Skip to main content

GATM Antibody - BSA Free

Novus Biologicals, part of Bio-Techne | Catalog # NBP3-46258

Novus Biologicals, part of Bio-Techne
Catalog #
Availability
Size / Price
Qty
Loading...
NBP3-46258

Key Product Details

Species Reactivity

Human, Mouse, Rat

Applications

Immunohistochemistry, Western Blot, ELISA, Immunocytochemistry/ Immunofluorescence

Label

Unconjugated

Antibody Source

Polyclonal Rabbit IgG

Format

BSA Free

Concentration

Please see the vial label for concentration. If unlisted please contact technical services.

Product Specifications

Immunogen

glycine amidinotransferase (L-arginine:glycine amidinotransferase). (Uniprot# P50440)

Clonality

Polyclonal

Host

Rabbit

Isotype

IgG

Theoretical MW

43 kDa.
Disclaimer note: The observed molecular weight of the protein may vary from the listed predicted molecular weight due to post translational modifications, post translation cleavages, relative charges, and other experimental factors.

Scientific Data Images for GATM Antibody - BSA Free

GATM Antibody - BSA Free

Western Blot: GATM Antibody - BSA Free [NBP3-46258] -

Western Blot: GATM Antibody - BSA Free [NBP3-46258] - Mouse kidney tissue were subjected to SDS PAGE followed by western blot with (GATM antibody) at dilution of 1:1000
GATM Antibody - BSA Free

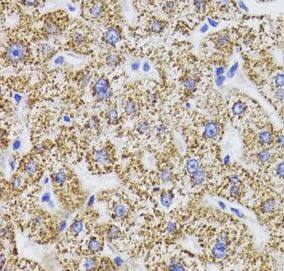
Immunohistochemistry: GATM Antibody - BSA Free [NBP3-46258] -

Immunohistochemistry: GATM Antibody - BSA Free [NBP3-46258] - Immunohistochemistry of paraffin-embedded human liver using (GATM antibody) at dilution of 1:100

Applications for GATM Antibody - BSA Free

Application
Recommended Usage

Immunocytochemistry/ Immunofluorescence

1:50 - 1:200

Immunohistochemistry

1:50 - 1:200

Western Blot

1:500 - 1:2000

Formulation, Preparation, and Storage

Purification

Immunogen affinity purified

Formulation

PBS, 50% Glycerol, pH (7.3)

Format

BSA Free

Preservative

0.02% Sodium Azide

Concentration

Please see the vial label for concentration. If unlisted please contact technical services.

Shipping

The product is shipped with polar packs. Upon receipt, store it immediately at the temperature recommended below.

Stability & Storage

Store at -20C. Avoid freeze-thaw cycles.

Background: GATM

GATM encodes a mitochondrial enzyme that belongs to the amidinotransferase family. This enzyme is involved in creatine biosynthesis, whereby it catalyzes the transfer of a guanido group from L-arginine to glycine, resulting in guanidinoacetic acid, the immediate precursor of creatine. Mutations in this gene cause arginine:glycine amidinotransferase deficiency, an inborn error of creatine synthesis characterized by mental retardation, language impairment, and behavioral disorders.

Alternate Names

AGATtransamidinase, AT, EC 2.1.4, EC 2.1.4.1, glycine amidinotransferase (L-arginine:glycine amidinotransferase), glycine amidinotransferase, mitochondrial, L-arginine:glycine amidinotransferase, Transamidinase

Gene Symbol

GATM

Additional GATM Products

Product Documents for GATM Antibody - BSA Free

Certificate of Analysis

To download a Certificate of Analysis, please enter a lot number in the search box below.

Product Specific Notices for GATM Antibody - BSA Free

This product is for research use only and is not approved for use in humans or in clinical diagnosis. Primary Antibodies are guaranteed for 1 year from date of receipt.

Loading...
Loading...
Loading...
Loading...