Skip to main content

GATA-3 Antibody (rGATA3/3870) - Azide and BSA Free

Novus Biologicals, part of Bio-Techne | Catalog # NBP3-20864

Recombinant Monoclonal Antibody
Novus Biologicals, part of Bio-Techne

Key Product Details

Species Reactivity

Human, Rat

Applications

Immunohistochemistry-Paraffin, Western Blot

Label

Unconjugated

Antibody Source

Recombinant Monoclonal Mouse IgG1 kappa Clone # rGATA3/3870

Format

Azide and BSA Free

Concentration

1 mg/ml

Product Specifications

Immunogen

Recombinant full-length human GATA-3 protein

Localization

Nucleus.

Clonality

Monoclonal

Host

Mouse

Isotype

IgG1 kappa

Description

Positive Controls: Human breast or urothelial carcinoma tissue.

Antibody with azide - store at 2 to 8 C. Antibody without azide - store at -20 to -80 C. Non-hazardous. No MSDS required.

Scientific Data Images for GATA-3 Antibody (rGATA3/3870) - Azide and BSA Free

GATA-3 Antibody (rGATA3/3870) - Azide and BSA Free

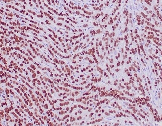
GATA-3 Antibody (rGATA3/3870)

Formalin-fixed, paraffin-embedded human lobular breast carcinoma stained with GATA-3 antibody (rGATA3/3870). HIER: Tris/EDTA, pH9.0, 45min. Secondary: HRP-polymer, 30min. DAB, 5min.
GATA-3 Antibody (rGATA3/3870) - Azide and BSA Free

GATA-3 Antibody (rGATA3/3870)

Formalin-fixed, paraffin-embedded human urothelial carcinoma stained with GATA-3 antibody (rGATA3/3870).
GATA-3 Antibody (rGATA3/3870) - Azide and BSA Free Western Blot: GATA-3 Antibody (rGATA3/3870) - Azide and BSA Free [NBP3-20864] -

Western Blot: GATA-3 Antibody (rGATA3/3870) - Azide and BSA Free [NBP3-20864] -

Western blot analysis of MCF-7 cell lysate using GATA-3 Antibody (rGATA3/3870) - Azide and BSA Free. Specific bands were detected for GATA-3 full length (FL) at approx. 50 kDa and the splice form (SF) at approximately 37 kDa (as indicated).

Applications for GATA-3 Antibody (rGATA3/3870) - Azide and BSA Free

Application
Recommended Usage

Immunohistochemistry-Paraffin

1-2 ug/ml

Western Blot

1-2 ug/ml
Application Notes
Immunohistochemistry (Formalin-fixed): 1-2ug/ml for 30 minutes. at RT. Staining of formalin-fixed tissues requires heating tissue sections in 10mM Tris with 1mM EDTA, pH 9.0, for 45 min at 95C followed by cooling at RT for 20 minutes.

Optimal dilution for a specific application should be determined.

Formulation, Preparation, and Storage

Purification

Protein A or G purified

Formulation

10mM PBS

Format

Azide and BSA Free

Preservative

No Preservative

Concentration

1 mg/ml

Shipping

The product is shipped with polar packs. Upon receipt, store it immediately at the temperature recommended below.

Stability & Storage

Store at -20 to -70C. Avoid freeze-thaw cycles.

Background: GATA-3

The GATA3 gene encodes a protein which belongs to the GATA family of transcription factors. The protein contains twoGATA-type zinc fingers and is an important regulator of T-cell development and plays an important role in endothelialcell biology. Defects in th

Alternate Names

GATA3

Gene Symbol

GATA3

Additional GATA-3 Products

Product Documents for GATA-3 Antibody (rGATA3/3870) - Azide and BSA Free

Certificate of Analysis

To download a Certificate of Analysis, please enter a lot number in the search box below.

Product Specific Notices for GATA-3 Antibody (rGATA3/3870) - Azide and BSA Free

This product is for research use only and is not approved for use in humans or in clinical diagnosis. Primary Antibodies are guaranteed for 1 year from date of receipt.

Loading...
Loading...
Loading...
Loading...