluorescence

Label

Unconjugated

Antibody Source

Polyclonal Rabbit IgG

Format

BSA Free

Concentration

Concentrations vary lot to lot. See vial label for concentration. If unlisted please contact technical services.

Product Specifications

Immunogen

This antibody was developed against Recombinant Protein corresponding to amino acids: ASTSKATRPWYSHPVYARYWQHYHQAMAWMQSHHNAYRKAVESCFNLPWYLPSALLPQSSYDNEAAYPQSFYDHHVAWQDYPCSSSHFRRSGQHPRYSSRIQASTKEDQALSKEEEMETESDAEVECDLSNMEITEELRQYFAETER

Clonality

Polyclonal

Host

Rabbit

Isotype

IgG

Scientific Data Images for GEMIN8 Antibody - BSA Free

Immunocytochemistry/ Immunofluorescence: GEMIN8 Antibody [NBP1-83925]

Immunocytochemistry/ Immunofluorescence: GEMIN8 Antibody [NBP1-83925]

Immunocytochemistry/Immunofluorescence: GEMIN8 Antibody [NBP1-83925] - Immunofluorescent staining of human cell line U-2 OS shows localization to nucleoplasm & cytosol.
GEMIN8 Antibody - BSA Free Immunohistochemistry-Paraffin: GEMIN8 Antibody - BSA Free [NBP1-83925]

Immunohistochemistry-Paraffin: GEMIN8 Antibody - BSA Free [NBP1-83925]

Staining of human fallopian tube shows strong cytoplasmic positivity in glandular cells.
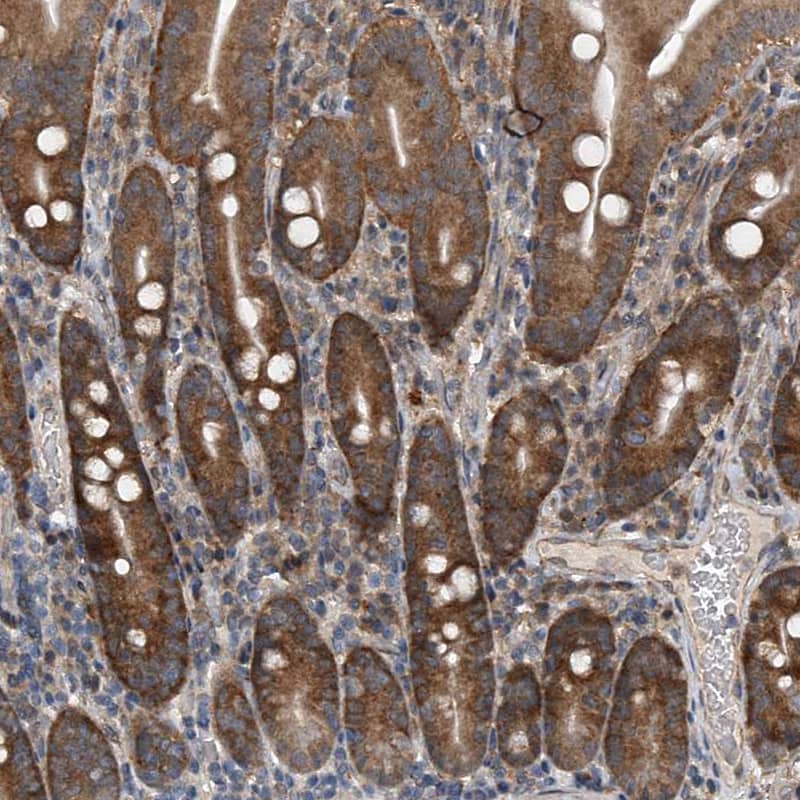
GEMIN8 Antibody - BSA Free Immunohistochemistry-Paraffin: GEMIN8 Antibody - BSA Free [NBP1-83925]

Immunohistochemistry-Paraffin: GEMIN8 Antibody - BSA Free [NBP1-83925]

Staining of human duodenum shows strong cytoplasmic positivity in glandular cells.

Applications for GEMIN8 Antibody - BSA Free

Application
Recommended Usage

Immunocytochemistry/ Immunofluorescence

0.25-2 ug/ml

Immunohistochemistry

1:20 - 1:50

Immunohistochemistry-Paraffin

1:20 - 1:50

Western Blot

0.04-0.4 ug/ml
Application Notes
For IHC-Paraffin, HIER pH 6 retrieval is recommended. Immunocytochemistry/Immunofluorescence Fixation Permeabilization: Use PFA/Triton X-100.

Formulation, Preparation, and Storage

Purification

Affinity purified

Formulation

PBS (pH 7.2) and 40% Glycerol

Format

BSA Free

Preservative

0.02% Sodium Azide

Concentration

Concentrations vary lot to lot. See vial label for concentration. If unlisted please contact technical services.

Shipping

The product is shipped with polar packs. Upon receipt, store it immediately at the temperature recommended below.

Stability & Storage

Store at 4C short term. Aliquot and store at -20C long term. Avoid freeze-thaw cycles.

Background: GEMIN8

The SMN complex plays an essential role in spliceosomal snRNP assembly in the cytoplasm and is required for pre-mRNA splicing in the nucleus

Alternate Names

FAM51A1, FLJ43072, gem (nuclear organelle) associated protein 8, gemin-8, member A1, Protein FAM51A1

Gene Symbol

GEMIN8

Additional GEMIN8 Products

Product Documents for GEMIN8 Antibody - BSA Free

Certificate of Analysis

To download a Certificate of Analysis, please enter a lot number in the search box below.

Product Specific Notices for GEMIN8 Antibody - BSA Free

This product is for research use only and is not approved for use in humans or in clinical diagnosis. Primary Antibodies are guaranteed for 1 year from date of receipt.

Loading...
Loading...
Loading...
Loading...