Skip to main content

gamma Catenin Antibody - BSA Free

Novus Biologicals, part of Bio-Techne | Catalog # NBP2-16600

Novus Biologicals, part of Bio-Techne
Catalog #
Availability
Size / Price
Qty
Loading...
NBP2-16600

Key Product Details

Validated by

Orthogonal Validation

Species Reactivity

Validated:

Human, Mouse

Predicted:

Bovine (98%), Canine (99%), Chicken (97%), Porcine (98%), Rat (99%), Rhesus Macaque (100%). Backed by our 100% Guarantee.

Applications

Immunohistochemistry, Immunohistochemistry-Paraffin, Western Blot, Immunoprecipitation

Label

Unconjugated

Antibody Source

Polyclonal Rabbit IgG

Format

BSA Free

Concentration

Concentrations vary lot to lot. See vial label for concentration. If unlisted please contact technical services.

Product Specifications

Immunogen

Recombinant protein encompassing a sequence within the C-terminus region of human gamma Catenin. The exact sequence is proprietary.

Reactivity Notes

Immunogen displays the following percentage of sequence identity for non-tested species: Xenopus tropicalis (87%).

Clonality

Polyclonal

Host

Rabbit

Isotype

IgG

Theoretical MW

82 kDa.
Disclaimer note: The observed molecular weight of the protein may vary from the listed predicted molecular weight due to post translational modifications, post translation cleavages, relative charges, and other experimental factors.

Description

Novus Biologicals Rabbit gamma Catenin Antibody - BSA Free (NBP2-16600) is a polyclonal antibody validated for use in IHC, WB and IP. All Novus Biologicals antibodies are covered by our 100% guarantee.

Scientific Data Images for gamma Catenin Antibody - BSA Free

Immunohistochemistry-Paraffin: gamma Catenin Antibody [NBP2-16600]

Immunohistochemistry-Paraffin: gamma Catenin Antibody [NBP2-16600]

Immunohistochemistry-Paraffin: gamma Catenin Antibody [NBP2-16600] - : Paraffin-embedded human colon carcinoma. gamma Catenin antibody [C2C3], C-term dilution: 1:500.
Immunohistochemistry-Paraffin: gamma Catenin Antibody [NBP2-16600]

Immunohistochemistry-Paraffin: gamma Catenin Antibody [NBP2-16600]

Immunohistochemistry-Paraffin: gamma Catenin Antibody [NBP2-16600] - Paraffin-embedded mouse esophagus. gamma Catenin antibody [C2C3], C-term dilution: 1:500.
gamma Catenin Antibody

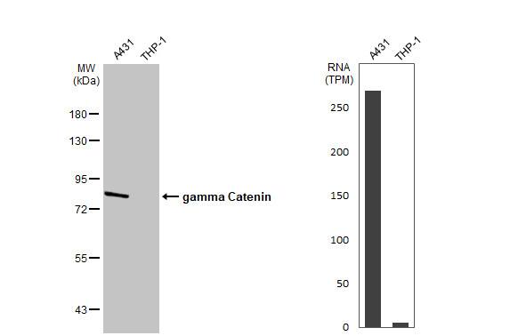
Western Blot: gamma Catenin Antibody [NBP2-16600] -

Western Blot: gamma Catenin Antibody [NBP2-16600] - Various whole cell extracts (30 ug) were separated by 7.5% SDS-PAGE, and the membrane was blotted with gamma Catenin antibody [C2C3], C-term diluted at 1:1000. The HRP-conjugated anti-rabbit IgG antibody was used to detect the primary antibody. Corresponding RNA expression data for the same cell lines are based on Human Protein Atlas program.

Applications for gamma Catenin Antibody - BSA Free

Application
Recommended Usage

Immunohistochemistry

1:100-1:1000

Immunohistochemistry-Paraffin

1:100-1:1000

Immunoprecipitation

1:100-1:500

Western Blot

1:500-1:3000

Formulation, Preparation, and Storage

Purification

Antigen Affinity-purified

Formulation

0.1M Tris, 0.1M Glycine, 20% Glycerol

Format

BSA Free

Preservative

0.01% Thimerosal

Concentration

Concentrations vary lot to lot. See vial label for concentration. If unlisted please contact technical services.

Shipping

The product is shipped with polar packs. Upon receipt, store it immediately at the temperature recommended below.

Stability & Storage

Aliquot and store at -20C or -80C. Avoid freeze-thaw cycles.

Background: gamma Catenin

This gene encodes a major cytoplasmic protein which is the only known constituent common to submembranous plaques of both desmosomes and intermediate junctions. This protein forms distinct complexes with cadherins and desmosomal cadherins and is a member of the catenin family since it contains a distinct repeating amino acid motif called the armadillo repeat. Mutation in this gene has been associated with Naxos disease. Alternative splicing occurs in this gene; however, not all transcripts have been fully described. [provided by RefSeq]

Alternate Names

catenin (cadherin-associated protein), gamma (80kD), catenin (cadherin-associated protein), gamma 80kDa, Catenin gamma, Desmoplakin III, desmoplakin-3, DP3CTNNG, DPIII, gamma-catenin, junction plakoglobin, PDGBARVD12, PKGB

Gene Symbol

JUP

UniProt

Additional gamma Catenin Products

Product Documents for gamma Catenin Antibody - BSA Free

Certificate of Analysis

To download a Certificate of Analysis, please enter a lot number in the search box below.

Product Specific Notices for gamma Catenin Antibody - BSA Free

This product is for research use only and is not approved for use in humans or in clinical diagnosis. Primary Antibodies are guaranteed for 1 year from date of receipt.

Loading...
Loading...
Loading...
Loading...

⚠ WARNING: This product can expose you to chemicals including mercury, which is known to the State of California to cause reproductive toxicity with developmental effects.  For more information go to www.P65Warnings.ca.gov.