Skip to main content

GATA-4 Antibody

Novus Biologicals, part of Bio-Techne | Catalog # NBP2-16613

Novus Biologicals, part of Bio-Techne
Catalog #
Availability
Size / Price
Qty
Loading...
NBP2-16613

Key Product Details

Species Reactivity

Validated:

Human, Mouse

Predicted:

Bovine (95%), Canine (96%), Porcine (93%). Backed by our 100% Guarantee.

Applications

Immunohistochemistry, Immunohistochemistry-Paraffin, Western Blot, Immunocytochemistry/ Immunofluorescence

Label

Unconjugated

Antibody Source

Polyclonal Rabbit IgG

Concentration

Concentrations vary lot to lot. See vial label for concentration. If unlisted please contact technical services.

Product Specifications

Immunogen

Recombinant protein encompassing a sequence within the center region of human GATA-4. The exact sequence is proprietary.

Reactivity Notes

Xenopus laevis (82%), Chicken (85%), Rat (89%)

Localization

Nucleus

Clonality

Polyclonal

Host

Rabbit

Isotype

IgG

Theoretical MW

45 kDa.
Disclaimer note: The observed molecular weight of the protein may vary from the listed predicted molecular weight due to post translational modifications, post translation cleavages, relative charges, and other experimental factors.

Description

Novus Biologicals Rabbit GATA-4 Antibody (NBP2-16613) is a polyclonal antibody validated for use in IHC, WB and ICC/IF. All Novus Biologicals antibodies are covered by our 100% guarantee.

Scientific Data Images for GATA-4 Antibody

Western Blot: GATA-4 Antibody [NBP2-16613]

Western Blot: GATA-4 Antibody [NBP2-16613]

Western Blot: GATA-4 Antibody [NBP2-16613] - Various whole cell extracts (30 ug) were separated by 10% SDS-PAGE, and the membrane was blotted with GATA4 antibody diluted at 1:1000. The HRP-conjugated anti-rabbit IgG antibody (NBP2-19301) was used to detect the primary antibody.
Immunocytochemistry/ Immunofluorescence: GATA-4 Antibody [NBP2-16613]

Immunocytochemistry/ Immunofluorescence: GATA-4 Antibody [NBP2-16613]

Immunocytochemistry/Immunofluorescence: GATA4 Antibody [NBP2-16613] - Analysis of paraformaldehyde-fixed HeLa, using antibody at 1:500 dilution.
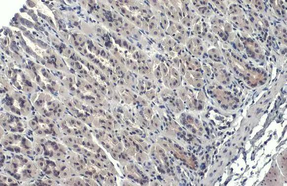
Immunohistochemistry-Paraffin: GATA-4 Antibody [NBP2-16613]

Immunohistochemistry-Paraffin: GATA-4 Antibody [NBP2-16613]

Immunohistochemistry-Paraffin: GATA-4 Antibody [NBP2-16613] - Mouse duodenum. GATA4 stained by GATA4 antibody diluted at 1:1000.Antigen Retrieval: Citrate buffer, pH 6.0, 15 min.

Applications for GATA-4 Antibody

Application
Recommended Usage

Immunocytochemistry/ Immunofluorescence

1:100-1:1000

Immunohistochemistry

1:100-1:1000

Immunohistochemistry-Paraffin

1:100-1:1000

Western Blot

1:500-1:3000

Formulation, Preparation, and Storage

Purification

Antigen Affinity-purified

Formulation

PBS, 1% BSA, 20% Glycerol

Preservative

0.025% Proclin 300

Concentration

Concentrations vary lot to lot. See vial label for concentration. If unlisted please contact technical services.

Shipping

The product is shipped with polar packs. Upon receipt, store it immediately at the temperature recommended below.

Stability & Storage

Aliquot and store at -20C or -80C. Avoid freeze-thaw cycles.

Background: GATA-4

This gene encodes a member of the GATA family of zinc-finger transcription factors. Members of this family recognize the GATA motif which is present in the promoters of many genes. This protein is thought to regulate genes involved in embryogenesis and in myocardial differentiation and function. Mutations in this gene have been associated with cardiac septal defects. [provided by RefSeq]

Alternate Names

GATA4

Gene Symbol

GATA4

UniProt

Additional GATA-4 Products

Product Documents for GATA-4 Antibody

Certificate of Analysis

To download a Certificate of Analysis, please enter a lot number in the search box below.

Product Specific Notices for GATA-4 Antibody

This product is for research use only and is not approved for use in humans or in clinical diagnosis. Primary Antibodies are guaranteed for 1 year from date of receipt.

Loading...
Loading...
Loading...
Loading...