Skip to main content

GAS7 Antibody (OTI2F6)

Novus Biologicals, part of Bio-Techne | Catalog # NBP2-03061

Novus Biologicals, part of Bio-Techne
Catalog #
Availability
Size / Price
Qty
Loading...
NBP2-03061

Key Product Details

Species Reactivity

Human, Mouse, Rat, Canine

Applications

Immunohistochemistry, Immunohistochemistry-Paraffin, Western Blot, Flow Cytometry, Immunocytochemistry/ Immunofluorescence

Label

Unconjugated

Antibody Source

Monoclonal Mouse IgG2A Clone # OTI2F6

Concentration

0.85 mg/ml

Product Specifications

Immunogen

Full length human recombinant protein of human GAS7 (NP_003635) produced in HEK293T cell.

Reactivity Notes

Please note that this antibody is reactive to Mouse and derived from the same host, Mouse. Mouse-On-Mouse blocking reagent may be needed for IHC and ICC experiments to reduce high background signal. You can find these reagents under catalog numbers PK-2200-NB and MP-2400-NB. Please contact Technical Support if you have any questions.

Clonality

Monoclonal

Host

Mouse

Isotype

IgG2A

Theoretical MW

39 kDa.
Disclaimer note: The observed molecular weight of the protein may vary from the listed predicted molecular weight due to post translational modifications, post translation cleavages, relative charges, and other experimental factors.

Description

Novus Biologicals Mouse GAS7 Antibody (OTI2F6) (NBP2-03061) is a monoclonal antibody validated for use in IHC, WB, Flow and ICC/IF. All Novus Biologicals antibodies are covered by our 100% guarantee.

Scientific Data Images for GAS7 Antibody (OTI2F6)

Western Blot: GAS7 Antibody (2F6) [NBP2-03061] Analysis of extracts (35ug) from 9 different cell lines by using anti-GAS7 monoclonal antibody.
Immunocytochemistry/ Immunofluorescence: GAS7 Antibody (OTI2F6) [NBP2-03061]

Immunocytochemistry/ Immunofluorescence: GAS7 Antibody (OTI2F6) [NBP2-03061]

Immunocytochemistry/Immunofluorescence: GAS7 Antibody (2F6) [NBP2-03061] - Staining of COS7 cells transiently transfected by pCMV6-ENTRY GAS7.
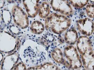
Immunohistochemistry-Paraffin: GAS7 Antibody (OTI2F6) [NBP2-03061]

Immunohistochemistry-Paraffin: GAS7 Antibody (OTI2F6) [NBP2-03061]

Immunohistochemistry-Paraffin: GAS7 Antibody (2F6) [NBP2-03061] - Staining of paraffin-embedded Human Kidney tissue using anti-GAS7 mouse monoclonal antibody.

Applications for GAS7 Antibody (OTI2F6)

Application
Recommended Usage

Flow Cytometry

1:100

Immunocytochemistry/ Immunofluorescence

1:100

Immunohistochemistry

1:150

Immunohistochemistry-Paraffin

1:150

Western Blot

1:500-2000

Formulation, Preparation, and Storage

Purification

Immunogen affinity purified

Formulation

PBS (pH 7.3), 1.0% BSA and 50% Glycerol

Preservative

0.02% Sodium Azide

Concentration

0.85 mg/ml

Shipping

The product is shipped with polar packs. Upon receipt, store it immediately at the temperature recommended below.

Stability & Storage

Store at -20C. Avoid freeze-thaw cycles.

Background: GAS7

Growth arrest-specific 7 is expressed primarily in terminally differentiated brain cells and predominantly in mature cerebellar Purkinje neurons. GAS7 plays a putative role in neuronal development. Several transcript variants encoding proteins which vary in the N-terminus have been described. [provided by RefSeq].

Alternate Names

GAS-7, growth arrest-specific 7, KIAA0394growth arrest-specific protein 7, MGC1348, MLL/GAS7, MLL/GAS7 fusion protein

Entrez Gene IDs

8522 (Human)

Gene Symbol

GAS7

Additional GAS7 Products

Product Documents for GAS7 Antibody (OTI2F6)

Certificate of Analysis

To download a Certificate of Analysis, please enter a lot number in the search box below.

Product Specific Notices for GAS7 Antibody (OTI2F6)

This product is for research use only and is not approved for use in humans or in clinical diagnosis. Primary Antibodies are guaranteed for 1 year from date of receipt.

Loading...
Loading...
Loading...
Loading...
Loading...