Skip to main content

Galectin-9 Antibody - BSA Free

Novus Biologicals, part of Bio-Techne | Catalog # NBP2-33484

Novus Biologicals, part of Bio-Techne
Catalog #
Availability
Size / Price
Qty
Loading...
NBP2-33484
NBP2-33484-25ul

Key Product Details

Validated by

Orthogonal Validation

Species Reactivity

Human

Applications

Immunohistochemistry, Immunohistochemistry-Paraffin, Western Blot

Label

Unconjugated

Antibody Source

Polyclonal Rabbit IgG

Format

BSA Free

Concentration

Concentrations vary lot to lot. See vial label for concentration. If unlisted please contact technical services.

Product Specifications

Immunogen

This antibody was developed against a recombinant protein corresponding to amino acids: RFDENAVVRNTQIDNSWGSEERSLPRKMPFVRGQSFSVWILCEAHCLKVAVDGQHLFEYYHRLRNLPTIN

Reactivity Notes

Immunogen displays the following percentage of sequence identity for non-tested species: Rat (80%)

Clonality

Polyclonal

Host

Rabbit

Isotype

IgG

Description

Novus Biologicals Rabbit Galectin-9 Antibody - BSA Free (NBP2-33484) is a polyclonal antibody validated for use in IHC and WB. All Novus Biologicals antibodies are covered by our 100% guarantee.

Scientific Data Images for Galectin-9 Antibody - BSA Free

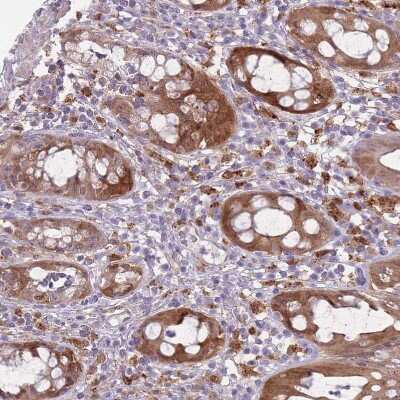
Immunohistochemistry-Paraffin: Galectin-9 Antibody [NBP2-33484]

Immunohistochemistry-Paraffin: Galectin-9 Antibody [NBP2-33484]

Immunohistochemistry-Paraffin: Galectin-9 Antibody [NBP2-33484] - Analysis in human rectum and skeletal muscle tissues using NBP2-33484 antibody. Corresponding Galectin-9 RNA-seq data are presented for the same tissues.
Western Blot: Galectin-9 Antibody [NBP2-33484]

Western Blot: Galectin-9 Antibody [NBP2-33484]

Western Blot: Galectin-9 Antibody [NBP2-33484] - Analysis in human cell line THP-1.
Immunohistochemistry-Paraffin: Galectin-9 Antibody [NBP2-33484]

Immunohistochemistry-Paraffin: Galectin-9 Antibody [NBP2-33484]

Immunohistochemistry-Paraffin: Galectin-9 Antibody [NBP2-33484] - Staining of human lymph node shows strong cytoplasmic positivity in non - germinal center cells.

Applications for Galectin-9 Antibody - BSA Free

Application
Recommended Usage

Immunohistochemistry

1:50 - 1:200

Immunohistochemistry-Paraffin

1:50 - 1:200

Western Blot

0.04-0.4 ug/ml
Application Notes
For IHC-Paraffin, HIER pH 6 retrieval is recommended.

Formulation, Preparation, and Storage

Purification

Immunogen affinity purified

Formulation

PBS (pH 7.2) and 40% Glycerol

Format

BSA Free

Preservative

0.02% Sodium Azide

Concentration

Concentrations vary lot to lot. See vial label for concentration. If unlisted please contact technical services.

Shipping

The product is shipped with polar packs. Upon receipt, store it immediately at the temperature recommended below.

Stability & Storage

Store at 4C short term. Aliquot and store at -20C long term. Avoid freeze-thaw cycles.

Background: Galectin-9

The galectins are a family of beta-galactoside-binding proteins implicated in modulating cell-cell and cell-matrix interactions. Galectin 9 is an S-type lectin and an eosinophil chemoattractant (ECA) produced by antigen-activated T cells. Galectin 9 is involved in apoptosis, is thought to be a prognostic factor for breast cancer and is also overexpressed in Hodgkin's disease tissue. The protein has N- and C- terminal carbohydrate-binding domains connected by a link peptide. Multiple alternatively spliced transcript variants have been found for this gene.

Alternate Names

Ecalectin, GAL9, Galectin9, LGALS9

Gene Symbol

LGALS9

UniProt

Additional Galectin-9 Products

Product Documents for Galectin-9 Antibody - BSA Free

Certificate of Analysis

To download a Certificate of Analysis, please enter a lot number in the search box below.

Product Specific Notices for Galectin-9 Antibody - BSA Free

This product is for research use only and is not approved for use in humans or in clinical diagnosis. Primary Antibodies are guaranteed for 1 year from date of receipt.

Loading...
Loading...
Loading...
Loading...