Skip to main content

GATM Antibody - BSA Free

Novus Biologicals, part of Bio-Techne | Catalog # NBP3-04578

Novus Biologicals, part of Bio-Techne
Catalog #
Availability
Size / Price
Qty
Loading...
NBP3-04578-100ul
NBP3-04578-20ul

Key Product Details

Species Reactivity

Human, Mouse, Rat

Applications

ELISA, Immunocytochemistry/ Immunofluorescence, Immunohistochemistry, Immunohistochemistry-Paraffin, Western Blot

Label

Unconjugated

Antibody Source

Polyclonal Rabbit IgG

Format

BSA Free

Concentration

Please see the vial label for concentration. If unlisted please contact technical services.

Product Specifications

Immunogen

Recombinant fusion protein containing a sequence corresponding to amino acids 38-423 of human GATM (NP_001473.1). STQAATASSRNSCAADDKATEPLPKDCPVSSYNEWDPLEEVIVGRAENACVPPFTIEVKANTYEKYWPFYQKQGGHYFPKDHLKKAVAEIEEMCNILKTEGVTVRRPDPIDWSLKYKTPDFESTGLYSAMPRDILIVVGNEIIEAPMAWRSRFFEYRAYRSIIKDYFHRGAKWTTAPKPTMADELYNQDYPIHSVEDRHKLAAQGKFVTTEFEPCFDAADFIRAGRDIFAQRSQVTNYLGIEWMRRHLAPDYRVHIISFKDPNPMHIDATFNIIGPGIVLSNPDRPCHQIDLFKKAGWTIITPPTPIIPDDHPLWMSSKWLSMNVLMLDEKRVMVDANEVPIQKMFEKLGITTIKVNIRNANSLGGGFHCWTCDVRRRGTLQSYLD

Clonality

Polyclonal

Host

Rabbit

Isotype

IgG

Description

Novus Biologicals Rabbit GATM Antibody - BSA Free (NBP3-04578) is a polyclonal antibody validated for use in IHC, WB, ELISA and ICC/IF. All Novus Biologicals antibodies are covered by our 100% guarantee.

Scientific Data Images for GATM Antibody - BSA Free

Western Blot: GATM AntibodyAzide and BSA Free [NBP3-04578]

Western Blot: GATM AntibodyAzide and BSA Free [NBP3-04578]

Western Blot: GATM Antibody [NBP3-04578] - Western blot analysis of extracts of various cell lines, using GATM Rabbit pAb (NBP3-04578) at 1:3000 dilution. Secondary antibody: HRP Goat Anti-Rabbit IgG (H+L) at 1:10000 dilution. Lysates/proteins: 25ug per lane. Blocking buffer: 3% nonfat dry milk in TBST. Detection: ECL Basic Kit. Exposure time: 1s.
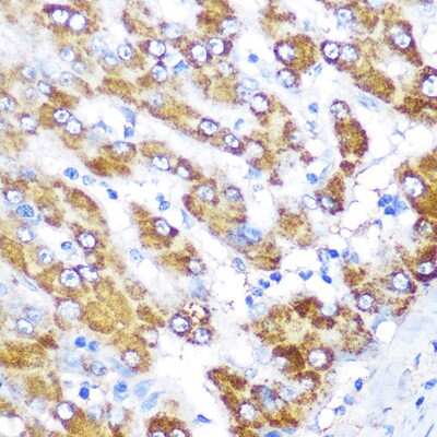
Immunohistochemistry-Paraffin: GATM Antibody - Azide and BSA Free [NBP3-04578]

Immunohistochemistry-Paraffin: GATM Antibody - Azide and BSA Free [NBP3-04578]

Immunohistochemistry-Paraffin: GATM Antibody [NBP3-04578] - Immunohistochemistry of paraffin-embedded human liver using GATM Rabbit pAb (NBP3-04578) at dilution of 1:100 (40x lens). Perform microwave antigen retrieval with 10 mM PBS buffer pH 7.2 before commencing with IHC staining protocol.
GATM Antibody - Azide and BSA Free

Immunocytochemistry/ Immunofluorescence: GATM Antibody - Azide and BSA Free [GATM] -

Immunocytochemistry/ Immunofluorescence: GATM Antibody - Azide and BSA Free [GATM] - Immunofluorescence analysis of A549 cells using GATM Rabbit pAb . Secondary antibody: Cy3-conjugated Goat anti-Rabbit IgG (H+L) at 1:500 dilution. Blue: DAPI for nuclear staining.

Applications for GATM Antibody - BSA Free

Application
Recommended Usage

Immunocytochemistry/ Immunofluorescence

1:50-1:200

Immunohistochemistry

1:50-1:200

Western Blot

1:500 - 1:2000

Formulation, Preparation, and Storage

Purification

Affinity purified

Formulation

PBS (pH 7.3), 50% glycerol

Format

BSA Free

Preservative

0.02% Sodium Azide

Concentration

Please see the vial label for concentration. If unlisted please contact technical services.

Shipping

The product is shipped with polar packs. Upon receipt, store it immediately at the temperature recommended below.

Stability & Storage

Store at -20C. Avoid freeze-thaw cycles.

Background: GATM

GATM encodes a mitochondrial enzyme that belongs to the amidinotransferase family. This enzyme is involved in creatine biosynthesis, whereby it catalyzes the transfer of a guanido group from L-arginine to glycine, resulting in guanidinoacetic acid, the immediate precursor of creatine. Mutations in this gene cause arginine:glycine amidinotransferase deficiency, an inborn error of creatine synthesis characterized by mental retardation, language impairment, and behavioral disorders.

Alternate Names

AGATtransamidinase, AT, EC 2.1.4, EC 2.1.4.1, glycine amidinotransferase (L-arginine:glycine amidinotransferase), glycine amidinotransferase, mitochondrial, L-arginine:glycine amidinotransferase, Transamidinase

Gene Symbol

GATM

Additional GATM Products

Product Documents for GATM Antibody - BSA Free

Certificate of Analysis

To download a Certificate of Analysis, please enter a lot number in the search box below.

Product Specific Notices for GATM Antibody - BSA Free

This product is for research use only and is not approved for use in humans or in clinical diagnosis. Primary Antibodies are guaranteed for 1 year from date of receipt.

Loading...
Loading...
Loading...
Loading...

⚠ WARNING: This product can expose you to chemicals including Methotrexate, which is known to the State of California to cause reproductive toxicity with developmental effects. For more information, go to www.P65Warnings.ca.gov