Skip to main content

GBAS Antibody

Novus Biologicals, part of Bio-Techne | Catalog # NBP2-16617

Novus Biologicals, part of Bio-Techne
Catalog #
Availability
Size / Price
Qty
Loading...
NBP2-16617

Key Product Details

Species Reactivity

Human, Mouse

Applications

Immunohistochemistry, Immunohistochemistry-Paraffin, Western Blot

Label

Unconjugated

Antibody Source

Polyclonal Rabbit IgG

Concentration

Concentrations vary lot to lot. See vial label for concentration. If unlisted please contact technical services.

Product Specifications

Immunogen

Recombinant protein encompassing a sequence within the center region of human GBAS. The exact sequence is proprietary.

Reactivity Notes

Immunogen displays the following percentage of sequence identity for non-tested species: Zebrafish (84%).

Clonality

Polyclonal

Host

Rabbit

Isotype

IgG

Theoretical MW

34 kDa.
Disclaimer note: The observed molecular weight of the protein may vary from the listed predicted molecular weight due to post translational modifications, post translation cleavages, relative charges, and other experimental factors.

Description

Novus Biologicals Rabbit GBAS Antibody (NBP2-16617) is a polyclonal antibody validated for use in IHC and WB. All Novus Biologicals antibodies are covered by our 100% guarantee.

Scientific Data Images for GBAS Antibody

Western Blot: GBAS Antibody [NBP2-16617]

Western Blot: GBAS Antibody [NBP2-16617]

Western Blot: GBAS Antibody [NBP2-16617] - Sample (30 ug of whole cell lysate) A: A549 B: H1299 C: HCT116 12% SDS PAGE gel, diluted at 1:1000.
Immunohistochemistry-Paraffin: GBAS Antibody [NBP2-16617]

Immunohistochemistry-Paraffin: GBAS Antibody [NBP2-16617]

Immunohistochemistry-Paraffin: GBAS Antibody [NBP2-16617] - Mouse muscle, using GBAS antibody at 1:500 dilution. Antigen Retrieval: Trilogy™ (EDTA based, pH 8.0) buffer, 15min.
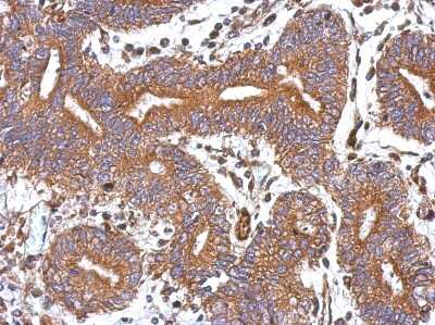
Immunohistochemistry-Paraffin: GBAS Antibody [NBP2-16617]

Immunohistochemistry-Paraffin: GBAS Antibody [NBP2-16617]

Immunohistochemistry-Paraffin: GBAS Antibody [NBP2-16617] - Human colon carcinoma, using GBAS antibody at 1:500 dilution. Antigen Retrieval: Trilogy™ (EDTA based, pH 8.0) buffer, 15min.

Applications for GBAS Antibody

Application
Recommended Usage

Immunohistochemistry

1:100-1:1000

Immunohistochemistry-Paraffin

1:100-1:1000

Western Blot

1:500-1:3000

Formulation, Preparation, and Storage

Purification

Antigen Affinity-purified

Formulation

PBS, 1% BSA, 20% Glycerol

Preservative

0.01% Thimerosal

Concentration

Concentrations vary lot to lot. See vial label for concentration. If unlisted please contact technical services.

Shipping

The product is shipped with polar packs. Upon receipt, store it immediately at the temperature recommended below.

Stability & Storage

Aliquot and store at -20C or -80C. Avoid freeze-thaw cycles.

Background: GBAS

Chromosomal region 7p12, which contains GBAS, is amplified in approximately 40% of glioblastomas, the most common and malignant form of central nervous system tumor.The predicted 286-amino acid protein contains a signal peptide, a transmembrane domain, and 2 tyrosine phosphorylation sites. The GBAS transcript is expressed most abundantly in heart and skeletal muscle. GBAS protein might be involved in vesicular transport. [provided by RefSeq]

Alternate Names

glioblastoma amplified sequence, Glioblastoma-amplified sequence, NIPSNAP2NipSnap2,4-nitrophenylphosphatase domain and non-neuronal SNAP25-like 2, protein NipSnap homolog 2

Gene Symbol

NIPSNAP2

UniProt

Additional GBAS Products

Product Documents for GBAS Antibody

Certificate of Analysis

To download a Certificate of Analysis, please enter a lot number in the search box below.

Product Specific Notices for GBAS Antibody

This product is for research use only and is not approved for use in humans or in clinical diagnosis. Primary Antibodies are guaranteed for 1 year from date of receipt.

Loading...
Loading...
Loading...
Loading...

⚠ WARNING: This product can expose you to chemicals including mercury, which is known to the State of California to cause reproductive toxicity with developmental effects.  For more information go to www.P65Warnings.ca.gov.