Skip to main content

GEF-H1 Antibody (HL3470)

Novus Biologicals, part of Bio-Techne | Catalog # NBP3-48817

Recombinant Monoclonal Antibody
Novus Biologicals, part of Bio-Techne
Catalog #
Availability
Size / Price
Qty
Loading...
NBP3-48817

Key Product Details

Validated by

Orthogonal Validation

Species Reactivity

Human, Mouse, Rat

Applications

Immunohistochemistry, Immunohistochemistry-Paraffin, Western Blot, Immunocytochemistry/ Immunofluorescence

Label

Unconjugated

Antibody Source

Recombinant Monoclonal Rabbit IgG Clone # HL3470

Concentration

Concentrations vary lot to lot. See vial label for concentration. If unlisted please contact technical services.

Product Specifications

Immunogen

Recombinant fragment of human GEF-H1.

Clonality

Monoclonal

Host

Rabbit

Isotype

IgG

Description

Novus Biologicals Rabbit GEF-H1 Antibody (HL3470) (NBP3-48817) is a recombinant monoclonal antibody validated for use in IHC, WB and ICC/IF. All Novus Biologicals antibodies are covered by our 100% guarantee.

Scientific Data Images for GEF-H1 Antibody (HL3470)

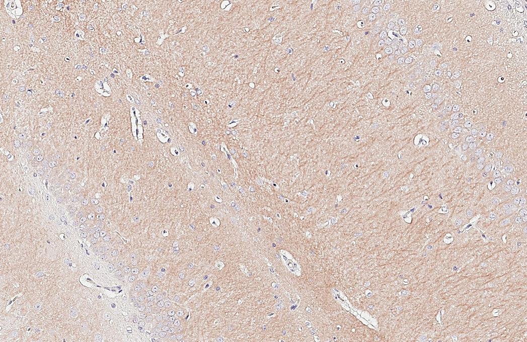
GEF-H1 Antibody (HL3470)

Immunohistochemistry-Paraffin: GEF-H1 Antibody (HL3470) [NBP3-48817] -

GEF-H1 antibody [HL3470] detects GEF-H1 protein by immunohistochemical analysis.
Sample: Paraffin-embedded mouse tissues.
GEF-H1 stained by GEF-H1 antibody [HL3470] (NBP3-48817) diluted at 1:200.
Antigen Retrieval: Citrate buffer, pH 6.0, 15 min
Corresponding RNA levels (RPKM) in the tissues are based on NCBI database.
GEF-H1 Antibody (HL3470)

Immunocytochemistry/ Immunofluorescence: GEF-H1 Antibody (HL3470) [NBP3-48817] -

GEF-H1 antibody [HL3470] detects GEF-H1 protein by immunofluorescent analysis.
Sample: HeLa cells were fixed in 4% paraformaldehyde at RT for 15 min.
Green: GEF-H1 stained by GEF-H1 antibody [HL3470] (NBP3-48817) diluted at 1:500.
Blue: Fluoroshield with DAPI .
GEF-H1 Antibody (HL3470)

Immunohistochemistry-Paraffin: GEF-H1 Antibody (HL3470) [NBP3-48817] -

GEF-H1 antibody [HL3470] detects GEF-H1 protein by immunohistochemical analysis.
Sample: Paraffin-embedded mouse tissues.
GEF-H1 stained by GEF-H1 antibody [HL3470] (NBP3-48817) diluted at 1:200.
Antigen Retrieval: Citrate buffer, pH 6.0, 15 min
Corresponding RNA levels (RPKM) in the tissues are based on NCBI database.

Applications for GEF-H1 Antibody (HL3470)

Application
Recommended Usage

Immunocytochemistry/ Immunofluorescence

Optimal dilutions of this antibody should be experimentally determined.

Immunohistochemistry

Optimal dilutions of this antibody should be experimentally determined.

Immunohistochemistry-Paraffin

Optimal dilutions of this antibody should be experimentally determined.

Western Blot

Optimal dilutions of this antibody should be experimentally determined.

Formulation, Preparation, and Storage

Purification

Protein A purified

Formulation

PBS

Preservative

No Preservative

Concentration

Concentrations vary lot to lot. See vial label for concentration. If unlisted please contact technical services.

Shipping

The product is shipped with polar packs. Upon receipt, store it immediately at the temperature recommended below.

Stability & Storage

Store at 4C short term. Aliquot and store at -20C long term. Avoid freeze-thaw cycles.

Background: GEF-H1

Rho GTPases play a fundamental role in numerous cellular processes that are initiated by extracellular stimuli that work through G protein coupled receptors. The encoded protein may form complex with G proteins and stimulate rho-dependent signals. [provided by RefSeq]

Alternate Names

GEF, GEFH1, GEF-H1DKFZp547P1516, Guanine nucleotide exchange factor H1, KIAA0651DKFZp547L106, LFP40FLJ45440, Microtubule-regulated Rho-GEF, P40, Proliferating cell nucleolar antigen p40, rho guanine nucleotide exchange factor 2, Rho/Rac guanine nucleotide exchange factor (GEF) 2, Rho/Rac guanine nucleotide exchange factor 2

Gene Symbol

ARHGEF2

Additional GEF-H1 Products

Product Documents for GEF-H1 Antibody (HL3470)

Certificate of Analysis

To download a Certificate of Analysis, please enter a lot number in the search box below.

Product Specific Notices for GEF-H1 Antibody (HL3470)

This product is for research use only and is not approved for use in humans or in clinical diagnosis. Primary Antibodies are guaranteed for 1 year from date of receipt.

Loading...
Loading...
Loading...
Loading...