GDF-11/BMP-11 Antibody - BSA Free
Novus Biologicals, part of Bio-Techne | Catalog # NBP2-57399
Key Product Details
Species Reactivity
Validated:
Human
Predicted:
Mouse (100%), Rat (100%). Backed by our 100% Guarantee.
Applications
Immunohistochemistry, Immunohistochemistry-Paraffin, Western Blot
Label
Unconjugated
Antibody Source
Polyclonal Rabbit IgG
Format
BSA Free
Concentration
Concentrations vary lot to lot. See vial label for concentration. If unlisted please contact technical services.
Product Specifications
Immunogen
This antibody was developed against a recombinant protein corresponding to the following amino acid sequence: DFKQVLHSWFRQPQSNWGIEINAFDPSGTDLAVTSLGPGAEGLHPFMELRVLENT
Clonality
Polyclonal
Host
Rabbit
Isotype
IgG
Scientific Data Images for GDF-11/BMP-11 Antibody - BSA Free
Western Blot: GDF-11/BMP-11 Antibody [NBP2-57399]
Western Blot: GDF-11/BMP-11 Antibody [NBP2-57399] - Analysis in human cell line RT-4, human cell line U-251 MG, human plasma, human liver tissue and human tonsil tissue.Immunohistochemistry-Paraffin: GDF-11/BMP-11 Antibody [NBP2-57399]
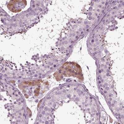
Immunohistochemistry-Paraffin: GDF-11/BMP-11 Antibody [NBP2-57399] - Staining of human testis shows moderate cytoplasmic positivity in Leydig cells.Immunohistochemistry-Paraffin: GDF-11/BMP-11 Antibody [NBP2-57399]
Immunohistochemistry-Paraffin: GDF-11/BMP-11 Antibody [NBP2-57399] - Staining of human cerebral cortex shows moderate cytoplasmic positivity in glial cells.Applications for GDF-11/BMP-11 Antibody - BSA Free
Application
Recommended Usage
Immunohistochemistry
1:500 - 1:1000
Immunohistochemistry-Paraffin
1:500 - 1:1000
Western Blot
0.04-0.4 ug/ml
Application Notes
For IHC-Paraffin, HIER pH 6 retrieval is recommended.
Formulation, Preparation, and Storage
Purification
Affinity purified
Formulation
PBS (pH 7.2) and 40% Glycerol
Format
BSA Free
Preservative
0.02% Sodium Azide
Concentration
Concentrations vary lot to lot. See vial label for concentration. If unlisted please contact technical services.
Shipping
The product is shipped with polar packs. Upon receipt, store it immediately at the temperature recommended below.
Stability & Storage
Store at 4C short term. Aliquot and store at -20C long term. Avoid freeze-thaw cycles.
Background: GDF-11/BMP-11
Long Name
Growth Differentiation Factor 11
Alternate Names
BMP-11, BMP11, GDF11
Gene Symbol
GDF11
Additional GDF-11/BMP-11 Products
Product Documents for GDF-11/BMP-11 Antibody - BSA Free
Product Specific Notices for GDF-11/BMP-11 Antibody - BSA Free
This product is for research use only and is not approved for use in humans or in clinical diagnosis. Primary Antibodies are guaranteed for 1 year from date of receipt.
Loading...
Loading...
Loading...
Loading...