Skip to main content

Galectin-1 Antibody (JM13-37)

Novus Biologicals, part of Bio-Techne | Catalog # NBP2-75499

Recombinant Monoclonal Antibody
Novus Biologicals, part of Bio-Techne
Catalog #
Availability
Size / Price
Qty
Loading...
NBP2-75499

Key Product Details

Species Reactivity

Human, Mouse, Rat

Applications

Immunohistochemistry, Immunohistochemistry-Paraffin, Western Blot, Flow Cytometry, Immunocytochemistry/ Immunofluorescence, Immunoprecipitation

Label

Unconjugated

Antibody Source

Recombinant Monoclonal Rabbit IgG Clone # JM13-37 expressed in HEK293

Concentration

1 mg/ml

Product Specifications

Immunogen

Synthetic peptide within Human Galectin-1 aa 1-50 / 135. (SwissProt: P09382 Human; SwissProt: P16045 Mouse; SwissProt: P11762 Rat)

Localization

Cytoplasm, Extracellular matrix, Secreted.

Clonality

Monoclonal

Host

Rabbit

Isotype

IgG

Description

Novus Biologicals Rabbit Galectin-1 Antibody (JM13-37) (NBP2-75499) is a recombinant monoclonal antibody validated for use in IHC, WB, Flow, ICC/IF and IP. All Novus Biologicals antibodies are covered by our 100% guarantee.

Scientific Data Images for Galectin-1 Antibody (JM13-37)

Western Blot: Galectin-1 Antibody (JM13-37) [NBP2-75499]

Western Blot: Galectin-1 Antibody (JM13-37) [NBP2-75499]

Western Blot: Galectin-1 Antibody (JM13-37) [NBP2-75499] - Western blot analysis of Galectin-1 on human skeletal muscle tissue lysates. Proteins were transferred to a PVDF membrane and blocked with 5% BSA in PBS for 1 hour at room temperature. The primary antibody (1/500) was used in 5% BSA at room temperature for 2 hours. Goat Anti-Rabbit IgG - HRP Secondary Antibody (HA1001) at 1:5,000 dilution was used for 1 hour at room temperature.
Immunocytochemistry/ Immunofluorescence: Galectin-1 Antibody (JM13-37) [NBP2-75499]

Immunocytochemistry/ Immunofluorescence: Galectin-1 Antibody (JM13-37) [NBP2-75499]

Immunocytochemistry/Immunofluorescence: Galectin-1 Antibody (JM13-37) [NBP2-75499] - Staining Galectin 1 in A431 cells (green). The nuclear counter stain is DAPI (blue). Cells were fixed in paraformaldehyde, permeabilised with 0.25% Triton X100/PBS.
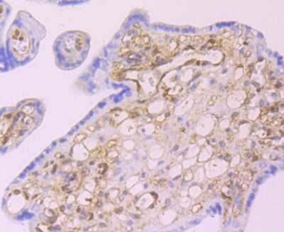
Immunohistochemistry-Paraffin: Galectin-1 Antibody (JM13-37) [NBP2-75499]

Immunohistochemistry-Paraffin: Galectin-1 Antibody (JM13-37) [NBP2-75499]

Immunohistochemistry-Paraffin: Galectin-1 Antibody (JM13-37) [NBP2-75499] - Analysis of paraffin-embedded rat stomach tissue using anti-Galectin 1 antibody. Counter stained with hematoxylin.

Applications for Galectin-1 Antibody (JM13-37)

Application
Recommended Usage

Flow Cytometry

1:50-1:100

Immunocytochemistry/ Immunofluorescence

1:50-1:200

Immunohistochemistry-Paraffin

1:400-1:800

Western Blot

1:500-1:1000

Formulation, Preparation, and Storage

Purification

Protein A purified

Formulation

TBS (pH7.4), 0.05% BSA, 40% Glycerol

Preservative

0.05% Sodium Azide

Concentration

1 mg/ml

Shipping

The product is shipped with polar packs. Upon receipt, store it immediately at the temperature recommended below.

Stability & Storage

Store at 4C short term. Aliquot and store at -20C long term. Avoid freeze-thaw cycles.

Background: Galectin-1

The galectins are a family of beta-galactoside-binding proteins implicated in modulating cell-cell and cell-matrix interactions. This gene product may act as an autocrine negative growth factor that regulates cell proliferation. [provided by RefSeq]

Alternate Names

BHL, Galaptin, Galectin1, GBP, L-14, LGALS1

Gene Symbol

LGALS1

Additional Galectin-1 Products

Product Documents for Galectin-1 Antibody (JM13-37)

Certificate of Analysis

To download a Certificate of Analysis, please enter a lot number in the search box below.

Product Specific Notices for Galectin-1 Antibody (JM13-37)

This product is for research use only and is not approved for use in humans or in clinical diagnosis. Primary Antibodies are guaranteed for 1 year from date of receipt.

Loading...
Loading...
Loading...
Loading...
Loading...